Sod1 Antibody
-
中文名稱:Sod1兔多克隆抗體
-
貨號:CSB-PA022397LA01MO
-
規格:¥440
-
圖片:
-
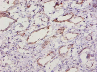
Immunohistochemistry of paraffin-embedded human kidney tissue using CSB-PA022397LA01MO at dilution of 1:10
-
Immunoprecipitating Sod1 in HEK293 whole cell lysate
Lane 1: Rabbit control IgG instead of CSB-PA022397LA01MO in HEK293 whole cell lysate. For western blotting, a HRP-conjugated Protein G antibody was used as the secondary antibody (1/2000)
Lane 2: CSB-PA022397LA01MO (8µg) + HEK293 whole cell lysate (500µg)
Lane 3: HEK293 whole cell lysate (10µg) -
Western Blot
Positive WB detected in: Hela whole cell lysate, 293T whole cell lysate, HepG2 whole cell lysate, Jurkat whole cell lysate, Rat brain tissue, Rat liver tissue, Mouse brain tissue
All lanes: Sod1 antibody at 3µg/ml
Secondary
Goat polyclonal to rabbit IgG at 1/50000 dilution
Predicted band size: 16 kDa
Observed band size: 16 kDa
-
-
其他:
產品詳情
-
產品名稱:Rabbit anti-Mus musculus (Mouse) Sod1 Polyclonal antibody
-
Uniprot No.:
-
基因名:
-
別名:Sod1 antibody; Superoxide dismutase [Cu-Zn] antibody; EC 1.15.1.1 antibody
-
宿主:Rabbit
-
反應種屬:Mouse, Rat, Human
-
免疫原:Recombinant Mouse Superoxide dismutase [Cu-Zn] protein (2-154AA)
-
免疫原種屬:Mus musculus (Mouse)
-
標記方式:Non-conjugated
本頁面中的產品,Sod1 Antibody (CSB-PA022397LA01MO),的標記方式是Non-conjugated。對于Sod1 Antibody,我們還提供其他標記。見下表:
-
克隆類型:Polyclonal
-
抗體亞型:IgG
-
純化方式:>95%, Protein G purified
-
濃度:It differs from different batches. Please contact us to confirm it.
-
保存緩沖液:Preservative: 0.03% Proclin 300
Constituents: 50% Glycerol, 0.01M PBS, PH 7.4 -
產品提供形式:Liquid
-
應用范圍:ELISA, WB, IHC, IP
-
推薦稀釋比:
Application Recommended Dilution WB 1:500-1:5000 IHC 1:10-1:100 IP 1:200-1:2000 -
Protocols:
-
儲存條件:Upon receipt, store at -20°C or -80°C. Avoid repeated freeze.
-
貨期:Basically, we can dispatch the products out in 1-3 working days after receiving your orders. Delivery time maybe differs from different purchasing way or location, please kindly consult your local distributors for specific delivery time.
-
用途:For Research Use Only. Not for use in diagnostic or therapeutic procedures.
相關產品
靶點詳情
-
功能:Destroys radicals which are normally produced within the cells and which are toxic to biological systems.
-
基因功能參考文獻:
- These findings suggest unexpected specificity, mediated by both the primary protein pathology and cellular context, in the induced "secondary aggregation" of a mutant form of SOD1 that could be viewed as a reporter of proteostatic function PMID: 29776378
- Presence of mutated SOD1 protein affects the MHC class I molecules expression and is associated with facial injured motoneurons. PMID: 29943955
- DKO mice spontaneously develop severe liver failure at a relatively young stage, they have the potential for use as a model for hepatic disorders and for testing other potential treatments. PMID: 30050648
- These results suggest that overexpression of SQSTM1 in SOD1 (H46R) mice accelerates disease onset by compromising the protein degradation pathways. PMID: 29843805
- Results support the concept that impaired redox signaling, rather than oxidative damage, in peripheral nerve plays a key role in muscle loss in Sod1(-/-) mice and potentially sarcopenia during aging PMID: 29065712
- This evidence favours mutant SOD1-containing astrocytes releasing destructive species that alter the biology of adjacent astrocytes PMID: 28861673
- Given the close association of stress granules and TDP-43, we wondered whether internalisation of SOD1 aggregates stimulated TDP-43 cytosolic aggregate structures. Addition of recombinant mutant G93A SOD1 aggregates to NSC-34 cells was found to trigger a rapid shift of TDP-43 to the cytoplasm where it was still accumulated after 48 h. PMID: 28560609
- Distinct roles for motor neuron autophagy early and late in the SOD1(G93A) mouse model of ALS. PMID: 28904095
- It was observed that global AQP4 expression increased in the spinal cord of SOD1G93A mice as the disease progressed. However, AQP4 polarization decreased as the disease progressed, and AQP4 polarized localization at the endfeet of astrocytes was decreased in the spinal ventral horn of SOD1G93A mice at the disease onset and end stages. PMID: 28627708
- Superoxide dismutase 1 mutation is associated with amyotrophic lateral sclerosis. PMID: 28019127
- Restrictive Lung Disease in the Cu/Zn Superoxide-Dismutase 1 G93A Amyotrophic Lateral Sclerosis Mouse Model. PMID: 28248134
- Endogenous MIF reduces the accumulation and toxicity of misfolded SOD1 in a mouse model of amyotrophic lateral sclerosis. PMID: 27551074
- This study indicates that axonal and neuromuscular junction degeneration in the SOD1 model of amyotrophic lateral sclerosis is a complex and evolving sequence of events PMID: 27038603
- In this newborn mouse lung hypoxia-reoxygenation model, we found downregulation of genes of mediators of inflammation, an antiapoptotic gene expression pattern, and downregulation of DNA glycosylases. Sod1 and Il1b were significantly differentially expressed when comparing reoxygenation using 60% O2 with air. PMID: 27529351
- the senescence associated secretory phenotype was also increased significantly in the kidney of Sod1(-/)(-) mice compared to WT mice as measured by the expression of transcripts for IL-6 and IL-1b PMID: 27846439
- Our study provides the first direct evidence that Abeta, an AD-linked factor, is associated to the pathogenesis of ALS and provides molecular clues to understand common aggregation mechanisms in the pathogenesis of neurodegenerative diseases. PMID: 28864422
- deletion-rescue experiments show that a respiration-defective mutant of SOD1 is also impaired in its ability to rescue cells from toxicity caused by SOD1 deletion PMID: 28739857
- These findings indicate that a loss of Sig1R function is causative for juvenile amyotrophic lateral sclerosis (ALS16), and collapse of the mitochondria-associated membrane is a common pathomechanism in both Sig1R- and SOD1-linked ALS. PMID: 27821430
- the aberrant mutant SOD1-G3BP1 interaction affects stress granule dynamics PMID: 27481264
- the absence of IP3R2 led to increased innate immunity, which may contribute to the decreased survival of the SOD1(G93A) mice.our data indicate that IP3R2 protects against the negative effects of inflammation, suggesting that the increase in IP3R2 expression in ALS patients is a protective response. PMID: 27378687
- the redox regulation of Jmjd3 is a unique regulatory mechanism for Cu,Zn-superoxide dismutase-mediated profibrotic macrophage polarization. PMID: 26699812
- two ALS-linked factors, SQSTM1 and ALS2, have distinct but additive protective roles against mutant SOD1-mediated toxicity by modulating neuronal proteostasis possibly through the autophagy-endolysosomal system. PMID: 27439389
- we showed that, in the absence of ERalpha, G93A-SOD1 failed to activate OMI and the proteasome, confirming the ERalpha dependence of the response. Taken together, these results demonstrate the IMS-UPRmt activation in SOD1 familial Amyotrophic lateral sclerosis , and suggest that sex differences in the disease phenotype could be linked to differential activation of the ERa axis of the IMS-UPRmt PMID: 28186560
- The cross-sectional area of the pial arteriolar wall was increased in SOD1 deficiency, and a hyperhomocysteinemic diet sensitized SOD1-deficient mice to this hypertrophic effect. Analysis of of the vascular wall demonstrated a increase in the content of smooth muscle and elastin. We conclude that superoxide is a driver of both cerebral vascular hypertrophy and vasomotor dysfunction in a model of hyperhomocysteinemia. PMID: 28414812
- SOD1 has a role in amyotrophic lateral sclerosis disease phenotype PMID: 26878886
- the damage and satellite cell state of the gastrocnemius muscle in SOD1 knockout mice, was investigated. PMID: 26798428
- Events occurring locally in the skeletal muscle of SOD1 mutant mice contribute to the impairment of CaV1.1 function in ALS muscle independently of innervation status. PMID: 27340545
- G85R-SOD1:YFP inclusion pathology quickly spreads to discrete neurons in the brainstem and midbrain that are synaptically connected to spinal neurons PMID: 26650262
- SOD1 aggregates interact with the cell surface triggering activation of Rac1 and subsequent membrane ruffling permitting aggregate uptake via stimulated macropinocytosis PMID: 26520394
- age-related increases were mitigated by caloric restriction but not super oxide dismutase 1 overexpression PMID: 26476235
- postmitotic expression SOD1G93A mutant gene promotes a FAPS phenotype in C2C12 cells, by upregulating HDAC4 protein and preventing the BAF60C-SWI/SNF complex myogenic commitment PMID: 26491230
- The oxidative stress of diabetes mellitus impairs Wnt signaling and causes cardiac outlet defects that are rescued by SOD1 overexpression PMID: 26232087
- This study demonistrated that proprioceptive nerve endings in muscles revealed early and significant alterations at Ia/II proprioceptive nerve endings in muscle spindles and occur alongside those at alpha-motor axons in SOD1(G93A) mice. PMID: 26136049
- Mutant SOD1 Increases APP Expression and Phosphorylation in Cellular and Animal Models of ALS PMID: 26600047
- despite the low visceral fat in Sod1-knockout (KO) mouse, lipid droplets accumulate in the liver to a greater extent than for the wild-type mouse upon fasting PMID: 26474701
- Loss of SOD1 recapitulates many neuromuscular and muscle fiber changes seen in old mice. PMID: 25841780
- mutation is a cause of amyotrophic lateral sclerosis. PMID: 25736480
- Cys111 is a critical residue for the neuronal toxicity of mutant SOD1 in vivo, and the blockage of peroxidation of this residue in mutant SOD1 may constitute a future target for developing ALS treatment. PMID: 25762155
- Homozgous Sod1(D83G/D83G) mutant mice develop progressive degeneration of lower and upper motor neurons. PMID: 25468678
- Although the protein levels of the three catalytic components of the proteasome, beta1, beta2, and beta5, were not significantly altered, their proteolytic activities were decreased in the SOD1-deficient RBCs PMID: 26264915
- SOD1 aggregation follows robust and simplistic rules, providing new mechanistic insights into the amyotrophic lateral sclerosis pathology. PMID: 26221023
- elevation in hyperoxidized Prxs, notably Prx2 and Prx3, was observed in several organs from SOD1-deficient mice. However, a SOD1 deficiency had no impact on the wheel-running activity of the mice PMID: 26079888
- young adult Sod1-/- mice display reduction in skeletal muscle mass and gross alterations in neuromuscular junction. PMID: 24971750
- Phenotype of transgenic mice carrying a very low copy number of the mutant human G93A SOD-1 gene is associated with amyotrophic lateral sclerosis. PMID: 24945277
- SOD prevents thrombomodulin methionine oxidation, promotes protein C activation, and protects against arterial and venous thrombosis in mice. PMID: 26069236
- Studied whether NO exerts modulation of superoxide levels throughout the arterial wall and if it regulates NO-dependent inhibition of neointimal hyperplasia. In vivo, NO increased SOD-1 levels following carotid artery balloon injury in a rat model. PMID: 25460325
- Lipogenesis is activated by oxidative stress, which is more prominent in the case of Sod1 deficiency, and appears to participate in liver steatosis. PMID: 26116535
- in a SOD1(G93A) mouse model of amyotrophic lateral sclerosis, resveratrol ameliorates motor neuron degeneration PMID: 25057490
- exposure to either 14- or 28-day chronic stress resulted in a depressive-like syndrome, behavioural invigoration and aggression, and decreased activity of two major brain peroxidation enzymes, superoxide dismutase and catalase. PMID: 24786329
- Study examined the ease with which motor neuron disease can be transmitted by injecting spinal cord homogenates prepared from paralyzed mice expressing mutant superoxide dismutase 1 into the spinal cords of genetically vulnerable SOD1 transgenic mice PMID: 25262000
顯示更多
收起更多
-
亞細胞定位:Cytoplasm. Nucleus.
-
蛋白家族:Cu-Zn superoxide dismutase family
-
數據庫鏈接:
Most popular with customers
-
-
YWHAB Recombinant Monoclonal Antibody
Applications: ELISA, WB, IHC, IF, FC
Species Reactivity: Human, Mouse, Rat
-
Phospho-YAP1 (S127) Recombinant Monoclonal Antibody
Applications: ELISA, WB, IHC
Species Reactivity: Human
-
-
-
-
-















