SYNCRIP Antibody
-
中文名稱:SYNCRIP兔多克隆抗體
-
貨號:CSB-PA03334A0Rb
-
規格:¥440
-
圖片:
-
Western blot
All lanes: SYNCRIP antibody at 2µg/ml
Lane 1: EC109 whole cell lysate
Lane 2: 293T whole cell lysate
Secondary
Goat polyclonal to rabbit IgG at 1/15000 dilution
Predicted band size: 70, 66, 63, 59, 47 kDa
Observed band size: 70, 36 kDa -
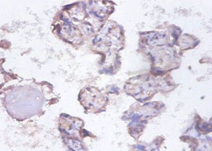
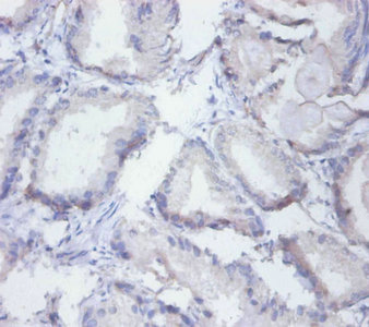
Immunohistochemistry of paraffin-embedded human prostate tissue using CSB-PA03334A0Rb at dilution of 1:100
-
Immunohistochemistry of paraffin-embedded human placenta tissue using CSB-PA03334A0Rb at dilution of 1:100
-
-
其他:
產品詳情
-
產品名稱:Rabbit anti-Homo sapiens (Human) SYNCRIP Polyclonal antibody
-
Uniprot No.:
-
基因名:SYNCRIP
-
別名:cytoplasmic RNA-interacting protein antibody; dJ3J17.2 antibody; Glycine and tyrosine rich RNA binding protein antibody; Glycine- and tyrosine-rich RNA-binding protein antibody; GRY RBP antibody; GRY-RBP antibody; GRYRBP antibody; Heterogeneous nuclear ribonucleoprotein Q antibody; hnRNP Q antibody; HNRPQ antibody; HNRPQ_HUMAN antibody; HNRPQ1 antibody; NS1 associated protein 1 antibody; NS1-associated protein 1 antibody; NSAP1 antibody; pp68 antibody; RP1 3J17.2 antibody; Synaptotagmin binding cytoplasmic RNA interacting protein antibody; Synaptotagmin-binding antibody; Syncrip antibody
-
宿主:Rabbit
-
反應種屬:Human
-
免疫原:Recombinant Human Heterogeneous nuclear ribonucleoprotein Q protein (2-191AA)
-
免疫原種屬:Homo sapiens (Human)
-
標記方式:Non-conjugated
本頁面中的產品,SYNCRIP Antibody (CSB-PA03334A0Rb),的標記方式是Non-conjugated。對于SYNCRIP Antibody,我們還提供其他標記。見下表:
-
克隆類型:Polyclonal
-
抗體亞型:IgG
-
純化方式:>95%, Protein G purified
-
濃度:It differs from different batches. Please contact us to confirm it.
-
保存緩沖液:Preservative: 0.03% Proclin 300
Constituents: 50% Glycerol, 0.01M PBS, PH 7.4 -
產品提供形式:Liquid
-
應用范圍:ELISA, WB, IHC
-
推薦稀釋比:
Application Recommended Dilution WB 1:1000-1:5000 IHC 1:20-1:200 -
Protocols:
-
儲存條件:Upon receipt, store at -20°C or -80°C. Avoid repeated freeze.
-
貨期:Basically, we can dispatch the products out in 1-3 working days after receiving your orders. Delivery time maybe differs from different purchasing way or location, please kindly consult your local distributors for specific delivery time.
-
用途:For Research Use Only. Not for use in diagnostic or therapeutic procedures.
相關產品
靶點詳情
-
功能:Heterogenous nuclear ribonucleoprotein (hnRNP) implicated in mRNA processing mechanisms. Component of the CRD-mediated complex that promotes MYC mRNA stability. Isoform 1, isoform 2 and isoform 3 are associated in vitro with pre-mRNA, splicing intermediates and mature mRNA protein complexes. Isoform 1 binds to apoB mRNA AU-rich sequences. Isoform 1 is part of the APOB mRNA editosome complex and may modulate the postranscriptional C to U RNA-editing of the APOB mRNA through either by binding to A1CF (APOBEC1 complementation factor), to APOBEC1 or to RNA itself. May be involved in translationally coupled mRNA turnover. Implicated with other RNA-binding proteins in the cytoplasmic deadenylation/translational and decay interplay of the FOS mRNA mediated by the major coding-region determinant of instability (mCRD) domain. Interacts in vitro preferentially with poly(A) and poly(U) RNA sequences. Isoform 3 may be involved in cytoplasmic vesicle-based mRNA transport through interaction with synaptotagmins. Component of the GAIT (gamma interferon-activated inhibitor of translation) complex which mediates interferon-gamma-induced transcript-selective translation inhibition in inflammation processes. Upon interferon-gamma activation assembles into the GAIT complex which binds to stem loop-containing GAIT elements in the 3'-UTR of diverse inflammatory mRNAs (such as ceruplasmin) and suppresses their translation; seems not to be essential for GAIT complex function.
-
基因功能參考文獻:
- A cryptic RNA-binding domain mediates Syncrip recognition and exosomal partitioning of miRNA targets. PMID: 29483512
- our data indicate that hnRNP Q1 is a novel trans-acting factor that binds to Aurora-A mRNA 5'-UTRs and regulates its translation, which increases cell proliferation and contributes to tumorigenesis in colorectal cancer PMID: 28079881
- SYNCRIP is required for survival of leukemia cells. SYNCRIP controls the myeloid leukemia stem cell program. PMID: 28436985
- The acidic domain is a unique structural feature of the splicing factor SYNCRIP. PMID: 27081926
- hnRNPQ6 is required for APOBEC1-enhanced IL8 production. PMID: 25100733
- The hnRNP Q is a novel substrate of SHP2 and the SHP2 activity may be also involved in RNA metabolisms via dephosphorylation of hnRNP Q. PMID: 23946508
- The inhibitory effect of hnRNP Q on YB-1 mRNA translation can be explained by its ability to pro-mote YB-1 binding to the regulatory element within the YB-1 mRNA 3' UTR. PMID: 23980891
- These data indicate that hnRNP Q can stimulate the protein production of HIV-1 Rev-dependent mRNAs without changing mRNA levels and mRNA export, respectively. PMID: 23679954
- Data demonstrate that expression levels of hnRNP A1, Q, K, R, and U influence HIV-1 production by persistently infected PMID: 19808671
- The overexpression of NSAP1 specifically enhanced HCV IRES-dependent translation, and knockdown of NSAP1 by use of a small interfering RNA specifically inhibited the translation of HCV mRNA. PMID: 15340051
- SYNCRIP is transported within the dendrite as a component of mRNA granules PMID: 15475564
- methylation of hnRNPQ is important for its nuclear localization PMID: 16765914
- Results suggest hnRNPQ interacts via its acidic domain (AcD) with Apobec1 and that this interaction is regulated by AcD phosphorylation. PMID: 17010310
- Data demonstrate that hnRNP Q is a splicing modulator of SMN2, further underscoring the potential of hnRNP Q as a therapeutic target for spinal muscular atrophy. PMID: 18794368
- Results demonstrate that galectin-3 stabilizes hnRNP Q via complex formation, and reduction in the hnRNP Q level leads to slow proliferation and less susceptibility to 5-FU. PMID: 19137262
- SYNCRIP participates in both RNA replication and translation in HCV life cycle. PMID: 19232660
顯示更多
收起更多
-
亞細胞定位:Cytoplasm. Microsome. Endoplasmic reticulum. Nucleus.; [Isoform 1]: Nucleus, nucleoplasm.; [Isoform 2]: Nucleus, nucleoplasm.; [Isoform 3]: Nucleus, nucleoplasm.
-
組織特異性:Ubiquitously expressed. Detected in heart, brain, pancreas, placenta, spleen, lung, liver, skeletal muscle, kidney, thymus, prostate, uterus, small intestine, colon, peripheral blood and testis.
-
數據庫鏈接:
Most popular with customers
-
-
YWHAB Recombinant Monoclonal Antibody
Applications: ELISA, WB, IHC, IF, FC
Species Reactivity: Human, Mouse, Rat
-
Phospho-YAP1 (S127) Recombinant Monoclonal Antibody
Applications: ELISA, WB, IHC
Species Reactivity: Human
-
-
-
-
-















