TBC1D14 Antibody
-
中文名稱:TBC1D14兔多克隆抗體
-
貨號:CSB-PA889187LA01HU
-
規格:¥440
-
圖片:
-
Western blot
All lanes: TBC1D14 antibody at 4μg/ml
Lane 1: K562 whole cell lysate
Lane 2: U87 whole cell lysate
Lane 3: A549 whole cell lysate
Lane 4: HepG2 whole cell lysate
Secondary
Goat polyclonal to rabbit IgG at 1/10000 dilution
Predicted band size: 79, 48 kDa
Observed band size: 79 kDa -
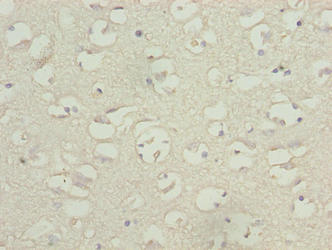
Immunohistochemistry of paraffin-embedded human brain tissue using CSB-PA889187LA01HU at dilution of 1:100
-
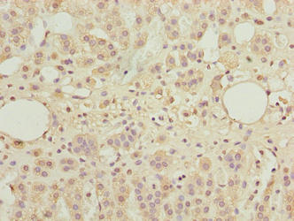
Immunohistochemistry of paraffin-embedded human adrenal gland tissue using CSB-PA889187LA01HU at dilution of 1:100
-
-
其他:
產品詳情
-
產品名稱:Rabbit anti-Homo sapiens (Human) TBC1D14 Polyclonal antibody
-
Uniprot No.:
-
基因名:TBC1D14
-
別名:FLJ32400 antibody; KIAA1322 antibody; TBC1 domain family member 14 antibody; TBC14_HUMAN antibody; Tbc1d14 antibody
-
宿主:Rabbit
-
反應種屬:Human
-
免疫原:Recombinant Human TBC1 domain family member 14 protein (136-435AA)
-
免疫原種屬:Homo sapiens (Human)
-
標記方式:Non-conjugated
本頁面中的產品,TBC1D14 Antibody (CSB-PA889187LA01HU),的標記方式是Non-conjugated。對于TBC1D14 Antibody,我們還提供其他標記。見下表:
-
克隆類型:Polyclonal
-
抗體亞型:IgG
-
純化方式:>95%, Protein G purified
-
濃度:It differs from different batches. Please contact us to confirm it.
-
保存緩沖液:Preservative: 0.03% Proclin 300
Constituents: 50% Glycerol, 0.01M PBS, PH 7.4 -
產品提供形式:Liquid
-
應用范圍:ELISA, WB, IHC
-
推薦稀釋比:
Application Recommended Dilution WB 1:1000-1:5000 IHC 1:20-1:200 -
Protocols:
-
儲存條件:Upon receipt, store at -20°C or -80°C. Avoid repeated freeze.
-
貨期:Basically, we can dispatch the products out in 1-3 working days after receiving your orders. Delivery time maybe differs from different purchasing way or location, please kindly consult your local distributors for specific delivery time.
-
用途:For Research Use Only. Not for use in diagnostic or therapeutic procedures.
相關產品
靶點詳情
-
功能:Plays a role in the regulation of starvation-induced autophagosome formation. Together with the TRAPPIII complex, regulates a constitutive trafficking step from peripheral recycling endosomes to the early Golgi, maintaining the cycling pool of ATG9 required for initiation of autophagy.
-
基因功能參考文獻:
- TRAPPC8 modulates autophagy and secretory trafficking and is required for TBC1D14 to bind TRAPPIII. PMID: 26711178
- TBC1D14 binds activated Rab11 but is not a GAP for Rab11, and loss of Rab11 prevents TBC1D14-induced tubulation of recycling endosomes. PMID: 22613832
- crystal structures of the first two mammalian TBCs, human TBC1 family members 22A (TBC1D22A) and 14 (TBC1D14) PMID: 18186464
-
亞細胞定位:Golgi apparatus, cis-Golgi network. Golgi apparatus, trans-Golgi network. Note=After amino acid starvation, Golgi apparatus-associated protein levels increase compared with fed conditions. May be cycling between the Golgi apparatus and an endosomal pool, redistributing to the Golgi apparatus upon starvation.
-
數據庫鏈接:
Most popular with customers
-
-
YWHAB Recombinant Monoclonal Antibody
Applications: ELISA, WB, IHC, IF, FC
Species Reactivity: Human, Mouse, Rat
-
Phospho-YAP1 (S127) Recombinant Monoclonal Antibody
Applications: ELISA, WB, IHC
Species Reactivity: Human
-
-
-
-
-















