TM9SF1 Antibody
-
中文名稱:TM9SF1兔多克隆抗體
-
貨號:CSB-PA023626ESR1HU
-
規格:¥440
-
圖片:
-
Western blot
All lanes: TM9SF1 antibody at 6.93μg/ml + U251 whole cell lysate
Secondary
Goat polyclonal to rabbit IgG at 1/10000 dilution
Predicted band size: 69, 56 kDa
Observed band size: 69, 46 kDa -
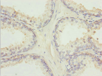
Immunohistochemistry of paraffin-embedded human prostate cancer using CSB-PA023626ESR1HU at dilution of 1:100
-
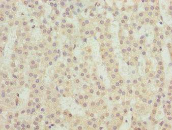
Immunohistochemistry of paraffin-embedded human adrenal gland tissue using CSB-PA023626ESR1HU at dilution of 1:100
-
-
其他:
產品詳情
-
產品名稱:Rabbit anti-Homo sapiens (Human) TM9SF1 Polyclonal antibody
-
Uniprot No.:
-
基因名:TM9SF1
-
別名:HMP 70 antibody; hMP70 antibody; MP 70 antibody; MP70 antibody; MP70 protein family member antibody; Multispanning membrane protein (70kD) antibody; TM9S1_HUMAN antibody; Tm9sf1 antibody; Transmembrane 9 superfamily member 1 antibody; Transmembrane protein 9 superfamily member 1 antibody
-
宿主:Rabbit
-
反應種屬:Human
-
免疫原:Recombinant Human Transmembrane 9 superfamily member 1 protein (28-230AA)
-
免疫原種屬:Homo sapiens (Human)
-
標記方式:Non-conjugated
-
克隆類型:Polyclonal
-
抗體亞型:IgG
-
純化方式:Antigen Affinity Purified
-
濃度:It differs from different batches. Please contact us to confirm it.
-
保存緩沖液:PBS with 0.02% sodium azide, 50% glycerol, pH7.3.
-
產品提供形式:Liquid
-
應用范圍:ELISA, WB, IHC
-
推薦稀釋比:
Application Recommended Dilution WB 1:1000-1:5000 IHC 1:20-1:200 -
Protocols:
-
儲存條件:Upon receipt, store at -20°C or -80°C. Avoid repeated freeze.
-
貨期:Basically, we can dispatch the products out in 1-3 working days after receiving your orders. Delivery time maybe differs from different purchasing way or location, please kindly consult your local distributors for specific delivery time.
-
用途:For Research Use Only. Not for use in diagnostic or therapeutic procedures.
相關產品
靶點詳情
-
功能:Plays an essential role in autophagy.
-
基因功能參考文獻:
- The results of transmission electron microscopy and immunoblotting to examine LC3-II levels further confirmed the ability of TM9SF1 to induce autophagy. PMID: 19029833
-
亞細胞定位:Lysosome membrane; Multi-pass membrane protein. Cytoplasmic vesicle, autophagosome membrane; Multi-pass membrane protein.
-
蛋白家族:Nonaspanin (TM9SF) (TC 9.A.2) family
-
組織特異性:Expressed in lung, pancreas, kidney, liver, placenta, skeletal muscle, heart and brain. The amount in skeletal muscle, heart and brain were considerably lower than in the other tissues.
-
數據庫鏈接:
Most popular with customers
-
-
YWHAB Recombinant Monoclonal Antibody
Applications: ELISA, WB, IHC, IF, FC
Species Reactivity: Human, Mouse, Rat
-
Phospho-YAP1 (S127) Recombinant Monoclonal Antibody
Applications: ELISA, WB, IHC
Species Reactivity: Human
-
-
-
-
-















