TENM1 Antibody
-
中文名稱:TENM1兔多克隆抗體
-
貨號:CSB-PA892339LA01HU
-
規格:¥440
-
圖片:
-
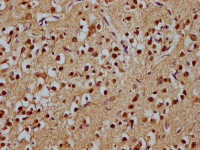
IHC image of CSB-PA892339LA01HU diluted at 1:100 and staining in paraffin-embedded human brain tissue performed on a Leica BondTM system. After dewaxing and hydration, antigen retrieval was mediated by high pressure in a citrate buffer (pH 6.0). Section was blocked with 10% normal goat serum 30min at RT. Then primary antibody (1% BSA) was incubated at 4°C overnight. The primary is detected by a biotinylated secondary antibody and visualized using an HRP conjugated SP system.
-
-
其他:
產品詳情
-
產品名稱:Rabbit anti-Homo sapiens (Human) TENM1 Polyclonal antibody
-
Uniprot No.:
-
基因名:
-
別名:TENM1 antibody; ODZ1 antibody; TNM1 antibody; Teneurin-1 antibody; Ten-1 antibody; Protein Odd Oz/ten-m homolog 1 antibody; Tenascin-M1 antibody; Ten-m1 antibody; Teneurin transmembrane protein 1) [Cleaved into: Ten-1 intracellular domain antibody; IDten-1 antibody; Ten-1 ICD); Teneurin C-terminal-associated peptide antibody; TCPA-1 antibody; Ten-1 extracellular domain antibody; Ten-1 ECD)] antibody
-
宿主:Rabbit
-
反應種屬:Human
-
免疫原:Recombinant Human Teneurin-1 protein (1-241AA)
-
免疫原種屬:Homo sapiens (Human)
-
標記方式:Non-conjugated
本頁面中的產品,TENM1 Antibody (CSB-PA892339LA01HU),的標記方式是Non-conjugated。對于TENM1 Antibody,我們還提供其他標記。見下表:
-
克隆類型:Polyclonal
-
抗體亞型:IgG
-
純化方式:Antigen Affinity Purified
-
濃度:It differs from different batches. Please contact us to confirm it.
-
保存緩沖液:Preservative: 0.03% Proclin 300
Constituents: 50% Glycerol, 0.01M PBS, pH 7.4 -
產品提供形式:Liquid
-
應用范圍:ELISA, IHC
-
推薦稀釋比:
Application Recommended Dilution IHC 1:20-1:200 -
Protocols:
-
儲存條件:Upon receipt, store at -20°C or -80°C. Avoid repeated freeze.
-
貨期:Basically, we can dispatch the products out in 1-3 working days after receiving your orders. Delivery time maybe differs from different purchasing way or location, please kindly consult your local distributors for specific delivery time.
-
用途:For Research Use Only. Not for use in diagnostic or therapeutic procedures.
相關產品
靶點詳情
-
功能:Involved in neural development, regulating the establishment of proper connectivity within the nervous system. May function as a cellular signal transducer.; Plays a role in the regulation of neuroplasticity in the limbic system. Mediates a rapid reorganization of actin- and tubulin-based cytoskeleton elements with an increase in dendritic arborization and spine density formation of neurons in the hippocampus and amygdala. Induces BDNF transcription inhibition in neurons. Activates the mitogen-activated protein (MAP) kinase 2 (MEK2) and extracellular signal-regulated kinase (ERK) cascade. Acts also as a bioactive neuroprotective peptide on limbic neurons of the brain and regulates stress-induced behavior: attenuates alkalosis-associated necrotic cell death and the effects of corticotropin-releasing factor (CRF) on c-fos/FOS induction and on the reinstatement of cocaine seeking.; Induces gene transcription activation.
-
基因功能參考文獻:
- Taken together, the results indicate that distinct pathways are involved in papillary thyroid cancer progression, and TENM1 is a potential marker of cancer progression. PMID: 28004221
- ODZ1, a protein that participates in the embryonic development of the brain, is also involved in cancer progression by promoting the growth and invasion capabilities of GSCs via a transcriptional pathway that induces the expression of RhoA and activation of downstream ROCK. PMID: 27641332
- Results of our study, that describes a new Tenm1 mouse, agree with the hypothesis that TENM1 has a role in olfaction. However, additional studies should be done in larger Congenital general anosmia (CGA) cohorts, to provide statistical evidence that loss-of-function mutations in TENM1 can solely cause the disease in our and other CGA cases PMID: 27040985
- Data suggest teneurin-1/TENM1 (and possibly TENM3) undergoes proteolysis to TCAPs (teneurin C-terminal associated peptides) that form intercellular adhesive units with latrophilin; signaling via TENM1 TCAPs appears to regulate reproduction. [REVIEW] PMID: 26485751
- This study identified predicted pathogenic, hemizygous variants on chromosome X in disease genes TENM1. PMID: 25666757
- Studies indicate that teneurin-1 has been suggested as a candidate target gene for X-lined mental retardation. PMID: 25152333
- The teneurin-1 intracellular domain binds HINT1, thus switching on MITF-dependent transcription of GPNMB. PMID: 25648896
- Subsequent analysis showed that the deletion in both cousins was identical and involved the whole SH2D1A gene and a part of the adjacent ODZ1 gene. PMID: 22271700
- Data show that human teneurin-1 is directly regulated by EMX2 at a conserved promoter region upstream of the transcription start site, and identify and characterize the EMX2 dependent promoter element of human teneurin-1. PMID: 21651764
- teneurin-1 plays a role in intracellular signaling PMID: 15777793
顯示更多
收起更多
-
亞細胞定位:Cell membrane; Single-pass membrane protein.; [Ten-1 intracellular domain]: Nucleus. Nucleus speckle. Nucleus matrix. Cytoplasm, cytoskeleton.; [Teneurin C-terminal-associated peptide]: Nucleus. Cytoplasm. Cell membrane.
-
蛋白家族:Tenascin family, Teneurin subfamily
-
組織特異性:Expressed in fetal brain.
-
數據庫鏈接:
Most popular with customers
-
YWHAB Recombinant Monoclonal Antibody
Applications: ELISA, WB, IHC, IF, FC
Species Reactivity: Human, Mouse, Rat
-
Phospho-YAP1 (S127) Recombinant Monoclonal Antibody
Applications: ELISA, WB, IHC
Species Reactivity: Human
-
-
-
-
-
-















