TNFRSF1A Antibody
-
中文名稱:TNFRSF1A兔多克隆抗體
-
貨號:CSB-PA023977LA01HU
-
規格:¥440
-
圖片:
-
Western Blot
Positive WB detected in: A549 whole cell lysate, PC-3 whole cell lysate
All lanes: TNFRSF1A antibody at 1:2000
Secondary
Goat polyclonal to rabbit IgG at 1/50000 dilution
Predicted band size: 51, 39, 26, 25 kDa
Observed band size: 51 kDa -
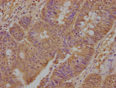
IHC image of CSB-PA023977LA01HU diluted at 1:300 and staining in paraffin-embedded human colon cancer performed on a Leica BondTM system. After dewaxing and hydration, antigen retrieval was mediated by high pressure in a citrate buffer (pH 6.0). Section was blocked with 10% normal goat serum 30min at RT. Then primary antibody (1% BSA) was incubated at 4°C overnight. The primary is detected by a biotinylated secondary antibody and visualized using an HRP conjugated SP system.
-
Immunofluorescence staining of Hela cells with CSB-PA023977LA01HU at 1:100, counter-stained with DAPI. The cells were fixed in 4% formaldehyde, permeabilized using 0.2% Triton X-100 and blocked in 10% normal Goat Serum. The cells were then incubated with the antibody overnight at 4°C. The secondary antibody was Alexa Fluor 488-congugated AffiniPure Goat Anti-Rabbit IgG(H+L).
-
-
其他:
產品詳情
-
產品名稱:Rabbit anti-Homo sapiens (Human) TNFRSF1A Polyclonal antibody
-
Uniprot No.:
-
基因名:
-
別名:CD120a antibody; FPF antibody; MGC19588 antibody; p55 antibody; p55-R antibody; p60 antibody; TBP1 antibody; TBPI antibody; TNF R antibody; TNF R55 antibody; TNF-R1 antibody; TNF-RI antibody; TNFAR antibody; TNFR-I antibody; TNFR1 antibody; TNFR55 antibody; TNFR60 antibody; TNFRI antibody; TNFRSF1a antibody; TNR1A_HUMAN antibody; Tumor necrosis factor receptor 1 antibody; Tumor necrosis factor receptor superfamily, member 1A antibody; Tumor necrosis factor receptor type 1 antibody; Tumor necrosis factor receptor type I antibody; Tumor necrosis factor-binding protein 1 antibody
-
宿主:Rabbit
-
反應種屬:Human
-
免疫原:Recombinant Human Tumor necrosis factor receptor superfamily member 1A protein (249-455AA)
-
免疫原種屬:Homo sapiens (Human)
-
標記方式:Non-conjugated
本頁面中的產品,TNFRSF1A Antibody (CSB-PA023977LA01HU),的標記方式是Non-conjugated。對于TNFRSF1A Antibody,我們還提供其他標記。見下表:
-
克隆類型:Polyclonal
-
抗體亞型:IgG
-
純化方式:>95%, Protein G purified
-
濃度:It differs from different batches. Please contact us to confirm it.
-
保存緩沖液:Preservative: 0.03% Proclin 300
Constituents: 50% Glycerol, 0.01M PBS, pH 7.4 -
產品提供形式:Liquid
-
應用范圍:ELISA, WB, IHC, IF
-
推薦稀釋比:
Application Recommended Dilution WB 1:1000-1:5000 IHC 1:200-1:500 IF 1:50-1:200 -
Protocols:
-
儲存條件:Upon receipt, store at -20°C or -80°C. Avoid repeated freeze.
-
貨期:Basically, we can dispatch the products out in 1-3 working days after receiving your orders. Delivery time maybe differs from different purchasing way or location, please kindly consult your local distributors for specific delivery time.
-
用途:For Research Use Only. Not for use in diagnostic or therapeutic procedures.
相關產品
靶點詳情
-
功能:Receptor for TNFSF2/TNF-alpha and homotrimeric TNFSF1/lymphotoxin-alpha. The adapter molecule FADD recruits caspase-8 to the activated receptor. The resulting death-inducing signaling complex (DISC) performs caspase-8 proteolytic activation which initiates the subsequent cascade of caspases (aspartate-specific cysteine proteases) mediating apoptosis. Contributes to the induction of non-cytocidal TNF effects including anti-viral state and activation of the acid sphingomyelinase.
-
基因功能參考文獻:
- Elevated TNFRs levels were associated with the risk of cardiovascular and/or all-cause mortality independent of all relevant covariates in patients undergoing haemodialysis PMID: 28256549
- It has been demonstrated that the molecular genetic marker +36G TNFR1 (OR=1,25) is involved in the formation Essential Hypertension in individuals with Metabolic Syndrome. PMID: 30289218
- Due to the fact that the mutation was not inherited from the parents, it was likely that R426L was a de novo and novel mutation in the TNFRSF1A gene, which can trigger TRAPS or TRAPS-like symptoms. PMID: 27793577
- this study evaluated TNFR1 -609G/T polymorphisms association with RA susceptibility in a sample of Mexican patients. Our results suggest that the TNFR1 -609G/T polymorphisms are not associated with RA susceptibility in a sample of Mexican patients. PMID: 29404828
- Polymorphisms in the TNFR1 gene may have an impact on the symptomatology of schizophrenia in men. rs4149577 and rs1860545 SNPs were associated with the intensity of the Positive and Negative Syndrome Scale (PANSS) excitement symptoms in men, which may contribute to the risk of violent behavior. PMID: 29317797
- Polymorphism of Promoter Region of TNFRSF1A Gene is associated with Radiotherapy Induced Oral Mucositis in Head and Neck Cancer. PMID: 28401452
- five single nucleotide polymorphisms in the TNFRSF1A gene are not associated with autoimmune thyroid diseases in the Chinese Han population, but rs4149570 shows a weak association with Hashimoto's thyroiditis after adjusting for gender and age. PMID: 29401539
- Genotype rs767455 was associated with the susceptibility of ankylosing spondylitis(AS), G allele of rs767455 exhibited an association with the risk of developing AS. Only rs1061622 was significantly associated with long-term efficacy of etanercept. The results suggest that TNFRSF1A and TNFRSF1B polymorphisms were associated with susceptibility, severity, and the long-term therapeutic efficacy of etanercept of AS patients. PMID: 30075559
- RACK1 associates with MOAP-1 via electrostatic associations similar to those observed between MOAP-1/RASSF1A and MOAP-1/TNF-R1. These events illustrate the complex nature of MOAP-1 regulation and characterizes the important role of the scaffolding protein, RACK1, in influencing MOAP-1 biology. PMID: 29470995
- serum level did not decrease significantly after tonsillectomy with steroid pulse therapy in IgA nephropathy PMID: 28389814
- The TNFRSF1A c.625+10 G allele was associated with late response to anti-TNFalpha therapy but TNFRSF1A gene SNPs is not associated with spondyloarthritis. PMID: 29579081
- TNFR1 is associated longitudinally with kidney function decline but not with myocardial infarct, heart failure, or mortality risk after adjustment PMID: 28601698
- One third of our childhood MS patients had a heterozygous mutation in the TNFRSF1A and/or MEFV gene. This proportion by far exceeds the number of mutations expected and was higher than in adult MS patients, suggesting that these mutations might contribute to the pathogenesis of childhood MS. PMID: 28927886
- Studied the association of NLR family pyrin domain containing 3 (NLRP3) and tumor necrosis factor receptor superfamily member 1A (TNFRSF1A) polymorphisms and haplotypes in patients with ankylosing spondylitis (AS) and treatment response to etanercept. PMID: 28116820
- Investigations of underlying molecular mechanisms of TNFR1 signaling showed that PDF affects TNFR1 signaling at the proapoptotic signaling pathway by upregulation of IkappaBalpha and downregulation of cFLIPL. PMID: 28096440
- Case Report: tumor necrosis factor receptor-associated periodic syndrome due to the R92Q TNFRSF1A variant associated with recurrent pericarditis and cardiac tamponade. PMID: 27990755
- Serum TNFR1 is a biomarker for patients with chronic kidney disease. PMID: 28667032
- This study demonstrated that TNFR1 expression levels are related to major depressive disorder and conjunctly mediate the effect of childhood maltreatment history on the risk of developing major depressive disorder. PMID: 28384542
- SNP (36A>G) is strong risk factor for odontogenic keratocystic tumor PMID: 28199753
- Data suggest that Fas and TNFR1 are involved in glaucoma mechanisms in cornea; pro-apoptotic effect of anti-glaucoma medication clonidine on corneal epithelial cells triggers Fas/TNFR1-mediated, mitochondria-dependent signaling pathway. (Fas = Fas cell surface death receptor ; TNFR1 = TNF receptor superfamily member 1A) PMID: 28115640
- These results indicate that TNFRI-Fc and hHO-1 overexpression may apparently induce free iron in the liver and exert oxidative stress by enhancing reactive oxygen species production and block normal postneonatal liver metabolism. PMID: 28503569
- Data suggest that elevated serum levels of soluble TNF receptors, especially sTNFR1, are associated with loss of kidney function in Hispanic patients with diabetes type 2 in Colombia. PMID: 27068267
- Case Report: heterozygous missense variants in TNFRSF1A identified in family members with familial Mediterranean fever. PMID: 29148404
- Case Report: autoinflammatory syndrome with relapsing aseptic neutrophilic meningitis and chronic myelitis associated with MEFV/TNFRSF1A mutations. PMID: 28134085
- In this article we will review the role of ubiquitination and proteolysis in these diverse events focusing on our own contributions to the lysosomal apoptotic pathway linked to the subcellular compartmentalization of TNF-R1 PMID: 28765050
- Coadministration of either ATROSAB or EHD2-scTNFR2 into the magnocellular nucleus basalis significantly protected cholinergic neurons and their cortical projections against cell death, and reverted the neurodegeneration-associated memory impairment in a passive avoidance paradigm. Simultaneous blocking of TNFR1 and TNFR2 signaling, however, abrogated the therapeutic effect PMID: 27791020
- Data show that interleukin-2 receptor alpha, tumor necrosis factor receptor 1, serum STimulation-2 (IL1RL1 gene product), and regenerating islet-derived 3-alpha were significantly associated with non-relapse mortality. PMID: 28126963
- Report of a severe case of TRAPS associated with a novel mutation, Thr90Pro, in the TNFRSF1A gene in an infant and several family members. PMID: 28427379
- atopic dermatits patients had increased TNFR1 expression on immune cells PMID: 29212072
- Elevated level of soluble tumor necrosis factor receptors 1 and lower level of leptin are associated with higher developmental outcomes in infants between the ages of 6 and 24 months. PMID: 28238825
- The highest levels of TNFR1 are independently associated with progression of renal disease and death in type 2 diabetic nephropathy. PMID: 27003829
- High plasma levels of TNFR1 and TNFR2 were associated with incident intracerebral hemorrhage. PMID: 28830973
- Renal clear cell carcinoma cells cells express increased amounts of RIPK1 and RIPK3 and are poised to undergo necroptosis in response to TNFR1 signaling. PMID: 27362805
- TRIM28 acts as a central factor in controlling endothelial inflammatory responses and angiogenic activities by retaining expression of TNFR-1 and -2 and VEGF receptor 2 in endothelial cells PMID: 28159803
- a specific link between the penetrance of the TNFRSF1A mutation and the observed T cell phenotype, is reported. PMID: 26598380
- Collectively, this study provides more insights into RELT expression, RELT family member function, and the mechanism of RELT-induced death. PMID: 28688764
- Burkholderia cenocepacia BcaA binds to tumor necrosis factor receptor 1. PMID: 27684048
- TNFRSF1A variants were identified in 10 tumor necrosis factor receptor-associated periodic syndrome patients from 10 independent families. The T61I variant was found in patients, while the V136M and S321I variants were found in 1 patient each. All the patients were heterozygous for the variants. Among the healthy controls, 7 of 363 individuals were heterozygous for the T61I variant. PMID: 27332769
- Voxel-based morphometry was used to analyse the associations between TNFRSF1A (rs4149576 and rs4149577) and grey matter structure. Highly significant genotypic associations with striatal volume but not the hippocampus were seen. Specifically, for rs4149576, G homozygotes were associated with reduced caudate nucleus volumes relative to A homozygotes and heterozygotes. Reduced caudate volumes were observed in C homozygotes PMID: 27528091
- Circulating TNFR1 and 2 were shown to be associated with cardiovascular disease, independent of age, sex, inflammatory markers, and other cardiovascular disease risk factors, in the chronic kidney disease patients PMID: 28489742
- Infection with C. trachomatis disturbs TNFR1 signalling specifically at the level of receptor internalization. PMID: 27062399
- Data suggest that TRAF2 (TNF receptor-associated factor 2) negatively regulates (1) TNFR1- (tumor necrosis factor binding protein 1)-induced apoptosis, (2) TNFR2- (tumor necrosis factor receptor type 2)-induced non-canonical NFkappaB signaling, and (3) TNF- (tumor necrosis factor)-induced necroptosis. [REVIEW] PMID: 26993379
- Our analysis showed that the TNFR1 rs2234649 polymorphism does not increase ankylosing spondylitis risk. In conclusion, the TNFR1 gene polymorphism tested does not appear to be useful for assessing predisposition to ankylosing spondylitis. PMID: 28363009
- elevated serum level associated with heart failure risk in type 2 diabetes mellitus patients PMID: 28367848
- The data demonstrate a novel and unexpected function of BIG1 that regulates TNFR1 signaling by targeting TRAF2. PMID: 27834853
- Data indicate that plasma concentrations of TNFR1 and TNFR2 are elevated in pediatric lupus nephritis. PMID: 26854079
- TNFR1 is the major pro-inflammatory mediator of TNF-alpha in fibroblast-like synoviocytes (FLS), whereas TNFR2, may act as an immunosuppressor in FLS for the prevention of overwhelming inflammatory reactions. PMID: 28150360
- Results suggest that miR-29a is an important regulator of tumor necrosis factor receptor 1 expression in breast cancer and functions as a tumor suppressor by targeting tumor necrosis factor receptor 1 to influence the growth of MCF-7 cell. PMID: 28222663
- Serum sTNFR1 and sTNFR2 are associated with obese girls but not obese boys, thereby suggesting that serum sTNFRs in early childhood obesity may be sex related. PMID: 27040725
- SCCAg, CYFRA 21.1, IL-6, VEGF and sTNF receptors have roles in squamous cell cervical cancer PMID: 26289850
顯示更多
收起更多
-
相關疾病:Familial hibernian fever (FHF); Multiple sclerosis 5 (MS5)
-
亞細胞定位:Cell membrane; Single-pass type I membrane protein. Golgi apparatus membrane; Single-pass type I membrane protein. Secreted. Note=A secreted form is produced through proteolytic processing.; [Isoform 4]: Secreted. Note=Lacks a Golgi-retention motif, is not membrane bound and therefore is secreted.
-
數據庫鏈接:
Most popular with customers
-
YWHAB Recombinant Monoclonal Antibody
Applications: ELISA, WB, IHC, IF, FC
Species Reactivity: Human, Mouse, Rat
-
Phospho-YAP1 (S127) Recombinant Monoclonal Antibody
Applications: ELISA, WB, IHC
Species Reactivity: Human
-
-
-
-
-
-















