TESK2 Antibody
-
中文名稱:TESK2兔多克隆抗體
-
貨號:CSB-PA839412ESR1HU
-
規格:¥440
-
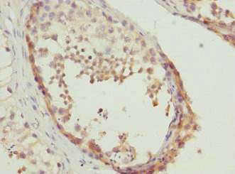
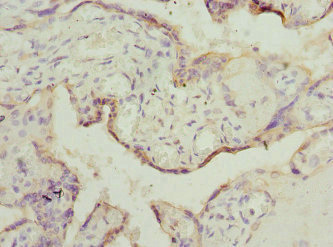
圖片:
-
其他:
產品詳情
-
產品名稱:Rabbit anti-Homo sapiens (Human) TESK2 Polyclonal antibody
-
Uniprot No.:
-
基因名:TESK2
-
別名:Dual specificity testis specific protein kinase 2 antibody; Dual specificity testis-specific protein kinase 2 antibody; MGC29168 antibody; OTTHUMP00000009093 antibody; RP23-109A3.2 antibody; Tesk2 antibody; TESK2_HUMAN antibody; Testicular protein kinase 2 antibody; Testis specific kinase 2 antibody
-
宿主:Rabbit
-
反應種屬:Human
-
免疫原:Recombinant Human Dual specificity testis-specific protein kinase 2 protein (302-571AA)
-
免疫原種屬:Homo sapiens (Human)
-
標記方式:Non-conjugated
-
克隆類型:Polyclonal
-
抗體亞型:IgG
-
純化方式:Antigen Affinity Purified
-
濃度:It differs from different batches. Please contact us to confirm it.
-
保存緩沖液:PBS with 0.02% sodium azide, 50% glycerol, pH7.3.
-
產品提供形式:Liquid
-
應用范圍:ELISA, IHC
-
推薦稀釋比:
Application Recommended Dilution IHC 1:20-1:200 -
Protocols:
-
儲存條件:Upon receipt, store at -20°C or -80°C. Avoid repeated freeze.
-
貨期:Basically, we can dispatch the products out in 1-3 working days after receiving your orders. Delivery time maybe differs from different purchasing way or location, please kindly consult your local distributors for specific delivery time.
-
用途:For Research Use Only. Not for use in diagnostic or therapeutic procedures.
相關產品
靶點詳情
-
功能:Dual specificity protein kinase activity catalyzing autophosphorylation and phosphorylation of exogenous substrates on both serine/threonine and tyrosine residues. Phosphorylates cofilin at 'Ser-3'. May play an important role in spermatogenesis.
-
亞細胞定位:Nucleus.
-
蛋白家族:Protein kinase superfamily, TKL Ser/Thr protein kinase family
-
組織特異性:Predominantly expressed in testis and prostate. Found predominantly in non-germinal Sertoli cells.
-
數據庫鏈接:
Most popular with customers
-
-
YWHAB Recombinant Monoclonal Antibody
Applications: ELISA, WB, IHC, IF, FC
Species Reactivity: Human, Mouse, Rat
-
Phospho-YAP1 (S127) Recombinant Monoclonal Antibody
Applications: ELISA, WB, IHC
Species Reactivity: Human
-
-
-
-
-















