SYT11 Antibody
-
中文名稱:SYT11兔多克隆抗體
-
貨號:CSB-PA097385
-
規格:¥1100
-
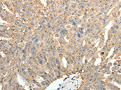
圖片:
-
The image on the left is immunohistochemistry of paraffin-embedded Human thyroid cancer tissue using CSB-PA097385(SYT11 Antibody) at dilution 1/30, on the right is treated with fusion protein. (Original magnification: ×200)
-
The image on the left is immunohistochemistry of paraffin-embedded Human ovarian cancer tissue using CSB-PA097385(SYT11 Antibody) at dilution 1/30, on the right is treated with fusion protein. (Original magnification: ×200)
-
-
其他:
產品詳情
-
Uniprot No.:
-
基因名:SYT11
-
別名:DKFZp781D015 antibody; KIAA0080 antibody; MGC10881 antibody; MGC17226 antibody; Synaptotagmin 11 antibody; Synaptotagmin 12 antibody; Synaptotagmin XI antibody; Synaptotagmin-11 antibody; Synaptotagmin11 antibody; Synaptotagmin12 antibody; SynaptotagminXI antibody; SYT 11 antibody; SYT 12 antibody; Syt XI antibody; Syt11 antibody; SYT11_HUMAN antibody; SYT12 antibody; SytXI antibody
-
宿主:Rabbit
-
反應種屬:Human,Mouse,Rat
-
免疫原:Fusion protein of Human SYT11
-
免疫原種屬:Homo sapiens (Human)
-
標記方式:Non-conjugated
-
抗體亞型:IgG
-
純化方式:Antigen affinity purification
-
濃度:It differs from different batches. Please contact us to confirm it.
-
保存緩沖液:-20°C, pH7.4 PBS, 0.05% NaN3, 40% Glycerol
-
產品提供形式:Liquid
-
應用范圍:ELISA,IHC
-
推薦稀釋比:
Application Recommended Dilution ELISA 1:2000-1:5000 IHC 1:50-1:200 -
Protocols:
-
儲存條件:Upon receipt, store at -20°C or -80°C. Avoid repeated freeze.
-
貨期:Basically, we can dispatch the products out in 1-3 working days after receiving your orders. Delivery time maybe differs from different purchasing way or location, please kindly consult your local distributors for specific delivery time.
-
用途:For Research Use Only. Not for use in diagnostic or therapeutic procedures.
相關產品
靶點詳情
-
功能:Synaptotagmin family member involved in vesicular and membrane trafficking which does not bind Ca(2+). Inhibits clathrin-mediated and bulk endocytosis, functions to ensure precision in vesicle retrieval. Plays an important role in dopamine transmission by regulating endocytosis and the vesicle-recycling process. Essential component of a neuronal vesicular trafficking pathway that differs from the synaptic vesicle trafficking pathway but is crucial for development and synaptic plasticity. In macrophages and microglia, inhibits the conventional cytokine secretion, of at least IL6 and TNF, and phagocytosis. In astrocytes, regulates lysosome exocytosis, mechanism required for the repair of injured astrocyte cell membrane. Required for the ATP13A2-mediated regulation of the autophagy-lysosome pathway.
-
基因功能參考文獻:
- ATP13A2 and SYT11 form a functional network in the regulation of the autophagy-lysosome pathway, which may contribute to forms of Parkinson's Disease-associated neurodegeneration. PMID: 27278822
- parkin deficiency induces synaptotagmin-11 accumulation and PD-like neurotoxicity in mouse models, which is reversed by SYT11 knockdown in the SNpc or knockout of SYT11 restricted to dopaminergic neuron PMID: 29311685
- In summary, This study supports the existence of association between Parkinson disease and markers in or around SYT11 PMID: 26944171
- The genetic variations of VAMP2, Synaptotagmin XI might be indication of the relationship between these genes and idiopathic generalized epilepsy PMID: 24164654
- parkin interacts with and ubiquitinates synaptotagmin XI PMID: 12925569
- Lack of disease-causing mutations in a detailed analysis of a large sample of familial and sporadic Parkinson's disease patients argues against a major role of mutations in the synaptotagmin XI gene in PD. PMID: 15354386
- Excessive expression of Syt11 can be associated with schizophrenia. PMID: 17192956
顯示更多
收起更多
-
亞細胞定位:Cytoplasmic vesicle membrane; Single-pass membrane protein. Perikaryon. Golgi apparatus, trans-Golgi network membrane; Single-pass membrane protein. Recycling endosome membrane; Single-pass membrane protein. Lysosome membrane; Single-pass membrane protein. Cytoplasmic vesicle, phagosome. Cell projection, axon. Cell projection, dendrite. Cell junction, synapse, postsynaptic density. Recycling endosome membrane; Single-pass membrane protein. Cytoplasmic vesicle, clathrin-coated vesicle membrane; Single-pass membrane protein. Perikaryon.
-
蛋白家族:Synaptotagmin family
-
數據庫鏈接:
Most popular with customers
-
-
YWHAB Recombinant Monoclonal Antibody
Applications: ELISA, WB, IHC, IF, FC
Species Reactivity: Human, Mouse, Rat
-
Phospho-YAP1 (S127) Recombinant Monoclonal Antibody
Applications: ELISA, WB, IHC
Species Reactivity: Human
-
-
-
-
-















