TIMM21 Antibody
-
中文名稱:TIMM21兔多克隆抗體
-
貨號:CSB-PA871586ESR1HU
-
規格:¥440
-
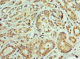
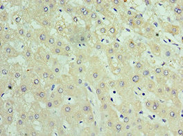
圖片:
-
其他:
產品詳情
-
產品名稱:Rabbit anti-Homo sapiens (Human) TIMM21 Polyclonal antibody
-
Uniprot No.:
-
基因名:TIMM21
-
別名:TIMM21 antibody; C18orf55 antibody; TIM21 antibody; HSPC154 antibody; Mitochondrial import inner membrane translocase subunit Tim21 antibody; TIM21-like protein antibody; mitochondrial antibody
-
宿主:Rabbit
-
反應種屬:Human
-
免疫原:Recombinant Human Mitochondrial import inner membrane translocase subunit Tim21 protein (1-248AA)
-
免疫原種屬:Homo sapiens (Human)
-
標記方式:Non-conjugated
-
克隆類型:Polyclonal
-
抗體亞型:IgG
-
純化方式:Antigen Affinity Purified
-
濃度:It differs from different batches. Please contact us to confirm it.
-
保存緩沖液:PBS with 0.02% sodium azide, 50% glycerol, pH7.3.
-
產品提供形式:Liquid
-
應用范圍:ELISA, IHC
-
推薦稀釋比:
Application Recommended Dilution IHC 1:20-1:200 -
Protocols:
-
儲存條件:Upon receipt, store at -20°C or -80°C. Avoid repeated freeze.
-
貨期:Basically, we can dispatch the products out in 1-3 working days after receiving your orders. Delivery time maybe differs from different purchasing way or location, please kindly consult your local distributors for specific delivery time.
-
用途:For Research Use Only. Not for use in diagnostic or therapeutic procedures.
相關產品
靶點詳情
-
功能:Participates in the translocation of transit peptide-containing proteins across the mitochondrial inner membrane. Also required for assembly of mitochondrial respiratory chain complex I and complex IV as component of the MITRAC (mitochondrial translation regulation assembly intermediate of cytochrome c oxidase complex) complex. Probably shuttles between the presequence translocase and respiratory-chain assembly intermediates in a process that promotes incorporation of early nuclear-encoded subunits into these complexes.
-
基因功能參考文獻:
- TIM21 is dispensable for protein import but required for integration of early-assembling, presequence-containing subunits into respiratory-chain intermediates. PMID: 23260140
-
亞細胞定位:Mitochondrion membrane; Single-pass membrane protein.
-
蛋白家族:TIM21 family
-
數據庫鏈接:
Most popular with customers
-
-
YWHAB Recombinant Monoclonal Antibody
Applications: ELISA, WB, IHC, IF, FC
Species Reactivity: Human, Mouse, Rat
-
Phospho-YAP1 (S127) Recombinant Monoclonal Antibody
Applications: ELISA, WB, IHC
Species Reactivity: Human
-
-
-
-
-















