SYT7 Antibody
-
中文名稱:SYT7兔多克隆抗體
-
貨號:CSB-PA120806
-
規格:¥1100
-
圖片:
-
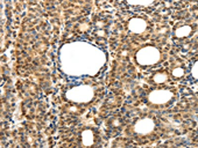
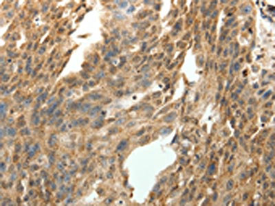
The image on the left is immunohistochemistry of paraffin-embedded Human thyroid cancer tissue using CSB-PA120806(SYT7 Antibody) at dilution 1/15, on the right is treated with fusion protein. (Original magnification: ×200)
-
The image on the left is immunohistochemistry of paraffin-embedded Human ovarian cancer tissue using CSB-PA120806(SYT7 Antibody) at dilution 1/15, on the right is treated with fusion protein. (Original magnification: ×200)
-
Gel: 10%SDS-PAGE, Lysate: 40 μg, Lane 1-2: Lncap cells, SKOV3 cells, Primary antibody: CSB-PA120806(SYT7 Antibody) at dilution 1/200, Secondary antibody: Goat anti rabbit IgG at 1/8000 dilution, Exposure time: 1 minute
-
-
其他:
產品詳情
-
Uniprot No.:
-
基因名:SYT7
-
別名:SYT7; PCANAP7; Synaptotagmin-7; IPCA-7; Prostate cancer-associated protein 7; Synaptotagmin VII; SytVII
-
宿主:Rabbit
-
反應種屬:Human,Mouse
-
免疫原:Fusion protein of Human SYT7
-
免疫原種屬:Homo sapiens (Human)
-
標記方式:Non-conjugated
-
抗體亞型:IgG
-
純化方式:Antigen affinity purification
-
濃度:It differs from different batches. Please contact us to confirm it.
-
保存緩沖液:-20°C, pH7.4 PBS, 0.05% NaN3, 40% Glycerol
-
產品提供形式:Liquid
-
應用范圍:ELISA,WB,IHC
-
推薦稀釋比:
Application Recommended Dilution ELISA 1:1000-1:5000 WB 1:500-1:2000 IHC 1:15-1:50 -
Protocols:
-
儲存條件:Upon receipt, store at -20°C or -80°C. Avoid repeated freeze.
-
貨期:Basically, we can dispatch the products out in 1-3 working days after receiving your orders. Delivery time maybe differs from different purchasing way or location, please kindly consult your local distributors for specific delivery time.
-
用途:For Research Use Only. Not for use in diagnostic or therapeutic procedures.
相關產品
靶點詳情
-
功能:Ca(2+) sensor involved in Ca(2+)-dependent exocytosis of secretory and synaptic vesicles through Ca(2+) and phospholipid binding to the C2 domain. Ca(2+) induces binding of the C2-domains to phospholipid membranes and to assembled SNARE-complexes; both actions contribute to triggering exocytosis. SYT7 binds Ca(2+) with high affinity and slow kinetics compared to other synaptotagmins. Involved in Ca(2+)-triggered lysosomal exocytosis, a major component of the plasma membrane repair. Ca(2+)-regulated delivery of lysosomal membranes to the cell surface is also involved in the phagocytic uptake of particles by macrophages. Ca(2+)-triggered lysosomal exocytosis also plays a role in bone remodeling by regulating secretory pathways in osteoclasts and osteoblasts. In case of infection, involved in participates cell invasion by Trypanosoma cruzi via Ca(2+)-triggered lysosomal exocytosis. Involved in cholesterol transport from lysosome to peroxisome by promoting membrane contacts between lysosomes and peroxisomes: probably acts by promoting vesicle fusion by binding phosphatidylinositol-4,5-bisphosphate on peroxisomal membranes. Acts as a key mediator of synaptic facilitation, a process also named short-term synaptic potentiation: synaptic facilitation takes place at synapses with a low initial release probability and is caused by influx of Ca(2+) into the axon terminal after spike generation, increasing the release probability of neurotransmitters. Probably mediates synaptic facilitation by directly increasing the probability of release. May also contribute to synaptic facilitation by regulating synaptic vesicle replenishment, a process required to ensure that synaptic vesicles are ready for the arrival of the next action potential: SYT7 is required for synaptic vesicle replenishment by acting as a sensor for Ca(2+) and by forming a complex with calmodulin. Also acts as a regulator of Ca(2+)-dependent insulin and glucagon secretion in beta-cells. Triggers exocytosis by promoting fusion pore opening and fusion pore expansion in chromaffin cells. Also regulates the secretion of some non-synaptic secretory granules of specialized cells.
-
基因功能參考文獻:
- the downregulation of SYT7 inhibited glioblastoma growth by promoting cellular apoptosis. PMID: 28990113
- results identify a function for Syt7 at synapses that exhibit overall depression, and demonstrate that facilitation has an unexpected and important function in producing frequency-invariant transmission PMID: 29088700
- Plexin C1 deficiency permits synaptotagmin 7-mediated macrophage migration and enhances mammalian lung fibrosis PMID: 27609773
- RNA knockdown of Syt-7 in human islets reduced first- and second-phase glucose-stimulated insulin secretion attributed to the reduction of exocytosis of predocked and newcomer insulin secretory granules PMID: 27207520
- Data indicate that small protein sequence changes in the Ca(2+)-binding loops of the C2 domains may give rise to the difference in binding kinetics between Syt-1 and Syt-7 isoforms. PMID: 27997124
- the results suggest that the two C2 domains of Syt7 bind independently to planar membranes, in contrast to reported interdomain cooperativity in Syt1 PMID: 25437758
- The membrane dissociation of SYT7 C2A domain but not SYT1 C2A domain is slowed by Na(2)SO(4) and trehalose, solutes that enhance the hydrophobic effect. PMID: 22966849
- identified the conserved alternative splicing events in the spacer domain of Syt VII; also shown that Syt VIIa-GFP is mainly localized in the perinuclear region and tips of neurites (dense-core vesicles), and not in the plasma membrane PMID: 12071850
顯示更多
收起更多
-
亞細胞定位:Cell membrane; Single-pass membrane protein. Cell junction, synapse, presynaptic cell membrane; Single-pass membrane protein. Cytoplasmic vesicle, secretory vesicle, synaptic vesicle membrane; Single-pass membrane protein. Lysosome membrane; Single-pass membrane protein. Cytoplasmic vesicle, phagosome membrane; Single-pass membrane protein. Peroxisome membrane; Single-pass membrane protein. Cytoplasmic vesicle, secretory vesicle membrane; Single-pass membrane protein.
-
蛋白家族:Synaptotagmin family
-
組織特異性:Expressed in a variety of adult and fetal tissues.
-
數據庫鏈接:
Most popular with customers
-
-
YWHAB Recombinant Monoclonal Antibody
Applications: ELISA, WB, IHC, IF, FC
Species Reactivity: Human, Mouse, Rat
-
Phospho-YAP1 (S127) Recombinant Monoclonal Antibody
Applications: ELISA, WB, IHC
Species Reactivity: Human
-
-
-
-
-















