TAF10 Antibody
-
中文名稱:TAF10兔多克隆抗體
-
貨號:CSB-PA247863
-
規格:¥1100
-
圖片:
-
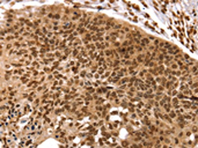
The image on the left is immunohistochemistry of paraffin-embedded Human esophagus cancer tissue using CSB-PA247863(TAF10 Antibody) at dilution 1/35, on the right is treated with synthetic peptide. (Original magnification: ×200)
-
The image on the left is immunohistochemistry of paraffin-embedded Human liver cancer tissue using CSB-PA247863(TAF10 Antibody) at dilution 1/35, on the right is treated with synthetic peptide. (Original magnification: ×200)
-
Gel: 12%SDS-PAGE, Lysate: 40 μg, Lane: Human lung cancer tissue, Primary antibody: CSB-PA247863(TAF10 Antibody) at dilution 1/400, Secondary antibody: Goat anti rabbit IgG at 1/8000 dilution, Exposure time: 10 seconds
-
-
其他:
產品詳情
-
Uniprot No.:
-
基因名:TAF10
-
別名:TAF10 antibody; TAF2A antibody; TAF2H antibody; TAFII30 antibody; Transcription initiation factor TFIID subunit 10 antibody; STAF28 antibody; Transcription initiation factor TFIID 30 kDa subunit antibody; TAF(II)30 antibody; TAFII-30 antibody; TAFII30 antibody
-
宿主:Rabbit
-
反應種屬:Human,Mouse
-
免疫原:Synthetic peptide of Human TAF10
-
免疫原種屬:Homo sapiens (Human)
-
標記方式:Non-conjugated
-
抗體亞型:IgG
-
純化方式:Antigen affinity purification
-
濃度:It differs from different batches. Please contact us to confirm it.
-
保存緩沖液:-20°C, pH7.4 PBS, 0.05% NaN3, 40% Glycerol
-
產品提供形式:Liquid
-
應用范圍:ELISA,WB,IHC
-
推薦稀釋比:
Application Recommended Dilution ELISA 1:2000-1:5000 WB 1:500-1:2000 IHC 1:25-1:100 -
Protocols:
-
儲存條件:Upon receipt, store at -20°C or -80°C. Avoid repeated freeze.
-
貨期:Basically, we can dispatch the products out in 1-3 working days after receiving your orders. Delivery time maybe differs from different purchasing way or location, please kindly consult your local distributors for specific delivery time.
-
用途:For Research Use Only. Not for use in diagnostic or therapeutic procedures.
相關產品
靶點詳情
-
功能:TAFs are components of the transcription factor IID (TFIID) complex, PCAF histone acetylase complex and TBP-free TAFII complex (TFTC). TIIFD is a multimeric protein complex that plays a central role in mediating promoter responses to various activators and repressors.
-
基因功能參考文獻:
- Lysine oxidation of the transcription factor TAF10 by LOXL2 is a controlled protein modification and demonstrates a role for protein oxidation in regulating pluripotency genes. PMID: 25959397
- The carboxyl-terminal domain of the largest subunit of RNA polymerase II (pol II) comprises multiple tandem repeats of a heptapeptide. PMID: 20457598
- CDKN1C negatively regulates RNA polymerase II C-terminal domain phosphorylation in an E2F1-dependent manner PMID: 20106982
- TAF10 can be monomethylated by SET9-mediated methylation. PMID: 15099517
- novel role of three mammalian interacting partners in the nuclear localization of TAF10 PMID: 15870280
- TAFII30 was required for optimal P4 promoter activity and for the repressive association of estrogen receptor. PMID: 17599049
顯示更多
收起更多
-
亞細胞定位:Nucleus.
-
蛋白家族:TAF10 family
-
數據庫鏈接:
Most popular with customers
-
-
YWHAB Recombinant Monoclonal Antibody
Applications: ELISA, WB, IHC, IF, FC
Species Reactivity: Human, Mouse, Rat
-
Phospho-YAP1 (S127) Recombinant Monoclonal Antibody
Applications: ELISA, WB, IHC
Species Reactivity: Human
-
-
-
-
-















