SYT4 Antibody
-
中文名稱:SYT4兔多克隆抗體
-
貨號:CSB-PA193423
-
規格:¥1100
-
圖片:
-
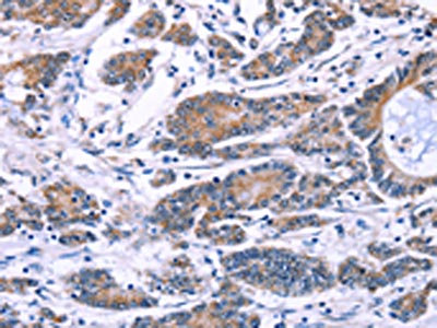
The image on the left is immunohistochemistry of paraffin-embedded Human colon cancer tissue using CSB-PA193423(SYT4 Antibody) at dilution 1/60, on the right is treated with fusion protein. (Original magnification: ×200)
-
Gel: 8%SDS-PAGE, Lysate: 40 μg, Lane 1-2: Hela cells, Jurkat cells, Primary antibody: CSB-PA193423(SYT4 Antibody) at dilution 1/700, Secondary antibody: Goat anti rabbit IgG at 1/8000 dilution, Exposure time: 20 seconds
-
-
其他:
產品詳情
-
Uniprot No.:
-
基因名:SYT4
-
別名:SYT4 antibody; KIAA1342 antibody; Synaptotagmin-4 antibody; Synaptotagmin IV antibody; SytIV antibody
-
宿主:Rabbit
-
反應種屬:Human,Mouse,Rat
-
免疫原:Fusion protein of Human SYT4
-
免疫原種屬:Homo sapiens (Human)
-
標記方式:Non-conjugated
-
抗體亞型:IgG
-
純化方式:Antigen affinity purification
-
濃度:It differs from different batches. Please contact us to confirm it.
-
保存緩沖液:-20°C, pH7.4 PBS, 0.05% NaN3, 40% Glycerol
-
產品提供形式:Liquid
-
應用范圍:ELISA,WB,IHC
-
推薦稀釋比:
Application Recommended Dilution ELISA 1:2000-1:5000 WB 1:500-1:2000 IHC 1:25-1:100 -
Protocols:
-
儲存條件:Upon receipt, store at -20°C or -80°C. Avoid repeated freeze.
-
貨期:Basically, we can dispatch the products out in 1-3 working days after receiving your orders. Delivery time maybe differs from different purchasing way or location, please kindly consult your local distributors for specific delivery time.
-
用途:For Research Use Only. Not for use in diagnostic or therapeutic procedures.
相關產品
靶點詳情
-
功能:Synaptotagmin family member which does not bind Ca(2+). Involved in neuronal dense core vesicles (DCVs) mobility through its interaction with KIF1A. Upon increased neuronal activity, phosphorylation by MAPK8/JNK1 destabilizes the interaction with KIF1A and captures DCVs to synapses. Plays a role in dendrite formation by melanocytes.
-
基因功能參考文獻:
- Syt4 Overexpression Represses Basal Insulin Secretion and Impairs Islet Morphogenesis. PMID: 29656931
- Data show although no any significant differences between patient groups and lean subjects of proteins SYT4, BAG3, APOA1, and VAV3, except for VGF protein, there was a trend between the expression of these four genes and their protein levels. PMID: 26337083
- Synaptotagmin 4 negatively regulates oxytocin exocytosis, and dietary obesity is associated with increased synaptotagmin 4 binding to vesicles. PMID: 21315262
-
亞細胞定位:Cytoplasmic vesicle, secretory vesicle, neuronal dense core vesicle membrane; Single-pass membrane protein.
-
蛋白家族:Synaptotagmin family
-
組織特異性:Expressed in melanocytes. Expressed in brain. Within brain, expression is highest in hippocampus, with substantial levels also detected in amygdala and thalamus.
-
數據庫鏈接:
Most popular with customers
-
YWHAB Recombinant Monoclonal Antibody
Applications: ELISA, WB, IHC, IF, FC
Species Reactivity: Human, Mouse, Rat
-
Phospho-YAP1 (S127) Recombinant Monoclonal Antibody
Applications: ELISA, WB, IHC
Species Reactivity: Human
-
-
-
-
-
-















