SUPT16H Antibody
-
中文名稱:SUPT16H兔多克隆抗體
-
貨號:CSB-PA835618LA01HU
-
規格:¥440
-
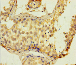
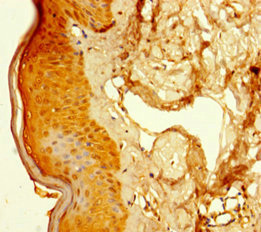
圖片:
-
其他:
產品詳情
-
產品名稱:Rabbit anti-Homo sapiens (Human) SUPT16H Polyclonal antibody
-
Uniprot No.:
-
基因名:SUPT16H
-
別名:CDC68 antibody; Chromatin specific transcription elongation factor 140 kDa subunit antibody; Chromatin-specific transcription elongation factor 140 kDa subunit antibody; Facilitates chromatin transcription complex subunit SPT16 antibody; FACT 140 kDa subunit antibody; FACT antibody; FACT complex subunit SPT16 antibody; FACTp140 antibody; FLJ10857 antibody; FLJ14010 antibody; hSPT16 antibody; SP16H_HUMAN antibody; Suppressor of Ty 16 homolog antibody; Supt16h antibody
-
宿主:Rabbit
-
反應種屬:Human
-
免疫原:Recombinant Human FACT complex subunit SPT16 protein (187-282AA)
-
免疫原種屬:Homo sapiens (Human)
-
標記方式:Non-conjugated
本頁面中的產品,SUPT16H Antibody (CSB-PA835618LA01HU),的標記方式是Non-conjugated。對于SUPT16H Antibody,我們還提供其他標記。見下表:
-
克隆類型:Polyclonal
-
抗體亞型:IgG
-
純化方式:>95%, Protein G purified
-
濃度:It differs from different batches. Please contact us to confirm it.
-
保存緩沖液:Preservative: 0.03% Proclin 300
Constituents: 50% Glycerol, 0.01M PBS, PH 7.4 -
產品提供形式:Liquid
-
應用范圍:ELISA, IHC
-
推薦稀釋比:
Application Recommended Dilution IHC 1:20-1:200 -
Protocols:
-
儲存條件:Upon receipt, store at -20°C or -80°C. Avoid repeated freeze.
-
貨期:Basically, we can dispatch the products out in 1-3 working days after receiving your orders. Delivery time maybe differs from different purchasing way or location, please kindly consult your local distributors for specific delivery time.
-
用途:For Research Use Only. Not for use in diagnostic or therapeutic procedures.
相關產品
靶點詳情
-
功能:Component of the FACT complex, a general chromatin factor that acts to reorganize nucleosomes. The FACT complex is involved in multiple processes that require DNA as a template such as mRNA elongation, DNA replication and DNA repair. During transcription elongation the FACT complex acts as a histone chaperone that both destabilizes and restores nucleosomal structure. It facilitates the passage of RNA polymerase II and transcription by promoting the dissociation of one histone H2A-H2B dimer from the nucleosome, then subsequently promotes the reestablishment of the nucleosome following the passage of RNA polymerase II. The FACT complex is probably also involved in phosphorylation of 'Ser-392' of p53/TP53 via its association with CK2 (casein kinase II).
-
基因功能參考文獻:
- present observation and published data suggest that phenotype present in patients with duplication of 14q11.2 region, encompassing the SUPT16H and CHD8 genes, resemble in some extend features described in cases carrying microdeletion of that genomic region PMID: 26834018
- FACT is required for TOP1 binding to H3K4me3 at non-B DNA containing chromatin for the site-specific cleavage. PMID: 26842758
- In the absence of FACT complex, SSRP1 and SPT16 mRNAs are unstable and inefficiently translated, making reactivation of FACT function unlikely in normal cells. PMID: 23839038
- SUPT16H and RNF40 are required for proper DNA end resection and timely DNA repair after double-strand breaks. PMID: 22031019
- facilitates RNA polymerase II driven transcription by destabilizing nucleosomal structure so that one histone H2A-H2B dimer is removed during enzyme passage; possesses intrinsic histone chaperone activity and can deposit core histones onto DNA PMID: 12934006
- Results demonstrate that elongation by RNA polymerase II through the nucleosomal barrier is minimally dependent upon (1) FACT and (2) the recruitment of PAF and the H2B monoubiquitination machinery. PMID: 16713563
- FACT is an integral and conserved component of the endogenous replication machinery, and support a model in which the concerted action of helicase and chromatin-modifying activities promotes chromosome replication. PMID: 16902406
- yFACT and Set2 oppose one another during transcriptional initiation at a step involving DNA binding by TBP and TFIIA. PMID: 16977311
- SSRP1 has Spt16-dependent and -independent roles in regulating gene transcription in human cells. PMID: 17209051
- Data establish FACT as the major regulator involved in H2AX exchange process that is modulated by H2AX phosphorylation and Spt16 ADP-ribosylation. PMID: 18406329
顯示更多
收起更多
-
亞細胞定位:Nucleus. Chromosome. Note=Colocalizes with RNA polymerase II on chromatin. Recruited to actively transcribed loci.
-
蛋白家族:Peptidase M24 family, SPT16 subfamily
-
組織特異性:Ubiquitous.
-
數據庫鏈接:
Most popular with customers
-
-
YWHAB Recombinant Monoclonal Antibody
Applications: ELISA, WB, IHC, IF, FC
Species Reactivity: Human, Mouse, Rat
-
Phospho-YAP1 (S127) Recombinant Monoclonal Antibody
Applications: ELISA, WB, IHC
Species Reactivity: Human
-
-
-
-
-















