TDP1 Antibody
-
中文名稱:TDP1兔多克隆抗體
-
貨號:CSB-PA023352ESR1HU
-
規格:¥440
-
圖片:
-
Western blot
All lanes: Tyrosyl-DNA phosphodiesterase 1 antibody at 8μg/ml
Lane 1: MCF-7 whole cell lysate
Lane 2: Mouse lung tissue
Lane 3: Rat brain tissue
Secondary
Goat polyclonal to rabbit IgG at 1/10000 dilution
Predicted band size: 69, 42 kDa
Observed band size: 69 kDa -
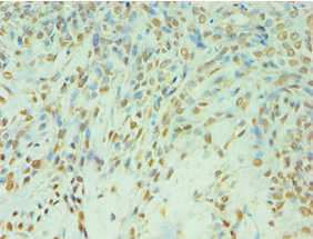
Immunohistochemistry of paraffin-embedded human breast cancer using CSB-PA023352ESR1HU at dilution of 1:100
-
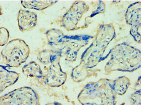
Immunohistochemistry of paraffin-embedded human placenta tissue using CSB-PA023352ESR1HU at dilution of 1:100
-
-
其他:
產品詳情
-
產品名稱:Rabbit anti-Homo sapiens (Human) TDP1 Polyclonal antibody
-
Uniprot No.:
-
基因名:TDP1
-
別名:AI838772 antibody; AW493413 antibody; FLJ11090 antibody; MGC104252 antibody; MGC112732 antibody; RP24-311F12.2 antibody; SCAN1 antibody; TDP1 antibody; TYDP antibody; TYDP1_HUMAN antibody; Tyr-DNA phosphodiesterase 1 antibody; Tyrosyl-DNA phosphodiesterase 1 antibody
-
宿主:Rabbit
-
反應種屬:Human, Mouse, Rat
-
免疫原:Recombinant Human Tyrosyl-DNA phosphodiesterase 1 protein (1-260AA)
-
免疫原種屬:Homo sapiens (Human)
-
標記方式:Non-conjugated
-
克隆類型:Polyclonal
-
抗體亞型:IgG
-
純化方式:Antigen Affinity Purified
-
濃度:It differs from different batches. Please contact us to confirm it.
-
保存緩沖液:PBS with 0.02% sodium azide, 50% glycerol, pH7.3.
-
產品提供形式:Liquid
-
應用范圍:ELISA, WB, IHC, IP
-
推薦稀釋比:
Application Recommended Dilution WB 1:200-1:2000 IHC 1:20-1:200 IP 1:200-1:2000 -
Protocols:
-
儲存條件:Upon receipt, store at -20°C or -80°C. Avoid repeated freeze.
-
貨期:Basically, we can dispatch the products out in 1-3 working days after receiving your orders. Delivery time maybe differs from different purchasing way or location, please kindly consult your local distributors for specific delivery time.
-
用途:For Research Use Only. Not for use in diagnostic or therapeutic procedures.
相關產品
靶點詳情
-
功能:DNA repair enzyme that can remove a variety of covalent adducts from DNA through hydrolysis of a 3'-phosphodiester bond, giving rise to DNA with a free 3' phosphate. Catalyzes the hydrolysis of dead-end complexes between DNA and the topoisomerase I active site tyrosine residue. Hydrolyzes 3'-phosphoglycolates on protruding 3' ends on DNA double-strand breaks due to DNA damage by radiation and free radicals. Acts on blunt-ended double-strand DNA breaks and on single-stranded DNA. Has low 3'exonuclease activity and can remove a single nucleoside from the 3'end of DNA and RNA molecules with 3'hydroxyl groups. Has no exonuclease activity towards DNA or RNA with a 3'phosphate.
-
基因功能參考文獻:
- The role of conserved residues Y204, F259, S400 and W590 of the catalytic groove of TDP1 protein DNA cleavage activity was analyzed. PMID: 29747024
- We found the rs942190 GG genotype of TDP1 to be associated with relatively poor survival among small-cell lung cancer patients. Further investigation is needed to confirm the result and to determine whether this genotype may be a predictive marker for treatment efficacy of DNA topoisomerase inhibitors PMID: 28974547
- this study identifies the importance of TDP1 as a novel determinant of response to CNDAC across various cancer types (especially non-small cell lung cancers), and demonstrates the differential involvement of BRCA2, PARP1, and TDP1 in the cellular responses to CNDAC, AraC, and CPT PMID: 28802254
- Data indicate that the initial step of tyrosyl-DNA phosphodiesterase 1 (Tdp1) interaction with DNA includes binding of Tdp1 to the DNA ends followed by the 3'-nucleosidase reaction. PMID: 27687298
- Data indicate a molecular basis for DNA 3'-end processing by tyrosyl-DNA phosphodiesterase (Tdp1). PMID: 29295983
- Expression of human Tdp1HisnucAla and Tdp1HisgabAsn mutants results in stabilization of the covalent TDP1-DNA intermediate and induces cytotoxicity. PMID: 27893431
- We show that two genes, TDP1, a tyrosyl-DNA-phosphdiesterase, and TAF12, an RNA polymerase II TATA-box binding factor, cause CIN when overexpressed in human cells. Using SDL screens in yeast, we identified a set of genes that when deleted specifically kill cells with high levels of Tdp1 PMID: 27551064
- TDP1 participation in human non-homologous end joining (NHEJ) is mediated by interaction with XLF, and that TDP1-XLF interactions and subsequent NHEJ events are regulated by phosphorylation of TDP1-S81. PMID: 29078113
- The data obtained suggest that PARP1 and TDP1 bind in an antiparallel orientation; the N-terminus of the former protein interacts with the C-terminal domain of the latter. PMID: 26181362
- Tyrosyl-DNA-phosphodiesterase I (TDP1) participates in the removal and repair of stabilized-Top2alpha cleavage complexes in human cells. PMID: 26421495
- varying expression levels of TOP1 and TDP1 polypeptides in multiple colorectal cancer cell lines and in clinical colorectal cancer samples, are reported. PMID: 25522766
- both TOP1 and TDP1 were upregulated in the tumor tissue compared to the adjacent non-tumor tissue in non-small cell lung cancer tissue PMID: 25987486
- Density functional theory computations are used to acquire thermodynamic and kinetic data along the catalytic pathway, including the phosphoryl transfers of Tdp1 and subsequent hydrolysis. PMID: 26121557
- TDP1 plays a role during the early stages of mammalian NHEJ. TPD1 stimulated DNA binding by XLF. TDP1 also promoted DNA binding by Ku70/80 and stimulated DNA-PK activity. PMID: 25841101
- These findings suggest that the flexibility of Tdp1 active site residues may impair the resolution of mutant Tdp1 covalent phosphohistidyl intermediates PMID: 25609251
- This article summarizes and compares the biochemistry, functions, and post-translational regulation of TDP1 and TDP2, as well as the relevance of TDP1 and TDP2 as determinants of response to anticancer agents PMID: 24856239
- Data provides insights into the possible inactivation of TDP1 in cancers and its relationship to cellular response to Top1-targeted drugs. PMID: 24355542
- Results show Tdp1 catalyzes hydrolysis of apurinic/apyrimidinic site analog correlates with the DNA helix distortion induced by the substituent. PMID: 24183900
- marked overexpression of TDP1 protein and mRNA in rhabdomyosarcoma tumors was observed; results suggest a compensatory role for TDP1 in rhabdomyosarcoma after topoisomerase-I based therapy PMID: 23913164
- TDP1 deficiency sensitizes human cells to base damage, independently of apurinic/apyrimidinic endonuclease I (APE1). PMID: 24335147
- These studies suggest that one role of cytoplasmic Tdp1 is the repair of mitochondrial DNA lesions arising from oxidative stress. PMID: 23536040
- A polymorphism at position rs28365054 in the TDP1 gene had a significant difference (P < 0.05) in the genotype distributions between the Tourette syndrome patients and the control group PMID: 23852793
- study identifies TDP1 as a target for modification by the small ubiquitin-like modifier SUMO and provides evidence implicating SUMOylation in facilitating TDP1 cellular function during single-strand break repair PMID: 22415824
- Our findings reveal a broad involvement of Tdp1 in DNA repair and clarify the role of human TDP1 in the repair of Top2-induced DNA damage. PMID: 22375014
- Analysis of the active-site mechanism of tyrosyl-DNA phosphodiesterase I. PMID: 22155078
- topoisomerase 1, tyrosyl-DNA phosphodiesterase 1, and single-strand break repair modulate transcription-dependent CAG repeat contractions PMID: 21628532
- Study investigates substrate specificity of Tdp1; data suggest a role for Tdp1 in a new APE-independent base excision repair pathway. PMID: 21276450
- These findings provide evidence for TDP1 as a novel mitochondrial enzyme. PMID: 21041670
- results suggest human Tdp1 may act using a scanning mechanism, in which Tdp1 bind non-specifically upstream of a 3'-blocking lesion and is preferentially stabilized at 3'-DNA ends corresponding to its site of action. PMID: 20097655
- The interaction with Lig3alpha is promoted by serine 81 that is located within a putative S/TQ site in the N-terminus domain of TDP1. PMID: 20009512
- TDP1 phosphorylation at serine residue 81 promotes cell survival and DNA repair in response to carnitine O-palmitoyltransferase-induced DNA double-strand breaks. PMID: 19851285
- 1.69 A crystal structure of human tyrosyl-DNA phosphodiesterase PMID: 11839309
- a role for hTdp1 in repair of free radical-mediated DNA double strand breaks bearing terminally blocked 3' overhangs. PMID: 12023295
- loss-of-function mutations in TDP1 may cause spinocerebellar ataxia with axonal neuropathy either by interfering with DNA transcription or by inducing apoptosis in postmitotic neurons PMID: 12244316
- We report the three-dimensional structures of human Tdp1 bound to the phosphate transition state analogs vanadate and tungstate PMID: 12470949
- conserved sequences and amino acids important for catalytic activity and enzyme specificity were identified PMID: 15248776
- TDP1 is required for the repair of topoisomerase I-mediated DNA damage and may have a role in the repair of DNA damage mediated by topoisomerase II PMID: 15494395
- The role of TDP1 in 3'-phosphoglycolate processing during in vitro end joining of DNA double-strand breaks. PMID: 15647511
- Tdp1 only acts upon double strand breaks in vivo PMID: 15811850
- inhibitors of Tdp1 could act synergistically with camptothecin in anticancer therapy PMID: 15920477
- Tdp1 may function to remove a variety of 3' adducts from DNA during DNA repair PMID: 16141202
- TDP1 has a role in DNA single-strand break repair and neurodegeneration [review] PMID: 16775218
- it is proposed that Tdp1 is involved in the repair of Top1 cleavage complexes associated with transcription damage in hereditary spinocerebellar ataxia with axonal neuropathy (SCAN1) cells PMID: 16935573
- TDP1 is also required for the repair of single stranded breaks induced by ionizing radiation (IR), though not measurably for IR-induced DNA double-strand breaks PMID: 17600775
- Data show that mutation of a conserved active site residue converts tyrosyl-DNA phosphodiesterase I into a DNA topoisomerase I-dependent poison. PMID: 17707402
- This study provides a direct demonstration that Tdp1 repairs Topo I covalent lesions in vivo and suggests that spinocerebellar ataxia with axonal neuropathy (SCAN1) arises from the recessive neomorphic mutation H493R. PMID: 17948061
- TDP1 can gain access to and can process blocked 3' termini of double-strand breaks before ends are fully sequestered by DNA-PK, as well as at a later stage after DNA-PK autophosphorylation. PMID: 19505854
- Sequences nearly identical to FLJ11090 are highly homologous to the yeast TDP1 gene. Tdp1 protein cleaves the linkage between a phosphotyrosyl group and the 3'-end of DNA, and has been shown to be involved in the repair of TOP1-induced DNA damage. PMID: 10521354
- Protein assay of expressed FLJ11090 shows that it encodes human tyrosyl-DNA phodphodiesterase (TDP1). PMID: 11572945
顯示更多
收起更多
-
相關疾病:Spinocerebellar ataxia, autosomal recessive, with axonal neuropathy (SCAN1)
-
亞細胞定位:Nucleus. Cytoplasm.
-
蛋白家族:Tyrosyl-DNA phosphodiesterase family
-
組織特異性:Ubiquitously expressed. Similar expression throughout the central nervous system (whole brain, amygdala, caudate nucleus, cerebellum, cerebral cortex, frontal lobe, hippocampus, medulla oblongata, occipital lobe, putamen, substantia nigra, temporal lobe,
-
數據庫鏈接:
Most popular with customers
-
-
YWHAB Recombinant Monoclonal Antibody
Applications: ELISA, WB, IHC, IF, FC
Species Reactivity: Human, Mouse, Rat
-
Phospho-YAP1 (S127) Recombinant Monoclonal Antibody
Applications: ELISA, WB, IHC
Species Reactivity: Human
-
-
-
-
-















