-
中文名稱:TIGAR兔多克隆抗體
-
貨號:CSB-PA162542
-
規格:¥1100
-
圖片:
-
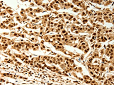
The image on the left is immunohistochemistry of paraffin-embedded Human cervical cancer tissue using CSB-PA162542(TIGAR Antibody) at dilution 1/80, on the right is treated with synthetic peptide. (Original magnification: ×200)
-
The image on the left is immunohistochemistry of paraffin-embedded Human breast cancer tissue using CSB-PA162542(TIGAR Antibody) at dilution 1/80, on the right is treated with synthetic peptide. (Original magnification: ×200)
-
Gel: 8%SDS-PAGE, Lysate: 40 μg, Lane: Human normal liver tissue, Primary antibody: CSB-PA162542(TIGAR Antibody) at dilution 1/200 dilution, Secondary antibody: Goat anti rabbit IgG at 1/8000 dilution, Exposure time: 10 seconds
-
-
其他:
產品詳情
-
Uniprot No.:
-
基因名:
-
別名:6-bisphosphatase TIGAR antibody; C12ORF5 antibody; chromosome 12 open reading frame 5 antibody; FR2BP antibody; Fructose-2,6-bisphosphatase TIGAR antibody; Fructose-2,6-bisphosphate 2-phosphatase antibody; Probable fructose 2,6 bisphosphatase TIGAR antibody; Probable fructose-2 antibody; tigar antibody; TIGAR_HUMAN antibody; TP53 induced glycolysis and apoptosis regulator antibody; TP53 induced glycolysis regulatory phosphatase antibody; TP53-induced glycolysis and apoptosis regulator antibody; Transactivated by NS3TP2 protein antibody
-
宿主:Rabbit
-
反應種屬:Human
-
免疫原:Synthetic peptide of Human TIGAR
-
免疫原種屬:Homo sapiens (Human)
-
標記方式:Non-conjugated
-
抗體亞型:IgG
-
純化方式:Antigen affinity purification
-
濃度:It differs from different batches. Please contact us to confirm it.
-
保存緩沖液:-20°C, pH7.4 PBS, 0.05% NaN3, 40% Glycerol
-
產品提供形式:Liquid
-
應用范圍:ELISA,WB,IHC
-
推薦稀釋比:
Application Recommended Dilution ELISA 1:1000-1:2000 WB 1:200-1:1000 IHC 1:100-1:300 -
Protocols:
-
儲存條件:Upon receipt, store at -20°C or -80°C. Avoid repeated freeze.
-
貨期:Basically, we can dispatch the products out in 1-3 working days after receiving your orders. Delivery time maybe differs from different purchasing way or location, please kindly consult your local distributors for specific delivery time.
-
用途:For Research Use Only. Not for use in diagnostic or therapeutic procedures.
相關產品
靶點詳情
-
功能:Fructose-bisphosphatase hydrolyzing fructose-2,6-bisphosphate as well as fructose-1,6-bisphosphate. Acts as a negative regulator of glycolysis by lowering intracellular levels of fructose-2,6-bisphosphate in a p53/TP53-dependent manner, resulting in the pentose phosphate pathway (PPP) activation and NADPH production. Contributes to the generation of reduced glutathione to cause a decrease in intracellular reactive oxygen species (ROS) content, correlating with its ability to protect cells from oxidative or metabolic stress-induced cell death. Plays a role in promoting protection against cell death during hypoxia by decreasing mitochondria ROS levels in a HK2-dependent manner through a mechanism that is independent of its fructose-bisphosphatase activity. In response to cardiac damage stress, mediates p53-induced inhibition of myocyte mitophagy through ROS levels reduction and the subsequent inactivation of BNIP3. Reduced mitophagy results in an enhanced apoptotic myocyte cell death, and exacerbates cardiac damage. Plays a role in adult intestinal regeneration; contributes to the growth, proliferation and survival of intestinal crypts following tissue ablation. Plays a neuroprotective role against ischemic brain damage by enhancing PPP flux and preserving mitochondria functions. Protects glioma cells from hypoxia- and ROS-induced cell death by inhibiting glycolysis and activating mitochondrial energy metabolism and oxygen consumption in a TKTL1-dependent and p53/TP53-independent manner. Plays a role in cancer cell survival by promoting DNA repair through activating PPP flux in a CDK5-ATM-dependent signaling pathway during hypoxia and/or genome stress-induced DNA damage responses. Involved in intestinal tumor progression.
-
基因功能參考文獻:
- Knockdown of TP53 induced glycolysis and apoptosis(TIGAR) was able to radiosensitize thioredoxin reductase-1-overexpressing gliomas by inhibiting irradiation -induced thioredoxin-1 nuclear transport. PMID: 28338004
- findings demonstrate that the HTLV-1 latency-maintenance factor p30(II) induces the TP53-induced glycolysis and apoptosis regulator (TIGAR) and counters the oxidative stress, mitochondrial damage, and cytotoxicity caused by the viral oncoproteins Tax and HBZ PMID: 29777913
- simultaneous mutations at all four acetylation sites completely abolish its ability to regulate metabolic targets, such as TIGAR and SLC7A11. Moreover, p53(4KR) is still capable of inducing the p53-Mdm2 feedback loop, but p53-dependent ferroptotic responses are markedly abrogated PMID: 27705786
- High TIGAR expression was an independent predictor of poor survival and high incidence of relapse in adult patients with CN-AML. TIGAR also showed high expression in multiple human leukemia cell lines and knockdown of TIGAR activated glycolysis through PFKFB3 upregulation in human leukemia cells. PMID: 27884166
- the upregulation of hsamiR101 in ccRCC was induced by hypoxia. Its expression deceased the protein expression of TIGAR and promoted glycolysis. This regulatory pathway may represent a novel mechanism of carcinogenesis and requires further investigation. PMID: 28138701
- TIGAR expression in breast carcinoma cells promotes metabolic compartmentalization and tumor growth with a mitochondrial metabolic phenotype with lactate and glutamine catabolism. PMID: 27803158
- we investigate the crosstalk between PFKFB3 and TIGAR (TP53-Induced Glycolysis and Apoptosis Regulator), a protein known to protect cells from oxidative stress. Our results show consistent TIGAR induction in HeLa cells in response to PFKFB3 knockdown PMID: 27491040
- The study showed that miR-101 inhibited viability, induced apoptosis, pushed glucose metabolism flux from the pentose phosphate pathway into glycolysis in prostate cancer PC3 cell line by decreasing NADPH levels by throughly directly binding to 3'-UTR of TIGAR mRNA and repressing TIGAR expression. PMID: 28384067
- This study demonstrated that a high p53 expression could be associated with the promotion of glycolysis in gastric cancer via the modulation of TIGAR expression. PMID: 27499152
- TIGAR expression may be used as a bio-marker for detection of colorectal cancer and can be used as a target for developing therapeutics for the treatment of colorectal cancer. PMID: 26675982
- TIGAR knockdown reduced tumor growth rate. PMID: 26691054
- Geranylgeranoic acid induced upregulation of the TIGAR gene, which might inhibit the glycolysis in HuH-7 cells with p53 mutation. PMID: 26700591
- TIGAR over-expression could diminish the radiosensitivity of Hs 917.T cells, and the autophagy level induced by ionizing radiation (IR) was also decreased by TIGAR transfection. PMID: 26191173
- The Cdk5-AMT signal pathway involved in regulation of DDR by TIGAR. PMID: 25928429
- miR-144 targeted TIGAR, inhibited proliferation, enhanced apoptosis, and increased autophagy in A549 and H460 cells PMID: 25660220
- Results revealed that TIGAR inhibits both apoptosis and autophagy. PMID: 25085248
- TIGAR is correlated with maximal standardized uptake value on FDG-PET and survival in non-small cell lung cancer. PMID: 24363807
- Data show targeting MUC1-C is synergistic with bortezomib (BTZ) in suppressing p53-inducible regulator of glycolysis and apoptosis (TIGAR)-mediated regulation of reactive oxygen species levels for combining GO-203 with BTZ in BTZ resistance. PMID: 24632713
- The kinetic properties and the structural similarity of the best substrates of TIGAR make it unlikely that TIGAR modulates cellular fructose 2,6-bisphosphate levels directly. PMID: 24423178
- CREB regulates TIGAR expression via a CRE-binding site at the TIGAR promoter. PMID: 24036271
- oroxylin A could increase protein and mRNA expression of TP53-induced glycolysis and apoptosis regulator (TIGAR) and synthesis of cytochrome c oxidase 2 (SCO2), which are the key metabolic modulators regulated by p53. PMID: 23612020
- TIGAR gene expression is down regulated by oxidative stress through the mediation of reactive oxygen species PMID: 23832602
- TIGAR regulates akt and erk phosphorylation but hase no effect on NF-kappa B activation in neocazinostatin-treated cells. PMID: 23640457
- data provide the first evidence that targeted silencing of TIGAR induces apoptotic and autophagic cell death in HepG2 cells PMID: 23817040
- TIGAR has roles in efficient intestinal regeneration and tumorigenesis PMID: 23726973
- The ability of TIGAR to function as a Fru-2,6-BPase was independent of hexokinase 2 binding and mitochondrial localization, although activities can contribute to the activity of TIGAR in limiting mitochondrial ROS levels and protecting from cell death. PMID: 23185017
- TIGAR regulates the expression of genes involved in cell-cycle progression. PMID: 22782351
- Tp53-induced glycolysis and apoptosis regulator (TIGAR) protects glioma cells from starvation-induced cell death by up-regulating respiration and improving cellular redox homeostasis PMID: 22887998
- SP1 can interact with the SP1-binding site within TIGAR promoter in vitro and in vivo. Conclusively, SPl is indispensable for basal activity of TIGAR promoter. PMID: 21761199
- TIGAR abrogation provides a novel adjunctive therapeutic strategy against glial tumors by increasing radiation-induced cell impairment, thus allowing the use of lower radiotherapeutic doses. PMID: 21864926
- These results suggest that p53 can modulate the metabolic pathways via the proteins SCO2 and TIGAR in human breast cancer. PMID: 21820150
- Inhibition of TIGAR by c-Met results in reduction of cellular NADPH and cell death. PMID: 21057531
- The decrease of intracellular ROS levels in response to TIGAR may also play a role in the ability of p53 to protect from the accumulation of genomic damage. PMID: 16839880
- correlation between the recently described p53-inducible apoptosis gene TIGAR and both sensitivity to fludarabine and hENT2 expression in chronic lymphocytic leukemia cells. PMID: 18945750
- TIGAR can modulate reactive oxygen species in response to nutrient starvation or metabolic stress, and functions to inhibit autophagy. PMID: 19713938
顯示更多
收起更多
-
亞細胞定位:Cytoplasm. Nucleus. Mitochondrion.
-
蛋白家族:Phosphoglycerate mutase family
-
組織特異性:Expressed in the brain. Expressed in breast tumors. Expressed in glioblastomas.
-
數據庫鏈接:
Most popular with customers
-
-
Phospho-YAP1 (S127) Recombinant Monoclonal Antibody
Applications: ELISA, WB, IHC
Species Reactivity: Human
-
-
-
-
-
-















