TAF4B Antibody
-
中文名稱:TAF4B兔多克隆抗體
-
貨號:CSB-PA849782LA01HU
-
規格:¥440
-
圖片:
-
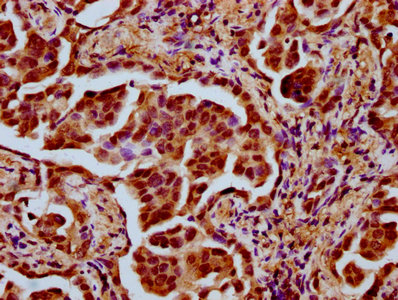
IHC image of CSB-PA849782LA01HU diluted at 1:500 and staining in paraffin-embedded human lung cancer performed on a Leica BondTM system. After dewaxing and hydration, antigen retrieval was mediated by high pressure in a citrate buffer (pH 6.0). Section was blocked with 10% normal goat serum 30min at RT. Then primary antibody (1% BSA) was incubated at 4°C overnight. The primary is detected by a biotinylated secondary antibody and visualized using an HRP conjugated SP system.
-
Immunofluorescence staining of A549 cells with CSB-PA849782LA01HU at 1:166, counter-stained with DAPI. The cells were fixed in 4% formaldehyde, permeabilized using 0.2% Triton X-100 and blocked in 10% normal Goat Serum. The cells were then incubated with the antibody overnight at 4°C. The secondary antibody was Alexa Fluor 488-congugated AffiniPure Goat Anti-Rabbit IgG(H+L).
-
-
其他:
產品詳情
-
產品名稱:Rabbit anti-Homo sapiens (Human) TAF4B Polyclonal antibody
-
Uniprot No.:
-
基因名:TAF4B
-
別名:TAF4B antibody; TAF2C2 antibody; TAFII105 antibody; Transcription initiation factor TFIID subunit 4B antibody; Transcription initiation factor TFIID 105 kDa subunit antibody; TAF(II)105 antibody; TAFII-105 antibody; TAFII105 antibody
-
宿主:Rabbit
-
反應種屬:Human
-
免疫原:Recombinant Human Transcription initiation factor TFIID subunit 4B protein (132-244AA)
-
免疫原種屬:Homo sapiens (Human)
-
標記方式:Non-conjugated
本頁面中的產品,TAF4B Antibody (CSB-PA849782LA01HU),的標記方式是Non-conjugated。對于TAF4B Antibody,我們還提供其他標記。見下表:
-
克隆類型:Polyclonal
-
抗體亞型:IgG
-
純化方式:>95%, Protein G purified
-
濃度:It differs from different batches. Please contact us to confirm it.
-
保存緩沖液:Preservative: 0.03% Proclin 300
Constituents: 50% Glycerol, 0.01M PBS, pH 7.4 -
產品提供形式:Liquid
-
應用范圍:ELISA, IHC, IF
-
推薦稀釋比:
Application Recommended Dilution IHC 1:500-1:1000 IF 1:50-1:200 -
Protocols:
-
儲存條件:Upon receipt, store at -20°C or -80°C. Avoid repeated freeze.
-
貨期:Basically, we can dispatch the products out in 1-3 working days after receiving your orders. Delivery time maybe differs from different purchasing way or location, please kindly consult your local distributors for specific delivery time.
-
用途:For Research Use Only. Not for use in diagnostic or therapeutic procedures.
相關產品
靶點詳情
-
功能:Cell type-specific subunit of the general transcription factor TFIID that may function as a gene-selective coactivator in certain cells. TFIID is a multimeric protein complex that plays a central role in mediating promoter responses to various activators and repressors. TAF4B is a transcriptional coactivator of the p65/RELA NF-kappa-B subunit. Involved in the activation of a subset of antiapoptotic genes including TNFAIP3. May be involved in regulating folliculogenesis. Through interaction with OCBA/POU2AF1, acts as a coactivator of B-cell-specific transcription. Plays a role in spermiogenesis and oogenesis.
-
基因功能參考文獻:
- The existence of a highly conserved TAF4b-dependent gene regulatory network. PMID: 27341508
- Two candidate loci in each family and homozygous truncating mutations p.R611X in TAF4B in family 1 and p.K507Sfs*3 in ZMYND15 in family 2, were identified. PMID: 24431330
- We show evidence for the first time of an interdependence of TAF4b and AP-1 family members in cell type-specific promoter recognition and initiation of transcription in the context of cancer progression and EMT. PMID: 20353996
- histone fold domain mediated interaction enhances the DNA binding activity of each of the TAF6-TAF9 and TAF4b-TAF12 pairs and of a histone-like octamer complex composed of the four TAFs PMID: 15601843
- work suggests that pre-mRNA processing and post-translational modification represent two important regulatory steps for the gonad-specific functions of human TAF(II)105 PMID: 16088961
- Expression of the TAF4b gene is induced by MYC through a non-canonical, but not canonical, E-box which contributes to its specific response to MYC. PMID: 19020761
顯示更多
收起更多
-
相關疾病:Spermatogenic failure 13 (SPGF13)
-
亞細胞定位:Nucleus. Cytoplasm.
-
蛋白家族:TAF4 family
-
組織特異性:Preferentially expressed in ovarian granulosa cells (at protein level). Highly expressed in B-cells.
-
數據庫鏈接:
Most popular with customers
-
-
YWHAB Recombinant Monoclonal Antibody
Applications: ELISA, WB, IHC, IF, FC
Species Reactivity: Human, Mouse, Rat
-
Phospho-YAP1 (S127) Recombinant Monoclonal Antibody
Applications: ELISA, WB, IHC
Species Reactivity: Human
-
-
-
-
-















