TCERG1 Antibody
-
中文名稱:TCERG1兔多克隆抗體
-
貨號:CSB-PA023291LA01HU
-
規格:¥440
-
圖片:
-
Western Blot
Positive WB detected in: 293T whole cell lysate, Rat brain tissue
All lanes: TCERG1 antibody at 5.9μg/ml
Secondary
Goat polyclonal to rabbit IgG at 1/50000 dilution
Predicted band size: 124, 122 kDa
Observed band size: 124 kDa -
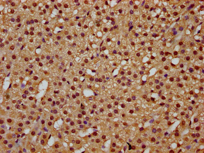
IHC image of CSB-PA023291LA01HU diluted at 1:300 and staining in paraffin-embedded human adrenal gland tissue performed on a Leica BondTM system. After dewaxing and hydration, antigen retrieval was mediated by high pressure in a citrate buffer (pH 6.0). Section was blocked with 10% normal goat serum 30min at RT. Then primary antibody (1% BSA) was incubated at 4°C overnight. The primary is detected by a biotinylated secondary antibody and visualized using an HRP conjugated SP system.
-
-
其他:
產品詳情
-
產品名稱:Rabbit anti-Homo sapiens (Human) TCERG1 Polyclonal antibody
-
Uniprot No.:
-
基因名:TCERG1
-
別名:CA 150 antibody; Co activator of 150 kDa antibody; Coactivator of 150 kDa antibody; MGC133200 antibody; TAF 2S antibody; TAF2S antibody; TATA box binding protein (TBP) associated factor RNA polymerase II S 150kD antibody; TATA box binding protein associated factor 2S antibody; TATA box binding protein associated factor RNA polymerase II S 150kD antibody; TATA box-binding protein-associated factor 2S antibody; TBP-associated factor, RNA polymerase II, 150-kD antibody; TCERG 1 antibody; TCERG1 antibody; TCRG1_HUMAN antibody; Transcription elongation regulator 1 antibody; Transcription factor CA 150 antibody; Transcription factor CA150 antibody; Urn1 antibody
-
宿主:Rabbit
-
反應種屬:Human, Rat
-
免疫原:Recombinant Human Transcription elongation regulator 1 protein (782-896AA)
-
免疫原種屬:Homo sapiens (Human)
-
標記方式:Non-conjugated
本頁面中的產品,TCERG1 Antibody (CSB-PA023291LA01HU),的標記方式是Non-conjugated。對于TCERG1 Antibody,我們還提供其他標記。見下表:
-
克隆類型:Polyclonal
-
抗體亞型:IgG
-
純化方式:>95%, Protein G purified
-
濃度:It differs from different batches. Please contact us to confirm it.
-
保存緩沖液:Preservative: 0.03% Proclin 300
Constituents: 50% Glycerol, 0.01M PBS, pH 7.4 -
產品提供形式:Liquid
-
應用范圍:ELISA, WB, IHC
-
推薦稀釋比:
Application Recommended Dilution WB 1:500-1:5000 IHC 1:200-1:500 -
Protocols:
-
儲存條件:Upon receipt, store at -20°C or -80°C. Avoid repeated freeze.
-
貨期:Basically, we can dispatch the products out in 1-3 working days after receiving your orders. Delivery time maybe differs from different purchasing way or location, please kindly consult your local distributors for specific delivery time.
-
用途:For Research Use Only. Not for use in diagnostic or therapeutic procedures.
相關產品
靶點詳情
-
功能:Transcription factor that binds RNA polymerase II and inhibits the elongation of transcripts from target promoters. Regulates transcription elongation in a TATA box-dependent manner. Necessary for TAT-dependent activation of the human immunodeficiency virus type 1 (HIV-1) promoter.
-
基因功能參考文獻:
- TCERG1 affects expression of multiple mRNAs involved in neuron projection development. PMID: 27844289
- The QA repeat domain of TCERG1 is required for relocalization of CEBPalpha. PMID: 26264132
- TCERG1 binds independently to elongation and splicing complexes, thus performing their coupling by transient interactions rather than by stable association with one or the other complexes. PMID: 26873599
- TCERG1 sensitizes a cell to apoptotic agents, thus promoting apoptosis by regulating the alternative splicing of both the Bcl-x and Fas/CD95 genes. PMID: 26462236
- This study reveals that TCERG1 regulates HIV-1 transcriptional elongation by increasing the elongation rate of RNAPII and phosphorylation of Ser 2 within the carboxyl-terminal domain. PMID: 24165037
- Specific interaction of the transcription elongation regulator TCERG1 with RNA polymerase II requires simultaneous phosphorylation at Ser2, Ser5, and Ser7 within the carboxyl-terminal domain repeat. PMID: 23436654
- The FF4 and FF5 domains of transcription elongation regulator 1 (TCERG1) target proteins to the periphery of speckles. PMID: 22453921
- We propose that TCERG1 modulates the elongation rate of RNAPII to relieve pausing, thereby activating the proapoptotic Bcl-x(S) 5' splice site. PMID: 22158966
- TCERG1 can inhibit C/EBPalpha activity regardless of the latter's location in the nucleus PMID: 21503969
- mutation of the SUMO acceptor lysine residues enhanced TCERG1 transcriptional activity, indicating that SUMO modification negatively regulates TCERG1 transcriptional activity PMID: 20215116
- Specific alleles in GluR6 and CA150 locus were only observed in HD patients. PMID: 12821179
- Results suggest an essential role of WW/FF domain-containing factors such as FBP11 and CA150 in pre-mRNA splicing that likely occurs in concert with transcription in vivo. PMID: 15456888
- CA150 is a co-repressor of C/EBP proteins and provides a possible mechanism for how C/EBPalpha can repress transcription of specific genes PMID: 16644732
- Sequences located at both the amino and carboxyl regions of CA150 are required to assemble transcription/splicing complexes, which may be involved in the coupling of those processes. PMID: 16782886
- GRIN2A and TCERG1 may show true association with residual age of onset for Huntington's disease in genetic association tests in 443 affected people from a large set of kindreds from Venezuela. PMID: 17018562
- The interferon consensus sequence-binding protein (ICSBP/IRF8) represses PTPN13 gene transcription in differentiating myeloid cells PMID: 18187414
- Data provide the first crystal structure of an FF domain and insights into the tandem nature of the FF domains and suggest that, in addition to protein binding, FF domains might be involved in DNA binding. PMID: 19660470
- Data gave a model for FF domain organization within tandem arrays suggests a general mechanism by which individual FF domains can manoeuvre to achieve optimal recognition of flexible binding partners, such as the intrinsically-disordered phosphoCTD PMID: 19715701
顯示更多
收起更多
-
亞細胞定位:Nucleus.
-
組織特異性:Detected in brain neurons.
-
數據庫鏈接:
Most popular with customers
-
-
YWHAB Recombinant Monoclonal Antibody
Applications: ELISA, WB, IHC, IF, FC
Species Reactivity: Human, Mouse, Rat
-
Phospho-YAP1 (S127) Recombinant Monoclonal Antibody
Applications: ELISA, WB, IHC
Species Reactivity: Human
-
-
-
-
-















