THEMIS2 Antibody
-
中文名稱:THEMIS2兔多克隆抗體
-
貨號:CSB-PA735984LA01HU
-
規格:¥440
-
圖片:
-
Western Blot
Positive WB detected in: A549 whole cell lysate
All lanes: THEMIS2 antibody at 4.2µg/ml
Secondary
Goat polyclonal to rabbit IgG at 1/50000 dilution
Predicted band size: 73, 30, 57, 14, 58, 51 kDa
Observed band size: 57 kDa -
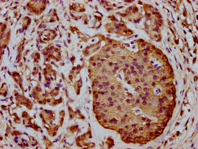
IHC image of CSB-PA735984LA01HU diluted at 1:400 and staining in paraffin-embedded human pancreatic cancer performed on a Leica BondTM system. After dewaxing and hydration, antigen retrieval was mediated by high pressure in a citrate buffer (pH 6.0). Section was blocked with 10% normal goat serum 30min at RT. Then primary antibody (1% BSA) was incubated at 4°C overnight. The primary is detected by a biotinylated secondary antibody and visualized using an HRP conjugated SP system.
-
Immunofluorescence staining of NIH/3T3 cells with CSB-PA735984LA01HU at 1:133, counter-stained with DAPI. The cells were fixed in 4% formaldehyde, permeabilized using 0.2% Triton X-100 and blocked in 10% normal Goat Serum. The cells were then incubated with the antibody overnight at 4°C. The secondary antibody was Alexa Fluor 488-congugated AffiniPure Goat Anti-Rabbit IgG(H+L).
-
-
其他:
產品詳情
-
產品名稱:Rabbit anti-Homo sapiens (Human) THEMIS2 Polyclonal antibody
-
Uniprot No.:
-
基因名:THEMIS2
-
別名:Basement membrane induced antibody; Chromosome 1 open reading frame 38 antibody; ICB 1 antibody; ICB1 antibody; Induced by contact to basement membrane 1 protein antibody; Protein ICB 1 antibody; Protein ICB-1 antibody; Protein THEMIS2 antibody; THEMIS2 antibody; THMS2_HUMAN antibody; Thymocyte expressed molecule involved in selection protein 2 antibody; Thymocyte-expressed molecule involved in selection protein 2 antibody
-
宿主:Rabbit
-
反應種屬:Human
-
免疫原:Recombinant Human Protein THEMIS2 protein (62-177AA)
-
免疫原種屬:Homo sapiens (Human)
-
標記方式:Non-conjugated
本頁面中的產品,THEMIS2 Antibody (CSB-PA735984LA01HU),的標記方式是Non-conjugated。對于THEMIS2 Antibody,我們還提供其他標記。見下表:
-
克隆類型:Polyclonal
-
抗體亞型:IgG
-
純化方式:>95%, Protein G purified
-
濃度:It differs from different batches. Please contact us to confirm it.
-
保存緩沖液:Preservative: 0.03% Proclin 300
Constituents: 50% Glycerol, 0.01M PBS, pH 7.4 -
產品提供形式:Liquid
-
應用范圍:ELISA, WB, IHC, IF
-
推薦稀釋比:
Application Recommended Dilution WB 1:500-1:5000 IHC 1:200-1:500 IF 1:50-1:200 -
Protocols:
-
儲存條件:Upon receipt, store at -20°C or -80°C. Avoid repeated freeze.
-
貨期:Basically, we can dispatch the products out in 1-3 working days after receiving your orders. Delivery time maybe differs from different purchasing way or location, please kindly consult your local distributors for specific delivery time.
-
用途:For Research Use Only. Not for use in diagnostic or therapeutic procedures.
相關產品
靶點詳情
-
功能:May constitute a control point in macrophage inflammatory response, promoting LPS-induced TLR4-mediated TNF production. Determines the threshold for activation of B cells by low-affinity and low-avidity ligands via PLCG2 activation and its downstream pathways.
-
基因功能參考文獻:
- SNP rs1467465 of the human gene icb-1 might affect susceptibility to ovarian cancer. PMID: 24826199
- Loss of icb-1 expression accelerated proliferation of SK-OV-3, OVCAR-3 and OAW-42 cells and led to upregulation of ovarian cancer biomarkers like KLK10 and CLDN16. PMID: 23474491
- Data of this study suggest that icb-1 might exert a tumor-suppressor function in breast cancer and that its loss might confer relative resistance of breast cancer cells to apoptotic drugs. PMID: 22565810
- Themis2 and Themis1 exhibit the same potential to restore T cell development and T cell receptor-mediated signaling in Themis1-deficient mice. PMID: 22732588
- These findings together with the observed co-expression of icb-1 with E-cadherin in breast cancer samples support an important role of the icb-1 gene in cancer cell differentiation. PMID: 21455565
- Data show that a highly significant positive correlation of icb-1 transcript levels with c-erbB2 (HER2) expression (p <.0001). PMID: 20569072
- Identification of ICB-1 as a new player in endocrine-related cancer. PMID: 19942713
- Increased icb-1 mRNA levels could be observed both in monocytic and granulocytic differentiation in maturing HL-60 cells. PMID: 12191572
- The novel interferon-gamma inducible gene icb-1 is identified and its effects on the response of ovarian cancer cells to interferon-gamma are described PMID: 16219472
- Data suggest that SNP rs1467465 of human gene icb-1 might affect breast cancer susceptibility. PMID: 19308812
顯示更多
收起更多
-
亞細胞定位:Nucleus. Cytoplasm.
-
蛋白家族:Themis family
-
組織特異性:Expressed in different endometrial adenocarcinoma cell lines and various other cell lines apart from the prostate cell line LNCaP and the ovarian cancer cell line BG1.
-
數據庫鏈接:
Most popular with customers
-
-
YWHAB Recombinant Monoclonal Antibody
Applications: ELISA, WB, IHC, IF, FC
Species Reactivity: Human, Mouse, Rat
-
Phospho-YAP1 (S127) Recombinant Monoclonal Antibody
Applications: ELISA, WB, IHC
Species Reactivity: Human
-
-
-
-
-















