TAF12 Antibody
-
中文名稱:TAF12兔多克隆抗體
-
貨號:CSB-PA624102LA01HU
-
規格:¥440
-
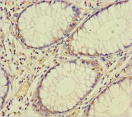
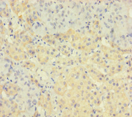
圖片:
-
其他:
產品詳情
-
產品名稱:Rabbit anti-Homo sapiens (Human) TAF12 Polyclonal antibody
-
Uniprot No.:
-
基因名:TAF12
-
別名:TAF12 antibody; TAF12 RNA polymerase II; TATA box binding protein (TBP)-associated factor; 20kDa antibody; TAF12_HUMAN antibody; TAF15 antibody; TAF2J antibody; TAFII 20/TAFII 15 antibody; TAFII-20/TAFII-15 antibody; TAFII20 antibody; TAFII20/TAFII15 antibody; Transcription initiation factor TFIID 20/15 kDa subunits antibody; Transcription initiation factor TFIID subunit 12 antibody
-
宿主:Rabbit
-
反應種屬:Human
-
免疫原:Recombinant Human Transcription initiation factor TFIID subunit 12 protein (1-161AA)
-
免疫原種屬:Homo sapiens (Human)
-
標記方式:Non-conjugated
本頁面中的產品,TAF12 Antibody (CSB-PA624102LA01HU),的標記方式是Non-conjugated。對于TAF12 Antibody,我們還提供其他標記。見下表:
-
克隆類型:Polyclonal
-
抗體亞型:IgG
-
純化方式:>95%, Protein G purified
-
濃度:It differs from different batches. Please contact us to confirm it.
-
保存緩沖液:Preservative: 0.03% Proclin 300
Constituents: 50% Glycerol, 0.01M PBS, PH 7.4 -
產品提供形式:Liquid
-
應用范圍:ELISA, IHC
-
推薦稀釋比:
Application Recommended Dilution IHC 1:20-1:200 -
Protocols:
-
儲存條件:Upon receipt, store at -20°C or -80°C. Avoid repeated freeze.
-
貨期:Basically, we can dispatch the products out in 1-3 working days after receiving your orders. Delivery time maybe differs from different purchasing way or location, please kindly consult your local distributors for specific delivery time.
-
用途:For Research Use Only. Not for use in diagnostic or therapeutic procedures.
相關產品
靶點詳情
-
功能:TAFs are components of the transcription factor IID (TFIID) complex, PCAF histone acetylase complex and TBP-free TAFII complex (TFTC). TAFs components-TIIFD are essential for mediating regulation of RNA polymerase transcription.
-
基因功能參考文獻:
- Ectopic expression of the TAF4 histone-fold fragment can efficiently squelch TAF12 in cells PMID: 29316427
- We show that two genes, TDP1, a tyrosyl-DNA-phosphdiesterase, and TAF12, an RNA polymerase II TATA-box binding factor, cause CIN when overexpressed in human cells. Using SDL screens in yeast, we identified a set of genes that when deleted specifically kill cells with high levels of Tdp1 PMID: 27551064
- TAF12 and NFYC are transcription factors that regulate the epigenome, whereas RAD54L plays a central role in DNA repair PMID: 25965574
- ATF7 interacts with TAF12 and contributes to the hypersensitivity of OCL precursors to 1,25-(OH)D in PD. PMID: 23426901
- TAF12 hitherto regarded as RNA polymerase II (RNAP II)-specific was found to be also involved in RNAP I transcription. PMID: 17268553
顯示更多
收起更多
-
亞細胞定位:Nucleus.
-
蛋白家族:TAF12 family
-
組織特異性:Ubiquitous.
-
數據庫鏈接:
Most popular with customers
-
YWHAB Recombinant Monoclonal Antibody
Applications: ELISA, WB, IHC, IF, FC
Species Reactivity: Human, Mouse, Rat
-
Phospho-YAP1 (S127) Recombinant Monoclonal Antibody
Applications: ELISA, WB, IHC
Species Reactivity: Human
-
-
-
-
-
-















