SYTL3 Antibody
-
中文名稱:SYTL3兔多克隆抗體
-
貨號:CSB-PA687190LA01HU
-
規格:¥440
-
圖片:
-
Western blot
All lanes: SYTL3 antibody at 5µg/ml
Lane 1: A549 whole cell lysate
Lane 2: THP-1 whole cell lysate
Secondary
Goat polyclonal to rabbit IgG at 1/10000 dilution
Predicted band size: 69, 61 kDa
Observed band size: 69 kDa -
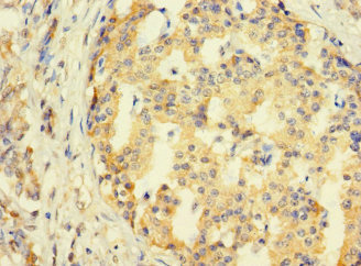
Immunohistochemistry of paraffin-embedded human colon cancer using CSB-PA687190LA01HU at dilution of 1:100
-
Immunohistochemistry of paraffin-embedded human pancreatic cancer using CSB-PA687190LA01HU at dilution of 1:100
-
-
其他:
產品詳情
-
產品名稱:Rabbit anti-Homo sapiens (Human) SYTL3 Polyclonal antibody
-
Uniprot No.:
-
基因名:SYTL3
-
別名:Exophilin 6 antibody; Exophilin-6 antibody; MGC105130 antibody; MGC118883 antibody; MGC118884 antibody; MGC118885 antibody; SLP3 antibody; synaptotagmin like 3 antibody; Synaptotagmin-like protein 3 antibody; Sytl3 antibody; SYTL3_HUMAN antibody
-
宿主:Rabbit
-
反應種屬:Human
-
免疫原:Recombinant Human Synaptotagmin-like protein 3 protein (1-300AA)
-
免疫原種屬:Homo sapiens (Human)
-
標記方式:Non-conjugated
本頁面中的產品,SYTL3 Antibody (CSB-PA687190LA01HU),的標記方式是Non-conjugated。對于SYTL3 Antibody,我們還提供其他標記。見下表:
-
克隆類型:Polyclonal
-
抗體亞型:IgG
-
純化方式:>95%, Protein G purified
-
濃度:It differs from different batches. Please contact us to confirm it.
-
保存緩沖液:Preservative: 0.03% Proclin 300
Constituents: 50% Glycerol, 0.01M PBS, PH 7.4 -
產品提供形式:Liquid
-
應用范圍:ELISA, WB, IHC
-
推薦稀釋比:
Application Recommended Dilution WB 1:1000-1:5000 IHC 1:20-1:200 -
Protocols:
-
儲存條件:Upon receipt, store at -20°C or -80°C. Avoid repeated freeze.
-
貨期:Basically, we can dispatch the products out in 1-3 working days after receiving your orders. Delivery time maybe differs from different purchasing way or location, please kindly consult your local distributors for specific delivery time.
-
用途:For Research Use Only. Not for use in diagnostic or therapeutic procedures.
相關產品
靶點詳情
-
功能:May act as Rab effector protein and play a role in vesicle trafficking. Binds phospholipids in the presence of calcium ions.
-
基因功能參考文獻:
- Synaptotagmin-like protein 3-a (Slp3-a) contains an N-terminal Slp homology domain (SHD) (PMID: 11327731). The SHD of Slp3-a specifically and directly binds the GTP-bound form of Rab27A. PMID: 11773082
-
亞細胞定位:Endomembrane system; Peripheral membrane protein.
-
數據庫鏈接:
Most popular with customers
-
-
YWHAB Recombinant Monoclonal Antibody
Applications: ELISA, WB, IHC, IF, FC
Species Reactivity: Human, Mouse, Rat
-
Phospho-YAP1 (S127) Recombinant Monoclonal Antibody
Applications: ELISA, WB, IHC
Species Reactivity: Human
-
-
-
-
-















