TGM4 Antibody
-
中文名稱:TGM4兔多克隆抗體
-
貨號:CSB-PA023464LA01HU
-
規格:¥440
-
圖片:
-
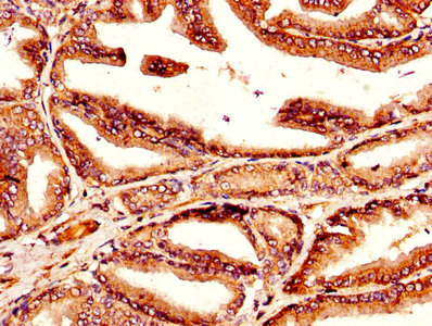
IHC image of CSB-PA023464LA01HU diluted at 1:300 and staining in paraffin-embedded human prostate tissue performed on a Leica BondTM system. After dewaxing and hydration, antigen retrieval was mediated by high pressure in a citrate buffer (pH 6.0). Section was blocked with 10% normal goat serum 30min at RT. Then primary antibody (1% BSA) was incubated at 4°C overnight. The primary is detected by a biotinylated secondary antibody and visualized using an HRP conjugated SP system.
-
Immunofluorescence staining of SH-SY5Y cells with CSB-PA023464LA01HU at 1:100, counter-stained with DAPI. The cells were fixed in 4% formaldehyde, permeabilized using 0.2% Triton X-100 and blocked in 10% normal Goat Serum. The cells were then incubated with the antibody overnight at 4°C. The secondary antibody was Alexa Fluor 488-congugated AffiniPure Goat Anti-Rabbit IgG(H+L).
-
-
其他:
產品詳情
-
產品名稱:Rabbit anti-Homo sapiens (Human) TGM4 Polyclonal antibody
-
Uniprot No.:
-
基因名:TGM4
-
別名:Dorsal prostate transglutaminase antibody; Dorsal protein 1 antibody; Dp1 antibody; Fibrinoligase antibody; hTGP antibody; Prostate specific transglutaminase antibody; Prostate transglutaminase antibody; Prostate-specific transglutaminase antibody; Protein glutamine gamma glutamyltransferase 4 antibody; Protein-glutamine gamma-glutamyltransferase 4 antibody; TG(P) antibody; TGase P antibody; TGase-4 antibody; TGase4 antibody; Tgm4 antibody; TGM4_HUMAN antibody; TGP antibody; Transglutaminase 4 (prostate) antibody; Transglutaminase 4 antibody; Transglutaminase P antibody; Transglutaminase, prostate antibody; Transglutaminase-4 antibody
-
宿主:Rabbit
-
反應種屬:Human
-
免疫原:Recombinant Human Protein-glutamine gamma-glutamyltransferase 4 protein (1-684AA)
-
免疫原種屬:Homo sapiens (Human)
-
標記方式:Non-conjugated
本頁面中的產品,TGM4 Antibody (CSB-PA023464LA01HU),的標記方式是Non-conjugated。對于TGM4 Antibody,我們還提供其他標記。見下表:
-
克隆類型:Polyclonal
-
抗體亞型:IgG
-
純化方式:>95%, Protein G purified
-
濃度:It differs from different batches. Please contact us to confirm it.
-
保存緩沖液:Preservative: 0.03% Proclin 300
Constituents: 50% Glycerol, 0.01M PBS, PH 7.4 -
產品提供形式:Liquid
-
應用范圍:ELISA, IHC, IF
-
推薦稀釋比:
Application Recommended Dilution IHC 1:200-1:500 IF 1:50-1:200 -
Protocols:
-
儲存條件:Upon receipt, store at -20°C or -80°C. Avoid repeated freeze.
-
貨期:Basically, we can dispatch the products out in 1-3 working days after receiving your orders. Delivery time maybe differs from different purchasing way or location, please kindly consult your local distributors for specific delivery time.
-
用途:For Research Use Only. Not for use in diagnostic or therapeutic procedures.
相關產品
靶點詳情
-
功能:Associated with the mammalian reproductive process. Catalyzes the cross-linking of proteins and the conjugation of polyamines to specific proteins in the seminal tract.
-
基因功能參考文獻:
- TGM4 is a prostatic secretory molecule with critical role in male reproduction. PMID: 26084804
- indicated that transglutaminase 4 may serve as a potential predictor of biochemical recurrence of prostate cancer PMID: 23974364
- Evidence that the retinoic acid receptor gamma plays a major role in the regulation of the hTGP gene and that presence of the androgen receptor, but not its transcriptional transactivation activity, is critical for hTGP transcription. PMID: 22362749
- CDKN2A, GATA3, CREBBP, ITGA2, NBL1 and TGM4 were down-regulated in the prostate carcinoma glands compared to the corresponding normal glands PMID: 21743959
- The presence of TGase-4 has a biological impact on a prostate cancer cell's response to MDA-7. PMID: 21524313
- TGase-4 expression is intrinsically linked to the activation of RON in prostate cancer cells and that this autoactivation of RON contributes to the increased cell motility in TGase-4 expressing cells. PMID: 20596668
- The expression status of human transglutaminase 4 in benign prostate hyperplasia (BPH) and prostate cancer was analyzed. PMID: 20177144
- transglutaminase 4 has a relatively wide profile of expression in human cancer cell lines PMID: 17552366
- TGase-4 plays a pivotal role in the interaction between endothelial cells and prostate cancer cells, an action which is independent of the ROCK pathway. PMID: 18983858
顯示更多
收起更多
-
蛋白家族:Transglutaminase superfamily, Transglutaminase family
-
組織特異性:Prostate.
-
數據庫鏈接:
Most popular with customers
-
-
YWHAB Recombinant Monoclonal Antibody
Applications: ELISA, WB, IHC, IF, FC
Species Reactivity: Human, Mouse, Rat
-
Phospho-YAP1 (S127) Recombinant Monoclonal Antibody
Applications: ELISA, WB, IHC
Species Reactivity: Human
-
-
-
-
-















