TAPBPL Antibody
-
中文名稱:TAPBPL兔多克隆抗體
-
貨號:CSB-PA887144LA01HU
-
規格:¥440
-
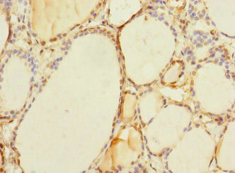
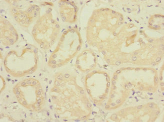
圖片:
-
其他:
產品詳情
-
產品名稱:Rabbit anti-Homo sapiens (Human) TAPBPL Polyclonal antibody
-
Uniprot No.:
-
基因名:TAPBPL
-
別名:FLJ10143 antibody; TAP binding protein like antibody; TAP binding protein related antibody; TAP binding protein related protein antibody; TAP-binding protein-like antibody; TAP-binding protein-related protein antibody; Tapasin like antibody; Tapasin R antibody; Tapasin Related Protein antibody; Tapasin-like antibody; TAPASIN-R antibody; Tapasin-related protein antibody; TAPBP L antibody; TAPBP R antibody; TAPBP-R antibody; Tapbpl antibody; TAPBPR antibody; TPSNR_HUMAN antibody
-
宿主:Rabbit
-
反應種屬:Human
-
免疫原:Recombinant Human Tapasin-related protein (201-468AA)
-
免疫原種屬:Homo sapiens (Human)
-
標記方式:Non-conjugated
本頁面中的產品,TAPBPL Antibody (CSB-PA887144LA01HU),的標記方式是Non-conjugated。對于TAPBPL Antibody,我們還提供其他標記。見下表:
-
克隆類型:Polyclonal
-
抗體亞型:IgG
-
純化方式:>95%, Protein G purified
-
濃度:It differs from different batches. Please contact us to confirm it.
-
保存緩沖液:Preservative: 0.03% Proclin 300
Constituents: 50% Glycerol, 0.01M PBS, PH 7.4 -
產品提供形式:Liquid
-
應用范圍:ELISA, IHC
-
推薦稀釋比:
Application Recommended Dilution IHC 1:20-1:200 -
Protocols:
-
儲存條件:Upon receipt, store at -20°C or -80°C. Avoid repeated freeze.
-
貨期:Basically, we can dispatch the products out in 1-3 working days after receiving your orders. Delivery time maybe differs from different purchasing way or location, please kindly consult your local distributors for specific delivery time.
-
用途:For Research Use Only. Not for use in diagnostic or therapeutic procedures.
相關產品
靶點詳情
-
功能:Component of the antigen processing and presentation pathway, which binds to MHC class I coupled with beta2-microglobulin/B2M. Association between TAPBPR and MHC class I occurs in the absence of a functional peptide-loading complex (PLC).
-
基因功能參考文獻:
- soluble TAPBPR, consisting of the luminal domain alone, added to intact cells, also functions as an effective peptide editor on surface MHC I molecules. PMID: 30213851
- this study reports the crystal structure of MHC I in complex with the peptide editor TAPBPR (TAP-binding protein-related), a tapasin homolog. PMID: 29025991
- this study presents the x-ray structure of the TAPBPR-MHC I complex, which delineates the central step of catalysis. PMID: 29025996
- The authors identify an interaction between TAPBPR and UDP-glucose:glycoprotein glucosyltransferase 1 (UGT1), a folding sensor in the calnexin/calreticulin quality control cycle that is known to regenerate the Glc1Man9GlcNAc2 moiety on glycoproteins. The results suggest the formation of a multimeric complex, dependent on a conserved cysteine at position 94 in TAPBPR, in which TAPBPR promotes the association of UGT1 with p PMID: 28425917
- It is now clear there are two MHC class I specific peptide editors, tapasin and TAPBPR, intimately involved in controlling peptide presentation to the immune system. PMID: 26439010
- These results support a role of TAPBPR in stabilizing peptide-receptive conformation(s) of MHC-I, permitting peptide editing. PMID: 26869717
- TAPBPR is a new player in the MHC class I presentation pathway. (Review) PMID: 25720504
- The longer TAPBPR protein interacted with MHC class I but was attenuated in its ability to down-regulate surface expression of MHC class I. PMID: 24444341
- the data indicate that TAPBPR and tapasin bind in a similar orientation to the same face of MHC class I. PMID: 24163410
- The function of the tapasin-related protein, TAPBPR, was investigated. PMID: 23401559
顯示更多
收起更多
-
亞細胞定位:Cell membrane; Single-pass type I membrane protein. Endoplasmic reticulum membrane; Single-pass type I membrane protein. Microsome membrane; Single-pass type I membrane protein. Golgi apparatus membrane; Single-pass type I membrane protein. Note=Mainly found in endoplasmic reticulum but a minority is found on the cell surface (PubMed:11920573).
-
數據庫鏈接:
Most popular with customers
-
-
YWHAB Recombinant Monoclonal Antibody
Applications: ELISA, WB, IHC, IF, FC
Species Reactivity: Human, Mouse, Rat
-
Phospho-YAP1 (S127) Recombinant Monoclonal Antibody
Applications: ELISA, WB, IHC
Species Reactivity: Human
-
-
-
-
-















