TCIM Antibody
-
中文名稱:TCIM兔多克隆抗體
-
貨號:CSB-PA882079ESR1HU
-
規格:¥440
-
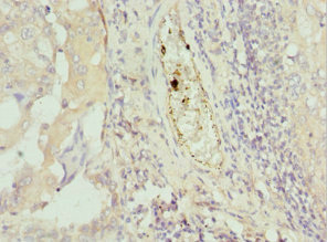
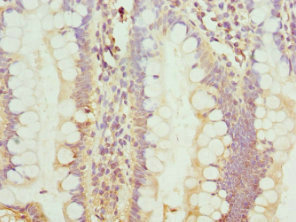
圖片:
-
其他:
產品詳情
-
產品名稱:Rabbit anti-Homo sapiens (Human) TCIM Polyclonal antibody
-
Uniprot No.:
-
基因名:TCIM
-
別名:C8orf4 antibody; CH004_HUMAN antibody; Chromosome 8 open reading frame 4 antibody; Human thyroid cancer 1 antibody; MGC22806 antibody; TC-1 antibody; TC1 antibody; Thyroid cancer protein 1 antibody; Uncharacterized protein C8orf4 antibody
-
宿主:Rabbit
-
反應種屬:Human
-
免疫原:Recombinant Human Transcriptional and immune response regulator protein (1-106AA)
-
免疫原種屬:Homo sapiens (Human)
-
標記方式:Non-conjugated
-
克隆類型:Polyclonal
-
抗體亞型:IgG
-
純化方式:Antigen Affinity Purified
-
濃度:It differs from different batches. Please contact us to confirm it.
-
保存緩沖液:PBS with 0.02% sodium azide, 50% glycerol, pH7.3.
-
產品提供形式:Liquid
-
應用范圍:ELISA, IHC
-
推薦稀釋比:
Application Recommended Dilution IHC 1:20-1:200 -
Protocols:
-
儲存條件:Upon receipt, store at -20°C or -80°C. Avoid repeated freeze.
-
貨期:Basically, we can dispatch the products out in 1-3 working days after receiving your orders. Delivery time maybe differs from different purchasing way or location, please kindly consult your local distributors for specific delivery time.
-
用途:For Research Use Only. Not for use in diagnostic or therapeutic procedures.
相關產品
靶點詳情
-
功能:Seems to be involved in the regulation of cell growth an differentiation, may play different and opposite roles depending on the tissue or cell type. May enhance the WNT-CTNNB1 pathway by relieving antagonistic activity of CBY1. Enhances the proliferation of follicular dendritic cells. Plays a role in the mitogen-activated MAPK2/3 signaling pathway, positively regulates G1-to-S-phase transition of the cell cycle. In endothelial cells, enhances key inflammatory mediators and inflammatory response through the modulation of NF-kappaB transcriptional regulatory activity. Involved in the regulation of heat shock response, seems to play a positive feedback with HSF1 to modulate heat-shock downstream gene expression. Plays a role in the regulation of hematopoiesis even if the mechanisms are unknown. In cancers such as thyroid or lung cancer, it has been described as promoter of cell proliferation, G1-to-S-phase transition and inhibitor of apoptosis. However, it negatively regulates self-renewal of liver cancer cells via suppresion of NOTCH2 signaling.
-
基因功能參考文獻:
- Identified a new circRNA, circZFR, that was significantly upregulated in papillary thyroid carcinoma (PTC). CircZFR could promote C8orf4 expression via serving as a competing endogenous RNA of miR-1261 in PTC cells. Rescue assays indicated that restoration of C8orf4 significantly attenuated the inhibitory effects of circZFR knockdown on PTC cell proliferation, migration and invasion. PMID: 29842886
- Decreased capacity of fibrotic lung fibroblasts to up-regulate COX-2 expression and COX-2-derived PGE2 synthesis is due to an indirect epigenetic mechanism involving hypermethylation of the transcriptional regulator, c8orf4. PMID: 26744410
- C8orf4 negatively regulates the self-renewal of liver CSCs via suppression of NOTCH2 signalling PMID: 25985737
- the high expression of TC1 was common in oral tongue squamous cell carcinomas and correlated with the expression of b-catenin and cyclin D1 and the progression of oral tongue squamous cell carcinomas PMID: 25869879
- TC-1 overexpression promotes cell proliferation in human non-small cell lung cancer that can be inhibited by PD173074. PMID: 24941347
- TC-1 expression is associated with aggressive biologic behavior in lung cancer and might coordinate with the Wnt/beta-catenin pathway as a positive upstream regulator that induces these behaviors. PMID: 23880650
- The higher expression of TC-1 in ovarian compared to colorectal adenocarcinomas suggests its potential use as a marker PMID: 23377761
- The SNP rs10958605 in the C8orf4 gene had the smallest p value in analyses of the motor outcome. PMID: 22658654
- A significant association was found between the copy-number deletions of C8orf4 and the risk of hematological malignancies. PMID: 20878554
- Overexpression of TC-1 may be important in thyroid carcinogenesis. PMID: 15087392
- data indicate that TC1 is a novel upstream regulator of the Wnt/beta-catenin pathway that enhances aggressive behavior of cancers PMID: 16424001
- The TC1 coordinates the up-regulation of Wnt/beta-catenin target genes that are implicated in the aggressive biological behavior of cancers. PMID: 16740781
- Gene induces transformed phenotype when overexpressed in a cancer breast cell line. PMID: 17178857
- TC-1 over expression is transforming and may link with the FGFR pathway in a subset of breast cancer. PMID: 17520678
- Our data suggest that TC1 is a novel heat shock response regulator. PMID: 17603013
- intrinsically disordered TC-1 interacts with Cby via its transient helical structure PMID: 17905836
- TC1 was involved in the mitogen-activated ERK1/2 signaling pathway and positively regulated G(1)- to S-phase transition of the cell cycle. PMID: 18959821
顯示更多
收起更多
-
亞細胞定位:Cytoplasm. Nucleus, nucleolus. Nucleus speckle. Nucleus.
-
組織特異性:Ubiquitous. Expressed in thyroid papillary carcinoma. Expressed in liver, expression levels decrease in hepatocellular carcinoma. Slightly detected in normal lung, its expression is highly induced in lung cancer cells (at protein level).
-
數據庫鏈接:
Most popular with customers
-
-
YWHAB Recombinant Monoclonal Antibody
Applications: ELISA, WB, IHC, IF, FC
Species Reactivity: Human, Mouse, Rat
-
Phospho-YAP1 (S127) Recombinant Monoclonal Antibody
Applications: ELISA, WB, IHC
Species Reactivity: Human
-
-
-
-
-















