SUPT3H Antibody
-
中文名稱:SUPT3H兔多克隆抗體
-
貨號:CSB-PA022956LA01HU
-
規格:¥440
-
圖片:
-
Western blot
All lanes: SUPT3H antibody at 2µg/ml
Lane 1: Mouse brain tissue
Lane 2: Colo320 whole cell lysate
Secondary
Goat polyclonal to rabbit IgG at 1/10000 dilution
Predicted band size: 36, 38 kDa
Observed band size: 36 kDa -
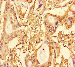
Immunohistochemistry of paraffin-embedded human pancreatic cancer using CSB-PA022956LA01HU at dilution of 1:100
-
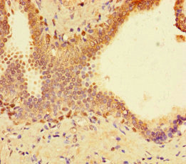
Immunohistochemistry of paraffin-embedded human prostate cancer using CSB-PA022956LA01HU at dilution of 1:100
-
-
其他:
產品詳情
-
產品名稱:Rabbit anti-Homo sapiens (Human) SUPT3H Polyclonal antibody
-
Uniprot No.:
-
基因名:SUPT3H
-
別名:SUPT3H antibody; SPT3 antibody; Transcription initiation protein SPT3 homolog antibody; SPT3-like protein antibody
-
宿主:Rabbit
-
反應種屬:Human, Mouse
-
免疫原:Recombinant Human Transcription initiation protein SPT3 homolog protein (1-328AA)
-
免疫原種屬:Homo sapiens (Human)
-
標記方式:Non-conjugated
本頁面中的產品,SUPT3H Antibody (CSB-PA022956LA01HU),的標記方式是Non-conjugated。對于SUPT3H Antibody,我們還提供其他標記。見下表:
-
克隆類型:Polyclonal
-
抗體亞型:IgG
-
純化方式:>95%, Protein G purified
-
濃度:It differs from different batches. Please contact us to confirm it.
-
保存緩沖液:Preservative: 0.03% Proclin 300
Constituents: 50% Glycerol, 0.01M PBS, PH 7.4 -
產品提供形式:Liquid
-
應用范圍:ELISA, WB, IHC
-
推薦稀釋比:
Application Recommended Dilution WB 1:1000-1:5000 IHC 1:20-1:200 -
Protocols:
-
儲存條件:Upon receipt, store at -20°C or -80°C. Avoid repeated freeze.
-
貨期:Basically, we can dispatch the products out in 1-3 working days after receiving your orders. Delivery time maybe differs from different purchasing way or location, please kindly consult your local distributors for specific delivery time.
-
用途:For Research Use Only. Not for use in diagnostic or therapeutic procedures.
相關產品
靶點詳情
-
功能:Probable transcriptional activator.
-
基因功能參考文獻:
- significance of the formation PVT1- SUPT3H chimeric gene remains unknown and the overexpression of MYC by ectopic promoter on chromosome 6 may be essential to tumor genesis. PMID: 25860292
- we identified rs41314453 as the main genetic determinant of ADAMTS13 activity, and we present preliminary findings for further associations at the ADAMTS13 and SUPT3H loci. PMID: 25934476
- identified a significant excess of genes with pivotal roles in bone homeostasis, such as PPPT3B and the height associated SUPT3H-RUNX2 PMID: 22407027
- suggest a novel STAF65gamma-dependent function of STAGA-type complexes in cell proliferation and transcription activation by MYC postloading of TFIID and RNA polymerase II that involves direct recruitment of core Mediator PMID: 17967894
- Found evidence of Mendelian Transmission Distortion in the region harboring SUPT3H in one HapMap population. PMID: 19259136
顯示更多
收起更多
-
亞細胞定位:Nucleus.
-
蛋白家族:SPT3 family
-
組織特異性:Expressed in all tissues tested including pancreas, kidney, skeletal muscle, liver, lung, placenta, brain and heart.
-
數據庫鏈接:
Most popular with customers
-
-
YWHAB Recombinant Monoclonal Antibody
Applications: ELISA, WB, IHC, IF, FC
Species Reactivity: Human, Mouse, Rat
-
Phospho-YAP1 (S127) Recombinant Monoclonal Antibody
Applications: ELISA, WB, IHC
Species Reactivity: Human
-
-
-
-
-















