THRSP Antibody
-
中文名稱:THRSP兔多克隆抗體
-
貨號:CSB-PA696718
-
規格:¥1100
-
圖片:
-
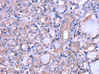
The image on the left is immunohistochemistry of paraffin-embedded Human thyroid cancer tissue using CSB-PA696718(THRSP Antibody) at dilution 1/30, on the right is treated with fusion protein. (Original magnification: ×200)
-
Gel: 12%SDS-PAGE,Lysate: 40 μg,,Primary antibody: CSB-PA696718(THRSP Antibody) at dilution 1/400 dilution,Secondary antibody: Goat anti rabbit IgG at 1/8000 dilution,Exposure time: 1 minute
-
-
其他:
產品詳情
-
Uniprot No.:
-
基因名:THRSP
-
別名:Lpgp antibody; LPGP1 antibody; MGC21659 antibody; OTTHUMP00000233866 antibody; S14 antibody; S14 protein antibody; SPOT 14 antibody; Spot 14 protein antibody; SPOT14 antibody; SPOT14 homolog antibody; Thrsp antibody; THRSP_HUMAN antibody; Thyroid hormone inducible hepatic protein antibody; Thyroid hormone responsive (SPOT14 homolog rat) antibody; Thyroid hormone responsive antibody; Thyroid hormone responsive protein antibody; Thyroid hormone responsive SPOT14 antibody; Thyroid hormone-inducible hepatic protein antibody
-
宿主:Rabbit
-
反應種屬:Human,Mouse,Rat
-
免疫原:Full length fusion protein
-
免疫原種屬:Homo sapiens (Human)
-
標記方式:Non-conjugated
-
抗體亞型:IgG
-
純化方式:Antigen affinity purification
-
濃度:It differs from different batches. Please contact us to confirm it.
-
保存緩沖液:-20°C, pH7.4 PBS, 0.05% NaN3, 40% Glycerol
-
產品提供形式:Liquid
-
應用范圍:ELISA,WB,IHC
-
推薦稀釋比:
Application Recommended Dilution ELISA 1:2000-1:10000 WB 1:1000-1:5000 IHC 1:25-1:100 -
Protocols:
-
儲存條件:Upon receipt, store at -20°C or -80°C. Avoid repeated freeze.
-
貨期:Basically, we can dispatch the products out in 1-3 working days after receiving your orders. Delivery time maybe differs from different purchasing way or location, please kindly consult your local distributors for specific delivery time.
-
用途:For Research Use Only. Not for use in diagnostic or therapeutic procedures.
相關產品
靶點詳情
-
功能:Plays a role in the regulation of lipogenesis, especially in lactating mammary gland. Important for the biosynthesis of triglycerides with medium-length fatty acid chains. May modulate lipogenesis by interacting with MID1IP1 and preventing its interaction with ACACA. May function as transcriptional coactivator. May modulate the transcription factor activity of THRB.
-
基因功能參考文獻:
- The results of the present study indicated that Spot14/S14R were differently expressed in MSC adipogenesis in AIS patients, and they may be important in the abnormal adipogenic differentiation in AIS. PMID: 27082501
- In human breast cancer cell lines, S14 expression was highest in those representing the luminal subtype compared to those cell lines with basal characteristics. PMID: 25472762
- N-terminally truncated human Thrsp and its selenomethionyl derivative were collected to 4.0, 3.0 and 3.6 A resolution PMID: 21821901
- significantly greater thyroid hormone response for the human promoter, compared with the rat. PMID: 12960053
- human Spot 14 protein might regulate the p53 target gene, p21(WAF1/Cip1), via its direct interaction with the thyroid receptor or other p53 coactivators, such as Zac1. PMID: 18299245
顯示更多
收起更多
-
亞細胞定位:Nucleus. Cytoplasm.
-
蛋白家族:SPOT14 family
-
組織特異性:Mainly expressed in tissues that synthesize triglycerides.
-
數據庫鏈接:
Most popular with customers
-
-
YWHAB Recombinant Monoclonal Antibody
Applications: ELISA, WB, IHC, IF, FC
Species Reactivity: Human, Mouse, Rat
-
-
-
-
-
-















