TBCD Antibody
-
中文名稱:TBCD兔多克隆抗體
-
貨號:CSB-PA883599LA01HU
-
規格:¥440
-
圖片:
-
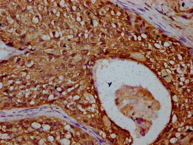
IHC image of CSB-PA883599LA01HU diluted at 1:300 and staining in paraffin-embedded human cervical cancer performed on a Leica BondTM system. After dewaxing and hydration, antigen retrieval was mediated by high pressure in a citrate buffer (pH 6.0). Section was blocked with 10% normal goat serum 30min at RT. Then primary antibody (1% BSA) was incubated at 4°C overnight. The primary is detected by a biotinylated secondary antibody and visualized using an HRP conjugated SP system.
-
Immunofluorescence staining of A549 cells with CSB-PA883599LA01HU at 1:100, counter-stained with DAPI. The cells were fixed in 4% formaldehyde, permeabilized using 0.2% Triton X-100 and blocked in 10% normal Goat Serum. The cells were then incubated with the antibody overnight at 4°C. The secondary antibody was Alexa Fluor 488-congugated AffiniPure Goat Anti-Rabbit IgG(H+L).
-
-
其他:
產品詳情
-
產品名稱:Rabbit anti-Homo sapiens (Human) TBCD Polyclonal antibody
-
Uniprot No.:
-
基因名:TBCD
-
別名:Beta tubulin cofactor D antibody; Beta-tubulin cofactor D antibody; KIAA0988 antibody; SSD 1 antibody; SSD-1 antibody; SSD1 antibody; tbcd antibody; TBCD_HUMAN antibody; tfcD antibody; Tubulin folding cofactor D antibody; Tubulin specific chaperone D antibody; Tubulin-folding cofactor D antibody; Tubulin-specific chaperone D antibody
-
宿主:Rabbit
-
反應種屬:Human
-
免疫原:Recombinant Human Tubulin-specific chaperone D protein (2-96AA)
-
免疫原種屬:Homo sapiens (Human)
-
標記方式:Non-conjugated
本頁面中的產品,TBCD Antibody (CSB-PA883599LA01HU),的標記方式是Non-conjugated。對于TBCD Antibody,我們還提供其他標記。見下表:
-
克隆類型:Polyclonal
-
抗體亞型:IgG
-
純化方式:>95%, Protein G purified
-
濃度:It differs from different batches. Please contact us to confirm it.
-
保存緩沖液:Preservative: 0.03% Proclin 300
Constituents: 50% Glycerol, 0.01M PBS, pH 7.4 -
產品提供形式:Liquid
-
應用范圍:ELISA, IHC, IF
-
推薦稀釋比:
Application Recommended Dilution IHC 1:200-1:500 IF 1:50-1:200 -
Protocols:
-
儲存條件:Upon receipt, store at -20°C or -80°C. Avoid repeated freeze.
-
貨期:Basically, we can dispatch the products out in 1-3 working days after receiving your orders. Delivery time maybe differs from different purchasing way or location, please kindly consult your local distributors for specific delivery time.
-
用途:For Research Use Only. Not for use in diagnostic or therapeutic procedures.
相關產品
靶點詳情
-
功能:Tubulin-folding protein implicated in the first step of the tubulin folding pathway and required for tubulin complex assembly. Involved in the regulation of microtubule polymerization or depolymerization, it modulates microtubule dynamics by capturing GTP-bound beta-tubulin (TUBB). Its ability to interact with beta tubulin is regulated via its interaction with ARL2. Acts as a GTPase-activating protein (GAP) for ARL2. Induces microtubule disruption in absence of ARL2. Increases degradation of beta tubulin, when overexpressed in polarized cells. Promotes epithelial cell detachment, a process antagonized by ARL2. Induces tight adherens and tight junctions disassembly at the lateral cell membrane. Required for correct assembly and maintenance of the mitotic spindle, and proper progression of mitosis. Involved in neuron morphogenesis.
-
基因功能參考文獻:
- TBCD protein was localized in the middle region and in the tail of the sperm while in the oocyte the localization was cytosolic. PMID: 28583220
- Authors conclude that TBCD is a novel functional contributor to the mammalian cerebral cortex development, and that the pathological mechanism resulting from the mutations we describe is likely to involve compromised interactions with one or more TBCD-interacting effectors that influence the dynamics and behaviour of the neuronal cytoskeleton. PMID: 28158450
- conclude that the TBCD*ARL2*beta-tubulin complex represents a functional intermediate in the beta-tubulin folding pathway whose activity is regulated by the cycling of nucleotides on ARL2 PMID: 28970104
- Results identified ARL2 and TBCD, as important in tubulin folding and microtubule dynamics. Both ARL2 and TBCD also localize to centrosomes. [review] PMID: 27400436
- variants. We identified two candidate homozygous missense variants, R942Q in the tubulin-folding cofactor D (TBCD) gene and H250Q in the bromo-adjacent homology domain and coiled-coil containing 1 (BAHCC1) gene, located on chromosome 17q25.3 with an interval of 1.4 Mbp. PMID: 27928163
- Intractable epilepsy, intellectual disability and acquired microcephaly, and cortical atrophy and thinned corpus callosum as major MRI features, caused by biallelic variants in TBCD. PMID: 27807845
- findings establish that defective TBCD function underlies a recognizable encephalopathy and drives accelerated microtubule polymerization and enhanced microtubule stability, underscoring an additional cause of altered microtubule dynamics with impact on neuronal function and survival in the developing brain PMID: 27666370
- Defects of microtubule formation caused by TBCD mutations may underlie the pathomechanism of a neurodegenerative encephalopathy. PMID: 27666374
- genetic polymorphism is associated with bone mineral accretion in children with asthma receiving intermittent oral corticosteroids PMID: 26025128
- Data show that bovine and human TBCD have functionally identical roles in tubulin heterodimer assembly, and that the inability of human TBCD to disrupt microtubule integrity can be overcome by siRNA-mediated suppression of expression of Arl2. PMID: 20740604
- provides first evidence that beta-tubulin cofactor D plays a role in cells independent of its presumed role in folding tubulin heterodimers PMID: 17704193
- Cofactor D functions as a centrosomal protein and is required for the recruitment of the gamma-tubulin ring complex at centrosomes and organization of the mitotic spindle PMID: 18171676
顯示更多
收起更多
-
相關疾病:Encephalopathy, progressive, early-onset, with brain atrophy and thin corpus callosum (PEBAT)
-
亞細胞定位:Cell junction, tight junction. Lateral cell membrane. Cytoplasm. Cell junction, adherens junction. Cytoplasm, cytoskeleton, microtubule organizing center, centrosome.
-
蛋白家族:TBCD family
-
組織特異性:Ubiquitously expressed.
-
數據庫鏈接:
Most popular with customers
-
-
YWHAB Recombinant Monoclonal Antibody
Applications: ELISA, WB, IHC, IF, FC
Species Reactivity: Human, Mouse, Rat
-
Phospho-YAP1 (S127) Recombinant Monoclonal Antibody
Applications: ELISA, WB, IHC
Species Reactivity: Human
-
-
-
-
-















