TBC1D1 Antibody
-
中文名稱:TBC1D1兔多克隆抗體
-
貨號:CSB-PA082079
-
規格:¥1100
-
圖片:
-
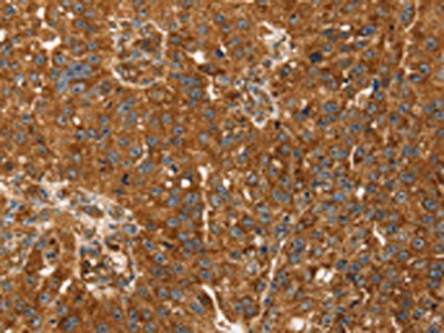
The image on the left is immunohistochemistry of paraffin-embedded Human liver cancer tissue using CSB-PA082079(TBC1D1 Antibody) at dilution 1/45, on the right is treated with synthetic peptide. (Original magnification: ×200)
-
The image on the left is immunohistochemistry of paraffin-embedded Human breast cancer tissue using CSB-PA082079(TBC1D1 Antibody) at dilution 1/45, on the right is treated with synthetic peptide. (Original magnification: ×200)
-
-
其他:
產品詳情
-
Uniprot No.:
-
基因名:
-
別名:KIAA1108 antibody; TBC 1 antibody; TBC antibody; TBC1 (tre 2/USP6; BUB2; cdc16) domain family; member 1 antibody; TBC1 antibody; TBC1 domain family member 1 antibody; Tbc1d1 antibody; TBCD1_HUMAN antibody
-
宿主:Rabbit
-
反應種屬:Human
-
免疫原:Synthetic peptide of Human TBC1D1
-
免疫原種屬:Homo sapiens (Human)
-
標記方式:Non-conjugated
-
抗體亞型:IgG
-
純化方式:Antigen affinity purification
-
濃度:It differs from different batches. Please contact us to confirm it.
-
保存緩沖液:-20°C, pH7.4 PBS, 0.05% NaN3, 40% Glycerol
-
產品提供形式:Liquid
-
應用范圍:ELISA,IHC
-
推薦稀釋比:
Application Recommended Dilution ELISA 1:2000-1:5000 IHC 1:40-1:150 -
Protocols:
-
儲存條件:Upon receipt, store at -20°C or -80°C. Avoid repeated freeze.
-
貨期:Basically, we can dispatch the products out in 1-3 working days after receiving your orders. Delivery time maybe differs from different purchasing way or location, please kindly consult your local distributors for specific delivery time.
-
用途:For Research Use Only. Not for use in diagnostic or therapeutic procedures.
相關產品
靶點詳情
-
功能:May act as a GTPase-activating protein for Rab family protein(s). May play a role in the cell cycle and differentiation of various tissues. Involved in the trafficking and translocation of GLUT4-containing vesicles and insulin-stimulated glucose uptake into cells.
-
基因功能參考文獻:
- TBC1D1-Ser(231) phosphorylation and/or 14-3-3 binding partially mediates AMPK-governed glucose homeostasis and muscle glucose uptake in a context-dependent manner. PMID: 27826658
- data demonstrate heterozygous deactivating TBC1D1 mutations in CAKUT patients with a similar renal and ureteral phenotype, and provide evidence that TBC1D1 mutations may contribute to CAKUT PMID: 26572137
- AS160 and TBC1D1 phosphorylations were evident 30 min after exercise. PMID: 24876356
- Data show that TBC1D1 is expressed and phosphorylated in response to glucose in these cells. PMID: 24239544
- Moderate association of rs9852 indicates an influence of TBC1D1 for antipsychotic-induced weight gain. PMID: 23364847
- R125W mutation occurs in a location of the TBC1D1 PTB domain that is predicted to have a function in a putative protein:protein interaction. PMID: 23667688
- Data suggest that insulin increases phosphorylation of signaling nexus TBC1D1 independent of prior exercise or lipid/Intralipid administration. PMID: 22851577
- TBC1D1 is Ser237 phosphorylated and binding capacity to 14-3-3 protein is increased in skeletal muscle following exercise. PMID: 20837646
- [review] The question of a mechanism for increased phosphorylation of Ser237-TBC1D1 after exercise has, so far, not had a straightforward experimental approach for a direct answer in humans undergoing in vivo exercise. PMID: 21078596
- A single bout of exercise regulates TBC1D1 and AS160 phosphorylation on multiple sites in human skeletal muscle. PMID: 21505148
- Crystal structures of human TBC1D1 and TBC1D4 (AS160) RabGTPase-activating protein (RabGAP) domains reveal critical elements for GLUT4 translocation. PMID: 21454505
- coding variant R125W affects obesity susceptibility, delimits the location of an obesity gene at 4q34-35 and identifies a gene/gene interaction that influences the risk for obesity predisposition PMID: 16893906
- form of Tbc1d1 also inhibited GLUT4 translocation and that this effect also required a functional GAP domain PMID: 17274760
- These results confirm a putative role of TBC1D1 R125W variant in familial obesity predisposition. PMID: 18325908
顯示更多
收起更多
-
亞細胞定位:Nucleus.
-
數據庫鏈接:
Most popular with customers
-
-
YWHAB Recombinant Monoclonal Antibody
Applications: ELISA, WB, IHC, IF, FC
Species Reactivity: Human, Mouse, Rat
-
Phospho-YAP1 (S127) Recombinant Monoclonal Antibody
Applications: ELISA, WB, IHC
Species Reactivity: Human
-
-
-
-
-















