TFCP2 Antibody
-
中文名稱:TFCP2兔多克隆抗體
-
貨號:CSB-PA621517DSR1HU
-
規格:¥440
-
圖片:
-
Western blot
All lanes: TFCP2 antibody at 1.34μg/ml
Lane 1: K562 whole cell lysate
Lane 2: Mouse spleen tissue
Lane 3: THP-1 whole cell lysate
Secondary
Goat polyclonal to rabbit IgG at 1/10000 dilution
Predicted band size: 58, 52 kDa
Observed band size: 52 kDa -
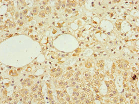
Immunohistochemistry of paraffin-embedded human adrenal gland tissue using CSB-PA621517DSR1HU at dilution of 1:100
-
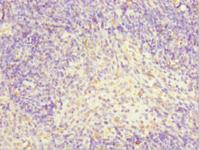
Immunohistochemistry of paraffin-embedded human thymus tissue using CSB-PA621517DSR1HU at dilution of 1:100
-
-
其他:
產品詳情
-
產品名稱:Rabbit anti-Homo sapiens (Human) TFCP2 Polyclonal antibody
-
Uniprot No.:
-
基因名:TFCP2
-
別名:Alpha globin transcription factor CP2 antibody; Alpha-globin transcription factor CP2 antibody; CP2 antibody; Late SV40 factor antibody; LBP 1C antibody; LBP1C antibody; LSF antibody; LSF1D antibody; SAA3 enhancer factor antibody; SEF antibody; TFCP2 antibody; TFCP2_HUMAN antibody; TFCP2C antibody; Transcription factor CP2 antibody; Transcription factor LSF antibody
-
宿主:Rabbit
-
反應種屬:Human, Mouse
-
免疫原:Recombinant Human Alpha-globin transcription factor CP2 protein (1-280AA)
-
免疫原種屬:Homo sapiens (Human)
-
標記方式:Non-conjugated
-
克隆類型:Polyclonal
-
抗體亞型:IgG
-
純化方式:Antigen Affinity Purified
-
濃度:It differs from different batches. Please contact us to confirm it.
-
保存緩沖液:PBS with 0.02% sodium azide, 50% glycerol, pH7.3.
-
產品提供形式:Liquid
-
應用范圍:ELISA, WB, IHC
-
推薦稀釋比:
Application Recommended Dilution WB 1:1000-1:5000 IHC 1:20-1:200 -
Protocols:
-
儲存條件:Upon receipt, store at -20°C or -80°C. Avoid repeated freeze.
-
貨期:Basically, we can dispatch the products out in 1-3 working days after receiving your orders. Delivery time maybe differs from different purchasing way or location, please kindly consult your local distributors for specific delivery time.
-
用途:For Research Use Only. Not for use in diagnostic or therapeutic procedures.
相關產品
靶點詳情
-
功能:Binds a variety of cellular and viral promoters including fibrinogen, alpha-globin, SV40 and HIV-1 promoters. Activation of the alpha-globin promoter in erythroid cells is via synergistic interaction with UBP1. Functions as part of the SSP (stage selector protein) complex. Facilitates the interaction of the gamma-globin genes with enhancer elements contained in the locus control region in fetal erythroid cells. Interacts by binding to the stage selector element (SSE) in the proximal gamma-globin promoter.
-
基因功能參考文獻:
- TFCP2 signaling is regulated by circular RNA hsa_circ_0023404 in the cervical cancer. PMID: 29738762
- TFCP2 acts as a transcription co-factor that stimulates YAP transcription by facilitating YAP binding with YAP binding motif (YBF)-containing transcription factors. PMID: 29091762
- High expression of CP2c was significantly correlated with patient age, and higher histological grade, stage, and small and large vessel invasion in HCC tissues. PMID: 28412749
- FQI1 mediates alteration of the tumor epigenome by DNMT1-LSF complex disruption, leading to aberrant DNA methylation and gene expression. PMID: 27845898
- The results suggest potential roles of LSF (TFCP2 ) as a growth regulator through control of the transcription of p21CIP1 in melanocytes and melanoma cells as well as a biomarker for nevus. PMID: 26506241
- Complement proteins C7 and CFH control the stemness of liver cancer cells via LSF-1 pathway. PMID: 26723877
- LSF is an important mediator in colorectal carcinoma tumorigenesis and progression, and LSF expression is an important index for and prognostic prediction. PMID: 25337247
- Antiproliferative small-molecule inhibitors of transcription factor LSF reveal oncogene addiction to LSF in hepatocellular carcinoma PMID: 22396589
- Inhibition of MMP-9 significantly abrogated LSF-induced angiogenesis as well as in vivo tumorigenesis, thus reinforcing the role of MMP-9 in facilitating LSF function. PMID: 22167195
- Data suggest that LSF is a key mediator of the Notch1 signaling pathway, suggesting that it might be a novel therapeutic target for the treatment of hepatocellular carcinoma. PMID: 21876634
- Study show that CRTR-1 is generally an activator of transcription and that it modulates the activity of other family members, CP2, NF2d9 and altNF2d9, in a cell specific manner. PMID: 20661472
- The expression of osteopontin (OPN), a gene regulating every step in tumor progression and metastasis, was robustly up-regulated by LSF. PMID: 20404171
- The human PcG protein dinG interacts with CP2, a mammalian member of the grainyhead-like family of transcription factors, in vitro and in vivo. The functional consequence of this interaction is repression of CP2-dependent transcription PMID: 11865070
- Mutation of a transcription factor, TFCP2L3, causes progressive autosomal dominant hearing loss, DFNA28 PMID: 12393799
- Case control study indicates LSF polymorphism may have a moderate protective effect against the risk of Alzheimer's disease. PMID: 12555245
- CP2 is a major factor in the regulation of globin expression in human and mouse erythroid cells, and CP2 binding to the globin gene promoter is essential for the enhanced transcription of globin genes in erythroid differentiation. PMID: 12661759
- LBP-1c/CP2/LSF may have a role in Alzheimer's disease PMID: 16272261
- The functional interaction of CP2 with GATA1 in the regulation of erythroid promoters was studied. PMID: 16648487
- CP2/LBP-1c/LSF as a factor that likely mediates enhanced transcription of GARS-AIRS-GART in Down syndrome-related Alzheimer disease. PMID: 17902044
- a novel mechanism by which RNF2 and PHB2 modulate the CP2-mediated transcriptional pathway. PMID: 18629613
- The protein structure prediction of CP2 family in order to elucidate the molecular mechanism of the CP2-directed regulation of gene expression. PMID: 18787404
- Activates Exon 1 Enhancer of Pax6 along with Sp1 PMID: 11574690
- Positively regulates Serum Amyloid A3 (SAA3). Identified as SAA3 Enhancer Factor (SEF). PMID: 10455131
顯示更多
收起更多
-
亞細胞定位:Nucleus.
-
蛋白家族:Grh/CP2 family, CP2 subfamily
-
組織特異性:Ubiquitous. Expressed in brain, ovary, kidney, thymus, spleen, liver, adrenal, heart and lung (at protein level).
-
數據庫鏈接:
Most popular with customers
-
-
YWHAB Recombinant Monoclonal Antibody
Applications: ELISA, WB, IHC, IF, FC
Species Reactivity: Human, Mouse, Rat
-
Phospho-YAP1 (S127) Recombinant Monoclonal Antibody
Applications: ELISA, WB, IHC
Species Reactivity: Human
-
-
-
-
-















