TMED1 Antibody
-
中文名稱:TMED1兔多克隆抗體
-
貨號:CSB-PA053790
-
規格:¥1100
-
圖片:
-
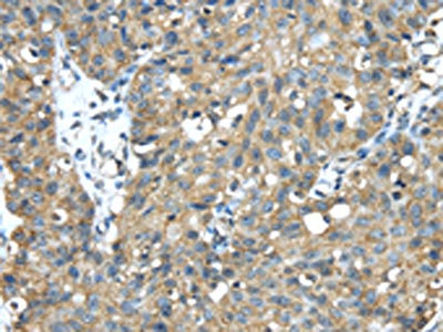
The image on the left is immunohistochemistry of paraffin-embedded Human breast cancer tissue using CSB-PA053790(TMED1 Antibody) at dilution 1/35, on the right is treated with fusion protein. (Original magnification: ×200)
-
The image on the left is immunohistochemistry of paraffin-embedded Human thyroid cancer tissue using CSB-PA053790(TMED1 Antibody) at dilution 1/35, on the right is treated with fusion protein. (Original magnification: ×200)
-
Gel: 12%SDS-PAGE,Lysate: 40 μg,Lane 1-2: 231 cells, A172 cells,Primary antibody: CSB-PA053790(TMED1 Antibody) at dilution 1/400 dilution,Secondary antibody: Goat anti rabbit IgG at 1/8000 dilution,Exposure time: 40 seconds
-
-
其他:
產品詳情
-
Uniprot No.:
-
基因名:TMED1
-
別名:IL1RL1 binding protein antibody; IL1RL1L antibody; IL1RL1LG antibody; Interleukin-1 receptor-like 1 ligand antibody; Interleukin1 receptor like 1 ligand antibody; MGC1270 antibody; p24 family protein gamma 1 antibody; p24gamma1 antibody; Putative T1/ST2 receptor binding protein antibody; Putative T1/ST2 receptor-binding protein antibody; ST2L antibody; T1/ST2 receptor binding protein antibody; TMED 1 antibody; Tmed1 antibody; TMED1_HUMAN antibody; Tp24 antibody; Transmembrane emp24 domain containing 1 antibody; Transmembrane emp24 domain containing protein 1 antibody; Transmembrane emp24 domain-containing protein 1 antibody; Transmembrane emp24 protein transport domain containing 1 antibody; Transmembrane p24 trafficking protein 1 antibody
-
宿主:Rabbit
-
反應種屬:Human,Mouse,Rat
-
免疫原:Fusion protein of Human TMED1
-
免疫原種屬:Homo sapiens (Human)
-
標記方式:Non-conjugated
-
抗體亞型:IgG
-
純化方式:Antigen affinity purification
-
濃度:It differs from different batches. Please contact us to confirm it.
-
保存緩沖液:-20°C, pH7.4 PBS, 0.05% NaN3, 40% Glycerol
-
產品提供形式:Liquid
-
應用范圍:ELISA,WB,IHC
-
推薦稀釋比:
Application Recommended Dilution ELISA 1:1000-1:2000 WB 1:200-1:1000 IHC 1:25-1:100 -
Protocols:
-
儲存條件:Upon receipt, store at -20°C or -80°C. Avoid repeated freeze.
-
貨期:Basically, we can dispatch the products out in 1-3 working days after receiving your orders. Delivery time maybe differs from different purchasing way or location, please kindly consult your local distributors for specific delivery time.
-
用途:For Research Use Only. Not for use in diagnostic or therapeutic procedures.
相關產品
靶點詳情
-
功能:Potential role in vesicular protein trafficking, mainly in the early secretory pathway. May act as a cargo receptor at the lumenal side for incorporation of secretory cargo molecules into transport vesicles and may be involved in vesicle coat formation at the cytoplasmic side.
-
基因功能參考文獻:
- The GOLD domain-containing protein TMED1 is involved in interleukin-33 signaling PMID: 23319592
- ST2L is stably and selectively expressed on human Th2, Tc2 and NK2 lymphocyte lines and can be used as a marker for determining shifts in immune status of human diseases such as HIV infection. PMID: 11466339
-
亞細胞定位:Cell membrane; Single-pass type I membrane protein. Endoplasmic reticulum membrane; Single-pass type I membrane protein. Golgi apparatus, cis-Golgi network membrane; Single-pass type I membrane protein. Endoplasmic reticulum-Golgi intermediate compartment membrane; Single-pass type I membrane protein.
-
蛋白家族:EMP24/GP25L family
-
組織特異性:Widely expressed.
-
數據庫鏈接:
Most popular with customers
-
YWHAB Recombinant Monoclonal Antibody
Applications: ELISA, WB, IHC, IF, FC
Species Reactivity: Human, Mouse, Rat
-
-
-
-
-
-
-















