TIAM2 Antibody
-
中文名稱:TIAM2兔多克隆抗體
-
貨號:CSB-PA818235LA01HU
-
規格:¥440
-
圖片:
-
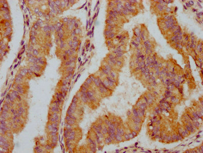
IHC image of CSB-PA818235LA01HU diluted at 1:300 and staining in paraffin-embedded human endometrial cancer performed on a Leica BondTM system. After dewaxing and hydration, antigen retrieval was mediated by high pressure in a citrate buffer (pH 6.0). Section was blocked with 10% normal goat serum 30min at RT. Then primary antibody (1% BSA) was incubated at 4°C overnight. The primary is detected by a biotinylated secondary antibody and visualized using an HRP conjugated SP system.
-
Immunofluorescence staining of U251 cells with CSB-PA818235LA01HU at 1:100, counter-stained with DAPI. The cells were fixed in 4% formaldehyde, permeabilized using 0.2% Triton X-100 and blocked in 10% normal Goat Serum. The cells were then incubated with the antibody overnight at 4°C. The secondary antibody was Alexa Fluor 488-congugated AffiniPure Goat Anti-Rabbit IgG(H+L).
-
-
其他:
產品詳情
-
產品名稱:Rabbit anti-Homo sapiens (Human) TIAM2 Polyclonal antibody
-
Uniprot No.:
-
基因名:TIAM2
-
別名:FLJ41865 antibody; OTTHUMP00000017472 antibody; SIF and TIAM1 like exchange factor antibody; SIF and TIAM1-like exchange factor antibody; STEF antibody; T cell lymphoma invasion and metastasis 2 antibody; T lymphoma invasion and metastasis inducing protein 2 antibody; T-lymphoma invasion and metastasis-inducing protein 2 antibody; TIAM 2 antibody; TIAM-2 antibody; Tiam2 antibody; TIAM2_HUMAN antibody
-
宿主:Rabbit
-
反應種屬:Human
-
免疫原:Recombinant Human T-lymphoma invasion and metastasis-inducing protein 2 protein (1500-1627AA)
-
免疫原種屬:Homo sapiens (Human)
-
標記方式:Non-conjugated
本頁面中的產品,TIAM2 Antibody (CSB-PA818235LA01HU),的標記方式是Non-conjugated。對于TIAM2 Antibody,我們還提供其他標記。見下表:
-
克隆類型:Polyclonal
-
抗體亞型:IgG
-
純化方式:>95%, Protein G purified
-
濃度:It differs from different batches. Please contact us to confirm it.
-
保存緩沖液:Preservative: 0.03% Proclin 300
Constituents: 50% Glycerol, 0.01M PBS, pH 7.4 -
產品提供形式:Liquid
-
應用范圍:ELISA, IHC, IF
-
推薦稀釋比:
Application Recommended Dilution IHC 1:200-1:500 IF 1:50-1:200 -
Protocols:
-
儲存條件:Upon receipt, store at -20°C or -80°C. Avoid repeated freeze.
-
貨期:Basically, we can dispatch the products out in 1-3 working days after receiving your orders. Delivery time maybe differs from different purchasing way or location, please kindly consult your local distributors for specific delivery time.
-
用途:For Research Use Only. Not for use in diagnostic or therapeutic procedures.
相關產品
靶點詳情
-
功能:Modulates the activity of RHO-like proteins and connects extracellular signals to cytoskeletal activities. Acts as a GDP-dissociation stimulator protein that stimulates the GDP-GTP exchange activity of RHO-like GTPases and activates them. Mediates extracellular laminin signals to activate Rac1, contributing to neurite growth. Involved in lamellipodial formation and advancement of the growth cone of embryonic hippocampal neurons. Promotes migration of neurons in the cerebral cortex. When overexpressed, induces membrane ruffling accompanied by the accumulation of actin filaments along the altered plasma membrane. Activates specifically RAC1, but not CDC42 and RHOA.
-
基因功能參考文獻:
- The authors show that the Rac1 selective guanine nucleotide exchange factor Sif and TIAM1-like Exchange Factor STEF, also known as TIAM2, localises to the nuclear envelope, co-localises with key perinuclear proteins and regulates the activity of perinuclear Rac1. PMID: 29844364
- Tiam2/Rac are key components of EphB2 trans-endocytosis and are important for cell repulsion. PMID: 27597758
- Results provide evidence that Sp1 positively controls TIAM2S transcription and that Sp1-mediated transcriptional activation is essential for TIAM2S ectopic expression in liver cancer cells. PMID: 26763486
- Knockdown of TIAM2 could up-regulate the expression of E-cadherin. PMID: 24377522
- TIAM2 expression was undetectable in normal human liver but was induced in all HCC cell lines and in 86% (78/91) of HCC biopsies. PMID: 21469146
- stef gene expressed in a stage- and region-specific manner in the mouse brain PMID: 11900975
- STEF protein is a guanine nucleotide exchange factor that specifically activates Rac1 in vitro and in cultured cells, which may lead to changes in the actin cytoskeletal network. PMID: 10364228
顯示更多
收起更多
-
亞細胞定位:Cytoplasm. Cell projection, lamellipodium. Cell projection, filopodium. Cell projection, growth cone. Cell projection, neuron projection. Perikaryon.
-
蛋白家族:TIAM family
-
組織特異性:Expressed in the occipital, frontal and temporal lobes, cerebellum, putamen and testis.
-
數據庫鏈接:
Most popular with customers
-
-
YWHAB Recombinant Monoclonal Antibody
Applications: ELISA, WB, IHC, IF, FC
Species Reactivity: Human, Mouse, Rat
-
Phospho-YAP1 (S127) Recombinant Monoclonal Antibody
Applications: ELISA, WB, IHC
Species Reactivity: Human
-
-
-
-
-















