TMCO1 Antibody
-
中文名稱:TMCO1兔多克隆抗體
-
貨號:CSB-PA891784LA01HU
-
規格:¥440
-
圖片:
-
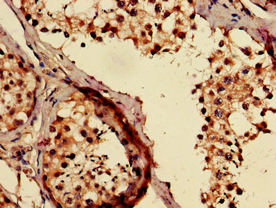
IHC image of CSB-PA891784LA01HU diluted at 1:500 and staining in paraffin-embedded human testis tissue performed on a Leica BondTM system. After dewaxing and hydration, antigen retrieval was mediated by high pressure in a citrate buffer (pH 6.0). Section was blocked with 10% normal goat serum 30min at RT. Then primary antibody (1% BSA) was incubated at 4°C overnight. The primary is detected by a biotinylated secondary antibody and visualized using an HRP conjugated SP system.
-
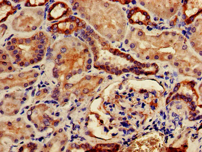
IHC image of CSB-PA891784LA01HU diluted at 1:500 and staining in paraffin-embedded human kidney tissue performed on a Leica BondTM system. After dewaxing and hydration, antigen retrieval was mediated by high pressure in a citrate buffer (pH 6.0). Section was blocked with 10% normal goat serum 30min at RT. Then primary antibody (1% BSA) was incubated at 4°C overnight. The primary is detected by a biotinylated secondary antibody and visualized using an HRP conjugated SP system.
-
-
其他:
產品詳情
-
產品名稱:Rabbit anti-Homo sapiens (Human) TMCO1 Polyclonal antibody
-
Uniprot No.:
-
基因名:TMCO1
-
別名:TMCO1; TMCC4; PNAS-10; PNAS-136; UNQ151/PRO177; Calcium load-activated calcium channel; CLAC channel; Transmembrane and coiled-coil domain-containing protein 1; Transmembrane and coiled-coil domains protein 4; Xenogeneic cross-immune protein PCIA3
-
宿主:Rabbit
-
反應種屬:Human
-
免疫原:Recombinant Human Calcium load-activated calcium channel protein (43-79AA)
-
免疫原種屬:Homo sapiens (Human)
-
標記方式:Non-conjugated
本頁面中的產品,TMCO1 Antibody (CSB-PA891784LA01HU),的標記方式是Non-conjugated。對于TMCO1 Antibody,我們還提供其他標記。見下表:
-
克隆類型:Polyclonal
-
抗體亞型:IgG
-
純化方式:>95%, Protein G purified
-
濃度:It differs from different batches. Please contact us to confirm it.
-
保存緩沖液:Preservative: 0.03% Proclin 300
Constituents: 50% Glycerol, 0.01M PBS, pH 7.4 -
產品提供形式:Liquid
-
應用范圍:ELISA, IHC
-
推薦稀釋比:
Application Recommended Dilution IHC 1:500-1:1000 -
Protocols:
-
儲存條件:Upon receipt, store at -20°C or -80°C. Avoid repeated freeze.
-
貨期:Basically, we can dispatch the products out in 1-3 working days after receiving your orders. Delivery time maybe differs from different purchasing way or location, please kindly consult your local distributors for specific delivery time.
-
用途:For Research Use Only. Not for use in diagnostic or therapeutic procedures.
相關產品
靶點詳情
-
功能:Calcium-selective channel required to prevent calcium stores from overfilling, thereby playing a key role in calcium homeostasis. In response to endoplasmic reticulum (ER) overloading, assembles into a homotetramer, forming a functional calcium-selective channel, regulating the calcium content in endoplasmic reticulum store. Component of a ribosome-associated ER translocon complex involved in multi-pass membrane protein transport into the ER membrane and biogenesis. Together with SEC61 and TMEM147, forms the lipid-filled cavity at the center of the translocon where TMEM147 may insert hydrophobic segments of mutli-pass membrane proteins from the lumen into de central membrane cavity in a process gated by SEC61, and TMCO1 may insert hydrophobic segments of nascent chains from the cytosol into the cavity.
-
基因功能參考文獻:
- TMCO1 recruited the PH domain and leucine-rich repeat protein phosphatase 2 (PHLPP2) to dephosphorylate pAKT1(serine 473) (S473). Mutagenesis at S60 of the TMCO1 protein released TMCO1-induced cell-cycle arrest and restored the AKT pathway in BFTC905 cells. Stable TMCO1 (wild-type) overexpression suppressed, whereas T33A and S60A mutants recovered, tumor size in xenograft mice. PMID: 28972042
- TMCO1 genotype was found to increase the risk of glaucoma developing among non-Hispanic whites, the largest racial subgroup in the OHTS cohort. PMID: 27707548
- The significant association of three common variants in TMCO1, ATOH7, and CAV1 with primary open angle, primary angle closure, and pseudoexfoliation glaucoma was found in Pakistani cohorts. PMID: 25489222
- TMCO1 deficiency causes autosomal recessive cerebrofaciothoracic dysplasia. PMID: 24194475
- We identified two nominally significant SNPs (P < 0.05), including rs7518099 and rs2814471 in TMCO1, in primary open angle glaucoma. PMID: 23963167
- This study shows a relationship between genetic variation in and around TMCO1 with age at diagnosis of POAG and provides clues to the potential cellular function/s of this gene. PMID: 22714896
- Intraocular pressure (IOP)was significantly associated with rs11656696, located in GAS7 at 17p13.1 and with rs7555523, located in TMCO1 at 1q24.1.These data suggest that we have identified two clinically relevant genes involved in IOP regulation. PMID: 22570627
- We report a genome-wide association study for open-angle glaucoma (OAG) blindness at tnco1 and cdkn2b loci. PMID: 21532571
- This report shows a TMCO1 sequence variant being associated with a genetic disorder in humans. PMID: 20018682
顯示更多
收起更多
-
相關疾病:Craniofacial dysmorphism, skeletal anomalies and mental retardation syndrome (CFSMR); Glaucoma, primary open angle (POAG)
-
亞細胞定位:Endoplasmic reticulum membrane; Multi-pass membrane protein. Golgi apparatus membrane; Multi-pass membrane protein.
-
蛋白家族:TMCO1 family
-
組織特異性:Widely expressed in adult and fetal tissues, with higher levels in thymus, prostate, testis and small intestine and lower levels in brain, placenta, lung and kidney. Present in most tissues in the eye, including the trabecular meshwork and retina (at prot
-
數據庫鏈接:
Most popular with customers
-
-
YWHAB Recombinant Monoclonal Antibody
Applications: ELISA, WB, IHC, IF, FC
Species Reactivity: Human, Mouse, Rat
-
Phospho-YAP1 (S127) Recombinant Monoclonal Antibody
Applications: ELISA, WB, IHC
Species Reactivity: Human
-
-
-
-
-















