TLR5 Antibody
-
中文名稱:TLR5兔多克隆抗體
-
貨號:CSB-PA296982
-
規格:¥1100
-
圖片:
-
The image on the left is immunohistochemistry of paraffin-embedded Human thyroid cancer tissue using CSB-PA296982(TLR5 Antibody) at dilution 1/30, on the right is treated with fusion protein. (Original magnification: ×200)
-
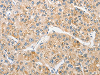
The image on the left is immunohistochemistry of paraffin-embedded Human liver cancer tissue using CSB-PA296982(TLR5 Antibody) at dilution 1/30, on the right is treated with fusion protein. (Original magnification: ×200)
-
-
其他:
產品詳情
-
Uniprot No.:
-
基因名:
-
別名:FLJ10052 antibody; MGC126430 antibody; MGC126431 antibody; SLEB1 antibody; TIL 3 antibody; TIL3 antibody; TLR 5 antibody; Tlr5 antibody; TLR5_HUMAN antibody; Toll like receptor 5 antibody; Toll like receptor 5 precursor antibody; Toll-like receptor 5 antibody; Toll/interleukin 1 receptor like protein 3 antibody; Toll/interleukin-1 receptor-like protein 3 antibody
-
宿主:Rabbit
-
反應種屬:Human
-
免疫原:Fusion protein of Human TLR5
-
免疫原種屬:Homo sapiens (Human)
-
標記方式:Non-conjugated
-
抗體亞型:IgG
-
純化方式:Antigen affinity purification
-
濃度:It differs from different batches. Please contact us to confirm it.
-
保存緩沖液:-20°C, pH7.4 PBS, 0.05% NaN3, 40% Glycerol
-
產品提供形式:Liquid
-
應用范圍:ELISA,IHC
-
推薦稀釋比:
Application Recommended Dilution ELISA 1:1000-1:5000 IHC 1:50-1:200 -
Protocols:
-
儲存條件:Upon receipt, store at -20°C or -80°C. Avoid repeated freeze.
-
貨期:Basically, we can dispatch the products out in 1-3 working days after receiving your orders. Delivery time maybe differs from different purchasing way or location, please kindly consult your local distributors for specific delivery time.
-
用途:For Research Use Only. Not for use in diagnostic or therapeutic procedures.
相關產品
靶點詳情
-
功能:Pattern recognition receptor (PRR) located on the cell surface that participates in the activation of innate immunity and inflammatory response. Recognizes small molecular motifs named pathogen-associated molecular pattern (PAMPs) expressed by pathogens and microbe-associated molecular patterns (MAMPs) usually expressed by resident microbiota. Upon ligand binding such as bacterial flagellins, recruits intracellular adapter proteins MYD88 and TRIF leading to NF-kappa-B activation, cytokine secretion and induction of the inflammatory response. Plays thereby an important role in the relationship between the intestinal epithelium and enteric microbes and contributes to the gut microbiota composition throughout life.
-
基因功能參考文獻:
- SNPs associated with genetically determined high activity of TLR5 among patients with CD and genetically determined high IL-12 and IL-18 levels among patients with UC. PMID: 28139755
- results suggest that Hsp90 inhibitors suppress TLR5 surface expression and activation of NF-kappaB in THP-1 cells in response to TLR5 ligand, and these inhibitory effects may be associated with the possible mechanisms by which Hsp90 inhibitors suppress myeloid leukemia. PMID: 29651431
- this study signifies that TLR5 adaptor molecules are necessary for the proper production of cytokines, chemokines and pro-labour mediators after TLR ligation PMID: 28844021
- the newly found long TLR5 transcripts may be involved in the negative regulation of TLR5 expression and function. PMID: 28948171
- It was observed that the TLR5 polymorphisms rs5744168, rs2072493, and rs5744174 are less frequent in Indian Tamils, suggesting that the TLR5 gene remains conserved, which may be due to the genetic selection pressure to withstand prevailing endemic infectious diseases. We observed that these polymorphisms also failed to confer significant risk to develop chronic H. pylori infections and its associated clinical phenotypes PMID: 28742407
- we identified significant interactions between TLR5 rs1640827, rs17163737 and Helicobacter pylori infection. This results provide valuable insights into the TLR5 and Helicobacter pylori infection involved in gastric carcinogenesis, and this may have important implications in personalized prevention of GC. PMID: 28404962
- TLR 5, 7, and 9 expression patterns differed between HPV-positive and -negative oropharyngeal squamous cell carcinoma patients. In HPV-positive tumors the expression of TLR 5 and 7 correlated with tumor recurrence. PMID: 28856441
- These results suggest that HMGB1-modulated TLR5 signaling is responsible for pain hypersensitivity. PMID: 27760316
- data show that TLR-5 and TLR-9 are susceptible genes to lupus nephritis (LN) and that their expression is dysregulated in LN patients' kidneys, supporting a role of these mediators in the pathogenesis of LN. PMID: 28763101
- These results indicate that in Chinese genetic variation of TLR5 may be not a determinant of susceptibility to hepatitis B virus-related diseases but may play a role in development of hepatitis B virus-related severe liver diseases. PMID: 28543911
- Distinctive Recognition of Flagellin by Human and Mouse Toll-Like Receptor 5 PMID: 27391968
- This study independently confirms the association of TLR5 c.1174C>T with protection against death in melioidosis, identifies lower bacteremia, IL-10 and TNF-alpha production in carriers of the variant with melioidosis. PMID: 28475641
- Study demonstrated that toll-like receptor 5 expression and functional activity as measured by interleukin 6 are modulated by hormones PMID: 27651177
- findings suggest that TLR5 is functionally expressed in the SG and responds to its cognate ligand flagellin PMID: 27665969
- that TLR5 is involved in the pathogenesis and dissemination of esophageal adenocarcinoma through as-yet-uncharacterized mechanisms PMID: 27392931
- Ligands for TLR1/2 or TLR5 may provide critical stimuli able to sustain the growth and the malignant phenotype of MCL cells. PMID: 27123851
- The distribution of the TLR 5 genotypes did not differ significantly between bronchopulmonary dysplasia patients and controls. PMID: 27457283
- Both TLR 5 and 7 are expressed in salivary adenoid cystic carcinoma on the cell membranes as well as in cytoplasm. PMID: 26888781
- The results of this study demonstrated that TLR5 rs5744174 polymorphism may have no impact on the stroke risk, gene expression and inflammatory cytokines, but may influence the HDL-C serum level of IS patients in Chinese Han population. PMID: 27262705
- Letter: TLR5 mRNA was not altered in peripheral mononuclear cells from patients with ankylosing spondylitis or rheumatoid arthritis. PMID: 26996117
- These results indicate that in response to Pseudomonas aeruginosa or flagellin, EGFR associates with and tyrosine phosphorylates MUC1-CT in primary normal human bronchial epithelial cells, leading to increased MUC1-CT association with TLR5 PMID: 26645913
- Study elucidated the relationship between TLR5 and caveolin-1 at the transcriptional and translational levels using human cells, results suggest that caveolin-1 is a crucial regulator for maintaining and controlling TLR5 expression. PMID: 26615831
- Study showed that MyD88 Toll/interleukin-1 receptor (TIR) domain interacted with TLR5TIR but not with TLR6TIR. The solubility of both TLR5TIR and TLR6TIR were influenced by its binding partner MyD88TIR. Moreover, TLR5TIR exhibited increased solubility. PMID: 26548862
- TLR-5 was more abundant in OSCC than in CSCC samples. PMID: 25047824
- genetic polymorphism is not associated with duodenal ulcer PMID: 25995217
- p53-dependent amplification of transcriptional response to TLR5 activation required expression of NFkappaB subunit p65 and was mediated by several molecular mechanisms PMID: 26220208
- TLR5 variants R392X and N592S showed significant association with UC patients but TLR 1, 2, 3, 6 variants did not show any association. PMID: 25789623
- Studies indicate that toll-like receptor 5 (TLR5) specifically interacts with flagellin, and is useful as an analytical recognition element for low concentrations of flagellin. PMID: 24881544
- review of recent research on the interactions between TLR5, adaptive immunity and the microbiota; discussion of how variation in the TLR5 gene may alter these interactions to impact host inflammatory phenotypes in humans PMID: 25284610
- Establishing bacterial flagellin-recognizing toll-like receptor 5 (TLR5) as a novel link between gut microbiota composition, adipose tissue inflammation, and obesity. PMID: 25611816
- Flagellin activated TLR5 protein in non-small cell lung cancer cell lines and initiate downstream signaling pathways. PMID: 25603867
- mediates cytokine production in response to the Toxoplasma gondii-derived profilin PMID: 24861338
- Association of TLR5 Gene Polymorphisms in Ulcerative Colitis Patients of North India and Their Role in Cytokine Homeostasis. PMID: 25789623
- Study demonstrates that TLR5 recognition of commensal microbiota regulates systemic tumor-promoting inflammation and, subsequently, extramucosal malignant progression. PMID: 25533336
- A family was heterozygous for risk variants of the genes encoding NOD2 and TLR5 and homozygous carriers of PTPN2 risk alleles in Crohn disease. PMID: 24901824
- Genetic polymorphisms in TLR5 might be associated with decreased susceptibility of Graves' disease in Chinese Cantonese females. PMID: 24830583
- results reveal broad expression patterns of TLR5 and TLR7 in the lung and that the expression is decreased in severe asthma. PMID: 24447081
- TLR5 activation by flagellin may elicit chemoresistance in Multiple myeloma patients who have suffered from recurrent bacterial infections. PMID: 24709011
- Sle1 transgene perturbs the action of peripheral tolerance checkpoints operative on antinuclear antigen B cells in both the antibody-forming cell and germinal center pathways in a cell autonomous fashion. PMID: 19828626
- TLR5(rs5744105)variant was associated with altered immune responses in very low birth weight infants (elevated WBC counts)during bacterial infections. PMID: 23867959
- Frequent SNP's in the flagellin receptor TLR5 and the TLR downstream effector molecules MyD88 and TIRAP that are associated with altered survival in a large cohort of Caucasian patients with colorectal cancer PMID: 24154872
- Low expression of TLR5 was associated with non-small cell lung cancer. PMID: 24549739
- Authors suggest that TLR5 is involved in host defense against Aspergillus fumigatus, and that the recipient TLR5-Stop SNP represents a risk factor for the development of invasive aspergillosis after allogeneic stem cell transplantation. PMID: 23862689
- suggest a role for abnormal expression of TLR5 in the pathogenesis of esophageal adenocarcinoma and suggest importance of altered microbiome in the pathogenesis of complications of Barrett's esophagus PMID: 24221343
- exposure of human T cells to flagellin leads to a transient TLR5-induced increase in the sensitivity of these cells to subsequent TCR activation. PMID: 24128895
- TLR5 signaling enhances the proliferation of human allogeneic CD40-activated B cell induced CD4hiCD25+ regulatory T cells. PMID: 23844139
- These results indicate that polyethylenimine is a new TLR5 agonist with potential application in offering protection for patients receiving radiotherapy or in radiation-related accidents. PMID: 23104900
- A non-synonymous coding variant (L616F) in the TLR5 gene is potentially associated with Crohn's disease and influences responses to bacterial flagellin. PMID: 23593463
- Our data demonstrate a novel role for TLR-5 in rheumatoid arthritis angiogenesis; thus, TLR-5 may be a promising new target for its treatment. PMID: 23666857
- Data indicate the biological activity of a TLR5:flagellin complex with a 2:2 stoichiometry. PMID: 23624387
顯示更多
收起更多
-
相關疾病:Systemic lupus erythematosus 1 (SLEB1)
-
亞細胞定位:Cell membrane; Single-pass type I membrane protein.
-
蛋白家族:Toll-like receptor family
-
組織特異性:Highly expressed on the basolateral surface of intestinal epithelia. Expressed also in other cells such as lung epithelial cells.
-
數據庫鏈接:
Most popular with customers
-
-
YWHAB Recombinant Monoclonal Antibody
Applications: ELISA, WB, IHC, IF, FC
Species Reactivity: Human, Mouse, Rat
-
Phospho-YAP1 (S127) Recombinant Monoclonal Antibody
Applications: ELISA, WB, IHC
Species Reactivity: Human
-
-
-
-
-















