SULT2B1 Antibody
-
中文名稱:SULT2B1兔多克隆抗體
-
貨號:CSB-PA022943ESR2HU
-
規格:¥440
-
圖片:
-
Western blot
All lanes: Sulfotransferase family cytosolic 2B member 1 antibody at 4μg/ml + MCF-7 whole cell lysate
Secondary
Goat polyclonal to rabbit IgG at 1/10000 dilution
Predicted band size: 42, 40 kDa
Observed band size: 42 kDa -
Immunohistochemistry of paraffin-embedded human prostate tissue using CSB-PA022943ESR2HU at dilution of 1:100
-
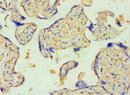
Immunohistochemistry of paraffin-embedded human placenta tissue using CSB-PA022943ESR2HU at dilution of 1:100
-
Immunoprecipitating SULT2B1 in MCF-7 whole cell lysate
Lane 1: Rabbit control IgG instead of (1μg) instead of CSB-PA022943ESR2HU in MCF-7 whole cell lysate. For western blotting, a HRP-conjugated anti-rabbit IgG, specific to the non-reduced form of IgG was used as the Secondary antibody (1/50000)
Lane 2: CSB-PA022943ESR2HU (4μg) + MCF-7 whole cell lysate (500μg)
Lane 3: MCF-7 whole cell lysate (20μg)
-
-
其他:
產品詳情
-
產品名稱:Rabbit anti-Homo sapiens (Human) SULT2B1 Polyclonal antibody
-
Uniprot No.:
-
基因名:SULT2B1
-
別名:Alcohol sulfotransferase antibody; EC 2.8.2.2 antibody; HSST2 antibody; Hydroxysteroid sulfotransferase 2 antibody; ST2B1 antibody; ST2B1_HUMAN antibody; Sulfotransferase 2B1 antibody; Sulfotransferase family cytosolic 2B member 1 antibody; SULT2B1 antibody; SULT2B1a antibody; SULT2B1b antibody
-
宿主:Rabbit
-
反應種屬:Human
-
免疫原:Recombinant Human Sulfotransferase family cytosolic 2B member 1 protein (1-365AA)
-
免疫原種屬:Homo sapiens (Human)
-
標記方式:Non-conjugated
-
克隆類型:Polyclonal
-
抗體亞型:IgG
-
純化方式:Antigen Affinity Purified
-
濃度:It differs from different batches. Please contact us to confirm it.
-
保存緩沖液:PBS with 0.02% sodium azide, 50% glycerol, pH7.3.
-
產品提供形式:Liquid
-
應用范圍:ELISA, WB, IHC, IP
-
推薦稀釋比:
Application Recommended Dilution WB 1:1000-1:5000 IHC 1:20-1:200 IP 1:200-1:2000 -
Protocols:
-
儲存條件:Upon receipt, store at -20°C or -80°C. Avoid repeated freeze.
-
貨期:Basically, we can dispatch the products out in 1-3 working days after receiving your orders. Delivery time maybe differs from different purchasing way or location, please kindly consult your local distributors for specific delivery time.
-
用途:For Research Use Only. Not for use in diagnostic or therapeutic procedures.
相關產品
靶點詳情
-
功能:Sulfotransferase that utilizes 3'-phospho-5'-adenylyl sulfate (PAPS) as sulfonate donor to catalyze the sulfate conjugation. Responsible for the sulfation of cholesterol. Catalyzes sulfation of the 3beta-hydroxyl groups of steroids, such as, pregnenolone and dehydroepiandrosterone (DHEA). Preferentially sulfonates cholesterol, while it has also significant activity with pregnenolone and DHEA. Plays a role in epidermal cholesterol metabolism and in the regulation of epidermal proliferation and differentiation.; Sulfonates pregnenolone but not cholesterol.
-
基因功能參考文獻:
- findings showed clearly the impact of genetic polymorphisms on the cholesterol-sulphating activity of SULT2B1b allozymes, which may underscore the differential metabolism of cholesterol in individuals with different SULT2B1b genotypes PMID: 29701841
- Mutation in SULT2B1 leads to an autosomal-recessive congenital ichthyosis phenotype via increased proliferation of human keratinocytes, thickening of epithelial layers, and altered epidermal cholesterol metabolism. PMID: 28575648
- Since 1'-hydroxyestragole exposure readily produced DNA injury in B-13/H cells, these data suggest that cholangiocarcinomas generated in rats fed estragole may be dependent, in part, on SULT2B1 activation of the 1'-hydroxyestragole metabolite. PMID: 26739637
- Overexpression of SULT2B1b is an independent prognostic indicator and promotes cell growth and invasion in colorectal carcinoma. PMID: 26121319
- This study identified specific germline variations in estradiol metabolism-related pathways, namely CYP1B1, SULT2B1, and HSD17B2, as novel prognostic markers that are cumulatively associated with increased risk of prostate cancer progression PMID: 24682418
- The SULT2B1 isoforms have a unique 50 amino acid carboxy-terminal sequence that is not present in the other human SULT isoforms (review). PMID: 24020383
- Data indicate that cholesterol sulfate (CS) and SULT2B1b inhibited gluconeogenesis by targeting the gluconeogenic factor hepatocyte nuclear factor 4alpha (HNF4alpha) in both cell cultures and human SULT2B1b transgenic mice. PMID: 24277929
- SULT2B1 is induced by calcitriol activated vitamin D receptor in human prostate cancer cells. PMID: 23579488
- SULT2B1b expression promotes proliferation of hepatocellular carcinoma cells in vitro and in vivo, which may contribute to the progression of HCC. PMID: 23593328
- In HT29 cells expression of SULT2B1 was enhanced by probiotic fermentation supernatants without aleurone. PMID: 21840698
- The Ca(2+)-bound form may be physiologically relevant for stressed cells with an elevated free calcium level. PMID: 20329768
- The expression of SULT2B1b mRNA in endometrial stromal cells is induced by progesterone and that in endometrial epithelial cells is induced by relaxin via the cAMP pathway. PMID: 19243756
- alternative splicing of SULT2B1 results in cholesterol sulfotransferase or pregnenolone sulfotransferase PMID: 12145317
- crystal structure of hydroxysteroid sulfotransferases SULT2B1a and SULT2B1b bound to the substrate donor product 3'-phosphoadenosine 5'-phosphate and acceptor substrate pregnenolone revealed a different catalytic binding orientation PMID: 12923182
- We have documented the presence of the enzyme (SULT2B1b) that sulfonates cholesterol in human platelets and examined the influence of plasma lipoproteins on the expression and activity of this enzyme PMID: 14676143
- Differential subcellular localization of SULT2B1b in prostate and placenta suggests that SULT2B1b may be differentially regulated and have different physiological functions in these two hormonally responsive human tissues PMID: 14741047
- confinement of SULT2B1b to the granular layer coincides with this being the area with the highest cholesterol sulfate content suggesting that the physiologic action of cholesterol sulfate is likely carried out in this region of the living epidermis PMID: 15140224
- Immunohistochemical localization of SULT2B1b in human tissues showed expression in the cytoplasm of ciliated columnar or cuboidal epithelial cells in terminal bronchia. PMID: 15878639
- Of five Sp1 elements identified in SULT2B1, two had regulatory activity utilizing immortalized human keratinocytes. PMID: 15953604
- SULT2B1b, by acting on a variety of oxysterols, offers a potential pathway for modulating in vivo the injurious effects of these compounds. PMID: 17347498
- Results show SULT2B1 polymorpohisms affect enzyme functions. PMID: 17496163
- SULT2B1 is involved in reulating prostate cell responsiveness to dehydroepiandrosterone and delta5-androstenediol. PMID: 17626250
- Data show that SULT2B1b is localized in cytosol and nuclei of cancerous and normal breast tissue, and that African Americans had significantly more SULT2B1b in nuclei of epithelial cells of normal breast tissue compared to Caucasians. PMID: 18586095
顯示更多
收起更多
-
相關疾病:Ichthyosis, congenital, autosomal recessive 14 (ARCI14)
-
亞細胞定位:Cytoplasm, cytosol. Microsome. Nucleus.
-
蛋白家族:Sulfotransferase 1 family
-
組織特異性:Expressed in the stratum granulosum-stratum corneum junction in the skin (at protein level). Expressed highly in placenta, prostate and trachea and lower expression in the small intestine and lung.
-
數據庫鏈接:
Most popular with customers
-
YWHAB Recombinant Monoclonal Antibody
Applications: ELISA, WB, IHC, IF, FC
Species Reactivity: Human, Mouse, Rat
-
Phospho-YAP1 (S127) Recombinant Monoclonal Antibody
Applications: ELISA, WB, IHC
Species Reactivity: Human
-
-
-
-
-
-















