TFF2 Antibody
-
中文名稱:TFF2兔多克隆抗體
-
貨號:CSB-PA023432ESR2HU
-
規格:¥440
-
圖片:
-
其他:
產品詳情
-
產品名稱:Rabbit anti-Homo sapiens (Human) TFF2 Polyclonal antibody
-
Uniprot No.:
-
基因名:TFF2
-
別名:SML 1 antibody; SML1 antibody; SP antibody; Spasmolysin antibody; Spasmolytic polypeptide antibody; spasmolytic protein 1 antibody; TFF 2 antibody; TFF2 antibody; TFF2_HUMAN antibody; trefoil factor 2 (spasmolytic protein 1) antibody; Trefoil factor 2 antibody; Trefoil factor 2 precursor antibody
-
宿主:Rabbit
-
反應種屬:Human
-
免疫原:Recombinant Human Trefoil factor 2 protein (24-129AA)
-
免疫原種屬:Homo sapiens (Human)
-
標記方式:Non-conjugated
-
克隆類型:Polyclonal
-
抗體亞型:IgG
-
純化方式:Antigen Affinity Purified
-
濃度:It differs from different batches. Please contact us to confirm it.
-
保存緩沖液:PBS with 0.02% sodium azide, 50% glycerol, pH7.3.
-
產品提供形式:Liquid
-
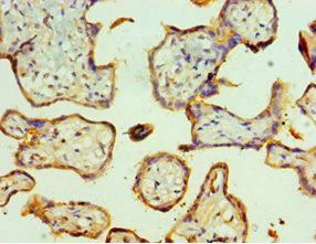
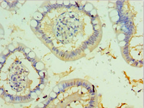
應用范圍:ELISA, IHC
-
推薦稀釋比:
Application Recommended Dilution IHC 1:20-1:200 -
Protocols:
-
儲存條件:Upon receipt, store at -20°C or -80°C. Avoid repeated freeze.
-
貨期:Basically, we can dispatch the products out in 1-3 working days after receiving your orders. Delivery time maybe differs from different purchasing way or location, please kindly consult your local distributors for specific delivery time.
-
用途:For Research Use Only. Not for use in diagnostic or therapeutic procedures.
相關產品
靶點詳情
-
功能:Inhibits gastrointestinal motility and gastric acid secretion. Could function as a structural component of gastric mucus, possibly by stabilizing glycoproteins in the mucus gel through interactions with carbohydrate side chains.
-
基因功能參考文獻:
- Data show that trefoil factor 2 (TFF2( urine levels continuously decreased with disease progression, TFF2 serum concentrations progressively increased from the early to later chronic kidney disease (CKD) stages, indicating changes in renal function and offering the potential to examine the course of CKD. PMID: 28355260
- this work reveals that TFF2 has tumor-suppressor activity, which may, in part, be regulated by SMAD4. PMID: 27523981
- Data show the important functions of TFF2 in the gastric mucus barrier, mucus epithelia, immune system, central nervous system, and during fertilization. It has been shown to interact with the gastric mucin MUC6. [Review] PMID: 26201258
- We reproducibly associate higher expression of the ligand-receptor axis of TFF2 and CXCR4 with BRAF V600E-mutant colon cancer PMID: 25899003
- protease-activated receptor 4 and Trefoil factor 2 are expressed in human colorectal cancer PMID: 25876034
- The structural features of the N-linked N,N'-di-N-acetyllactosediamine-inducing determinant on human TFF2 are discussed. PMID: 25210040
- Human TTF2 is a lectin that binds alpha-GlcNAc-capped mucin 6 g with antibiotic activity against Helicobacter pylori. PMID: 25124036
- Significantly higher levels of TFF2 were in patients with Multiple Organ Dysfunction Syndrome. PMID: 23628371
- There is an association between TFF2 and TFF3 polymorphisms and risk of atrophic gastritis and gastric cancer in Chinese people. PMID: 23933418
- Human gastric TFF2 peptide contains an N-linked fucosylated N,N'-diacetyllactosediamine (LacdiNAc) oligosaccharide PMID: 22997242
- Report TFF2 expression in normal/diseased pancreas and suggest role in tumor cell migration. PMID: 22286382
- Report a novel TFF2 splice variant (EX2TFF2) which correlates with longer overall survival time in cholangiocarcinoma. PMID: 22159958
- TFF2 messenger RNA expression is significantly increased in nasal mucosal brushings during asthma exacerbations in children. PMID: 22329990
- Data show that frog TFF2 activates protease-activated receptor (PAR) 1 to induce human platelet aggregation, and suggest that human TFF2 promotes cell migration via PAR4. PMID: 21461878
- TFF2 is mitogenic in cholangiocarcinoma via EGFR/MAPK activation. PMID: 21472131
- TFF2 negatively regulates preneoplastic progression and subsequent tumor development in the stomach, a role that is subverted by promoter methylation during H pylori infection PMID: 20801119
- autoinduction of promoter requires an upstream cis-acting element PMID: 12054609
- Transcripts not detectable in conjunctiva. Review. PMID: 12613926
- expression of TFF2 and Helicobacter pylori infection in carcinogenesis of gastric mucosa PMID: 12717829
- The results suggest that TFF2 expression may play a role in gastric cancer invasion and could be a useful target for therapeutic intervention. PMID: 13679442
- PPARgamma mediates NSAIDs-induced up-regulation of TFF2 expression in gastric epithelial cells. PMID: 14759512
- TFF2 and its putative receptor, DMBT1, were expressed non-specifically in biliary epithelial cells of the damaged small bile ducts, suggesting a cytoprotective role in biliary pathophysiology. PMID: 15101998
- TFF2 could play a role in mammary gland tumorigenesis. PMID: 15177880
- TFF2 is expressed in normal and malignant breast epithelial cells and it stimulates the migration of breast cancer cells. PMID: 15177883
- Epidermal growth factor and trefoil factor family 2 synergistically trigger chemotaxis on BEAS-2B cells via different signaling cascades PMID: 15256384
- Demonstration that TFF2 rhythm is impaired in cohorts of individuals known to suffer gastric symptoms suggests that interventions to restore the normal TFF2 rhythm in those with poor mucosal protection could reduce morbidity. PMID: 15984970
- TFF2 staining was detected in large, diffuse tumors and in tumors with lymph node metastasis and had a significant correlation with the number of microvessels. PMID: 16166422
- human pancreatic polypeptide inhibits TFF2 secretion in a diurnal rhythm PMID: 16359755
- Co-localization of TFF2 with gland mucous cell mucin suggests a physical interaction between TFF2 and gland mucous cell mucin. The TFF2 trapped in the adherent mucins may be responsible for mucosal defense, healing, and repair. PMID: 16786324
- PPARgamma may be involved in the gastric mucosal defense through regulating TFF2 expression PMID: 17118693
- Gastrin regulates TFF2 transcription through a GC-rich DNA-binding site and a protein kinase dependent pathway. PMID: 17332476
- CXCR4 as a bona fide signaling receptor for TFF2 and suggest a mechanism through which TFF2 may modulate immune and tumorigenic responses in vivo. PMID: 19064997
- The researchers found evidence that H. pylori-associated CAG has a negative effect on the expression of TFF2 in the gastric antrum and may be associated with H. pylori-induced gastric mucosal damage. PMID: 19344006
- p53 induces cell apoptosis and inhibits cell migration in part by downregulating TFF2 expression through an AP-1-like site, suggesting that TFF2 may be an important downstream target of p53. PMID: 19541923
顯示更多
收起更多
-
亞細胞定位:Secreted.
-
組織特異性:Stomach.
-
數據庫鏈接:
Most popular with customers
-
-
YWHAB Recombinant Monoclonal Antibody
Applications: ELISA, WB, IHC, IF, FC
Species Reactivity: Human, Mouse, Rat
-
Phospho-YAP1 (S127) Recombinant Monoclonal Antibody
Applications: ELISA, WB, IHC
Species Reactivity: Human
-
-
-
-
-















