TAC1 Antibody
-
中文名稱:TAC1兔多克隆抗體
-
貨號:CSB-PA023062ESR2HU
-
規格:¥440
-
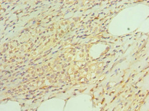
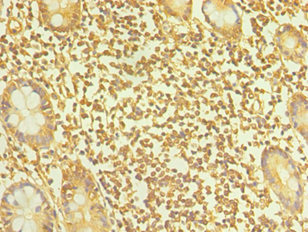
圖片:
-
其他:
產品詳情
-
產品名稱:Rabbit anti-Homo sapiens (Human) TAC1 Polyclonal antibody
-
Uniprot No.:
-
基因名:
-
別名:C-terminal-flanking peptide antibody; Hs.2563 antibody; neurokinin 1 antibody; neurokinin 2 antibody; neurokinin A antibody; neurokinin alpha antibody; Neuromedin L antibody; neuropeptide gamma antibody; neuropeptide K antibody; NK2 antibody; NKA antibody; NKNA antibody; NPK antibody; PPT antibody; preprotachykinin antibody; protachykinin antibody; protachykinin-1 antibody; Substance K antibody; SubstanceP antibody; TAC1 antibody; TAC2 antibody; TAC2; formerly antibody; Tachykinin 1 antibody; tachykinin 2 antibody; tachykinin 2; formerly antibody; Tachykinin precursor 1 antibody; tachykinin; precursor 1 (substance K; substance P; neurokinin 1; neurokinin 2; neuromedin L; neurokinin alpha; neuropeptide K; neuropeptide gamma) antibody; Tachykinin1 antibody; TKN1_HUMAN antibody
-
宿主:Rabbit
-
反應種屬:Human
-
免疫原:Recombinant Human Protachykinin-1 protein (1-129AA)
-
免疫原種屬:Homo sapiens (Human)
-
標記方式:Non-conjugated
-
克隆類型:Polyclonal
-
抗體亞型:IgG
-
純化方式:Antigen Affinity Purified
-
濃度:It differs from different batches. Please contact us to confirm it.
-
保存緩沖液:PBS with 0.02% sodium azide, 50% glycerol, pH7.3.
-
產品提供形式:Liquid
-
應用范圍:ELISA, IHC
-
推薦稀釋比:
Application Recommended Dilution IHC 1:20-1:200 -
Protocols:
-
儲存條件:Upon receipt, store at -20°C or -80°C. Avoid repeated freeze.
-
貨期:Basically, we can dispatch the products out in 1-3 working days after receiving your orders. Delivery time maybe differs from different purchasing way or location, please kindly consult your local distributors for specific delivery time.
-
用途:For Research Use Only. Not for use in diagnostic or therapeutic procedures.
相關產品
靶點詳情
-
功能:Tachykinins are active peptides which excite neurons, evoke behavioral responses, are potent vasodilators and secretagogues, and contract (directly or indirectly) many smooth muscles.
-
基因功能參考文獻:
- Preincubation of LAD2 cells with the natural flavonoid methoxyluteolin (1-100 mM) inhibits (P < 0.0001) secretion and gene expression of IL-1beta, procaspase-1, and pro-IL-1beta. Mast cell secretion of IL-1beta in response to SP and IL-33 reveals targets for the development of antiinflammatory therapies. PMID: 30232261
- High TAC1 expression is associated with primary central nervous system lymphoma. PMID: 28521029
- These findings reported here for the first time suggest an important role for a SP/NK1R system, either as genetic and/or epigenetic factor, in both the cytoplasm and nucleus functions of the adipose stem cells. PMID: 28500728
- This study showed that ADMA, carbonyl groups, CAT and NKA can be useful markers of chronic stress in both males and females with depression, PTSD, and depression concurrent with PTSD. PMID: 28554099
- Inhibition of SP through use of a neurokinin 1 (NK1) antagonist is highly beneficial following both traumatic brain injury (TBI) and ischaemic stroke in pre-clinical models. The role of CGRP is more unclear, especially with respect to TBI, with both elevations and reductions in CGRP levels reported following trauma PMID: 28817088
- serum SP levels during the first week could be used as a biomarker of sepsis mortality. PMID: 28714876
- elevated plasma SP level, up-regulated expression of SP and NK1R indicate that the SP/NK1R complex is important in the development of Atopic dermatitis. PMID: 28460633
- High methylation of TAC1 is associated with head and neck cancer. PMID: 27027429
- Data suggest that serum substance P concentrations at the day of oocyte retrieval after ovulation induction may be used to predict oocyte maturation during in vitro oocyte maturation to be followed by intracytoplasmic sperm injections and may be an indirect indicator for treatment outcome in women with infertility. PMID: 27908224
- expressed in mural granulosa and cumulus cells PMID: 27146034
- Expression substance P/neurokinin A/hemokinin-1 and their preferred neurokinin 1/neurokinin 2 receptors are dysregulated in uterine leiomyomata. PMID: 27456549
- These results suggest that Substance P can retain the therapeutic effect of adipose-derived stem cells by elevating their proliferative and paracrine potential in ex vivo culture. PMID: 28192115
- Data suggest that endogenous tachykinin ligands for neurokinin-1 receptor exhibit large variations in binding/activation kinetics; substance P exhibits fast association kinetics; neurokinin A exhibits slow association kinetics. PMID: 27501920
- Mapping the co-localization of the circadian proteins PER2 and BMAL1 with enkephalin and substance P throughout the rat forebrain has been reported. PMID: 28423013
- Circulating Neurokinin A >/= 50 ng/L is a strong indicator of poor prognosis when Neurokinin A remains above this concentration PMID: 26038607
- Substance P enhances tissue factor release from granulocyte-macrophage colony-stimulating factor-dependent macrophages via the p22phox/beta-arrestin 2/Rho A signaling pathway. PMID: 26852662
- Decrease of mGluR5 receptor density goes parallel with changes in enkephalin and substance P immunoreactivity in Huntington's disease PMID: 24969128
- Report absence of full-length neurokinin-1 receptor protein expression by cutaneous T cells in mycosis fungoides and discuss substance P signaling. PMID: 25783846
- findings suggest a proinflammatory role for SP in autoimmune inflammation PMID: 25690155
- The spatial structures of human, mouse, and rat hemokinin-1 protein isoforms have been presented. PMID: 26349209
- Substance P was significantly increased in hypertrophic scars compared with matched unburned skin. In the reticular dermis and papillary dermis, SP represented significant correlation with pain. PMID: 24908181
- High TAC1 expression is associated with breast cancer. PMID: 25750171
- An increased presence of Substance P in the trochanteric bursa may be related to the pain associated with greater trochanteric pain syndrome. PMID: 24563019
- Substance P is upregulated in the serum of patients with chronic spontaneous urticaria PMID: 24844859
- SP may influence the KP and NKB secretory output via additional autocrine/paracrine mechanisms or regulate GnRH neurosecretion directly. PMID: 23977290
- we define a three-gene panel, CDO1, HOXA9, and TAC1, which we subsequently validate in two independent cohorts of primary NSCLC samples PMID: 24486589
- The results showed that the expression of SP and CGRP was significantly enhanced in the neurogenic SMSCs in response to IL-1beta, IL-6 and TNF-alpha, and the effect was remarkably inhibited by HA. PMID: 25135735
- The antimicrobial peptide substance P has activity against invasive bacteria and fungi. PMID: 12074933
- TAC1 expression level was differentially altered in Crohn disease and ulcerative colitis patients. PMID: 23827863
- study investigated the role of SP in promoting the development of brain tumors; an increase in the levels of SP was noted in brain tumors; results suggest that SP and its NK1 receptor may play a major role in the progression of certain types of brain tumors PMID: 24374326
- SP induces higher levels of CD163 in monocytes and that high expression of CD163 is associated with increases HIV infection in macrophages. PMID: 24577568
- Substance P may be protective acutely following ischemia-reperfusion, but damaging long-term in non-ischemic induced remodeling and heart failure. PMID: 24286592
- Overexpression of membrane metalloendopeptidase inhibits substance P stimulation of cholangiocarcinoma growth. PMID: 24603459
- Copper(II) complexes of neuropeptide gamma with point mutations (S8,16A) products of metal-catalyzed oxidation. PMID: 24084156
- Data indicate that both nucleus pulposus (NP) and annulus fibrosus (AF) cells expressed Substance P (SP) at low levels. PMID: 23873242
- Substance P does not play any important role in pruritus in hemodialysed and peritoneal dialyzed patients. PMID: 23995243
- Serum methylation levels of TAC1, SEPT9, and EYA4 were significant discriminants between stage I colorectal cancer and healthy controls. PMID: 23862763
- TRH, LH-RH and substance P are not affected in Alzheimer disease and Down's syndrome. PMID: 24010162
- The results showed that SP is present in the gengival sulcus in elements undergoing orthodontic forces during treatment with Invisalign technique and not in the control teeth. PMID: 23737731
- Our results suggest that Substance P plays an important role in the development of pancreatic cancer metastasis and PNI, and blocking the SP/NK-1R signaling system is a novel strategy for the treatment of pancreatic cancer. PMID: 23345604
- Data indicate that circulating substance P (SP) and TGF-beta1 levels are increased in patients with myelofibrosis. PMID: 22906243
- CpG hypermethylation is a likely mechanism of TAC1 and TACR1 gene inactivation, supporting the hypothesis that TAC1 and TACR1 play a role in the tumorigenesis of HNSCC and that this hypermethylation may serve as an important biomarker. PMID: 23420374
- SP stimulates complement C3 secretion in adipocytes, and expression of NK1R in human omental adipose tissue correlates with plasma complement C3. PMID: 23257919
- Elevated substance P levels might be regarded as an important contributor of sulfur mustard-induced chronic pruritus and a potential target for reducing the symptoms PMID: 22681041
- Expression of esophageal epithelial CGRP and substance P is increased, and correlates negatively with perception thresholds in non-erosive reflux disease. PMID: 22961239
- This study aims to explore the associations of polymorphisms in tachykinin, precursor 1 (TAC1), tachykinin receptor 1 (TACR1), and tachykinin receptor 2 (TACR2) genes and their interactions with the risk of colorectal cancer among Chinese population. PMID: 22733436
- This study indicates that SP, mediated via NK-1 R, increases collagen remodeling and leads to increased MMP3 mRNA and protein expression that is further enhanced by cyclic mechanical loading. PMID: 22836729
- These data suggest a direct relationship between central nervous system substance P containing neural circuits and aggression in human subjects PMID: 22449753
- Tissue and serum levels of substance P were increased in chronic pancreatitis, while neprilysin levels remained unaltered. PMID: 22572771
- The unique co-existence of SP and phospho-NMDAR1 in tendinopathy presumably reflects a tissue proliferative and nociceptive role. PMID: 22354721
顯示更多
收起更多
-
亞細胞定位:Secreted.
-
蛋白家族:Tachykinin family
-
數據庫鏈接:
Most popular with customers
-
-
YWHAB Recombinant Monoclonal Antibody
Applications: ELISA, WB, IHC, IF, FC
Species Reactivity: Human, Mouse, Rat
-
Phospho-YAP1 (S127) Recombinant Monoclonal Antibody
Applications: ELISA, WB, IHC
Species Reactivity: Human
-
-
-
-
-















