SUCNR1 Antibody
-
中文名稱:SUCNR1兔多克隆抗體
-
貨號:CSB-PA022921LA01HU
-
規格:¥440
-
圖片:
-
Western blot
All lanes: SUCNR1 antibody at 6µg/ml + Hela whole cell lysate
Secondary
Goat polyclonal to rabbit IgG at 1/10000 dilution
Predicted band size: 39 kDa
Observed band size: 39 kDa -
Immunofluorescent analysis of Hela cells using CSB-PA022921LA01HU at dilution of 1:100 and Alexa Fluor 488-congugated AffiniPure Goat Anti-Rabbit IgG(H+L)
-
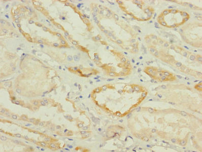
Immunohistochemistry of paraffin-embedded human kidney tissue using CSB-PA022921LA01HU at dilution of 1:100
-
Immunohistochemistry of paraffin-embedded human adrenal gland tissue using CSB-PA022921LA01HU at dilution of 1:100
-
-
其他:
產品詳情
-
產品名稱:Rabbit anti-Homo sapiens (Human) SUCNR1 Polyclonal antibody
-
Uniprot No.:
-
基因名:
-
別名:SUCNR1; GPR91; Succinate receptor 1; G-protein coupled receptor 91; P2Y purinoceptor 1-like
-
宿主:Rabbit
-
反應種屬:Human
-
免疫原:Recombinant Human Succinate receptor 1 protein (303-334AA)
-
免疫原種屬:Homo sapiens (Human)
-
標記方式:Non-conjugated
本頁面中的產品,SUCNR1 Antibody (CSB-PA022921LA01HU),的標記方式是Non-conjugated。對于SUCNR1 Antibody,我們還提供其他標記。見下表:
-
克隆類型:Polyclonal
-
抗體亞型:IgG
-
純化方式:>95%, Protein G purified
-
濃度:It differs from different batches. Please contact us to confirm it.
-
保存緩沖液:Preservative: 0.03% Proclin 300
Constituents: 50% Glycerol, 0.01M PBS, PH 7.4 -
產品提供形式:Liquid
-
應用范圍:ELISA, WB, IHC, IF
-
推薦稀釋比:
Application Recommended Dilution WB 1:1000-1:5000 IHC 1:20-1:200 IF 1:50-1:200 -
Protocols:
-
儲存條件:Upon receipt, store at -20°C or -80°C. Avoid repeated freeze.
-
貨期:Basically, we can dispatch the products out in 1-3 working days after receiving your orders. Delivery time maybe differs from different purchasing way or location, please kindly consult your local distributors for specific delivery time.
-
用途:For Research Use Only. Not for use in diagnostic or therapeutic procedures.
相關產品
靶點詳情
-
功能:Receptor for succinate.
-
基因功能參考文獻:
- activation of SUCNR1 in macrophages is important for both infiltration and inflammation of adipose tissue in obesity PMID: 28382382
- This study shows that metformin can attenuate activation of HSCs by activating the AMPK pathway and inhibiting the succinate-GPR91 pathway. Metformin has therapeutic potential for treating steatohepatitis and liver fibrosis. PMID: 29278707
- This study reports the expression of GPR91 on mouse and human mast cells and reveals a hyperactive behavior of mouse Sucnr1-/- mast cells in a mechanistic in vivo model of skin inflammation. PMID: 27527650
- Data show that succinate upregulates vascular endothelial growth factor (VEGF) expression by activation of signal transducer and activator of transcription 3 (STAT3) and extracellular regulated kinase (ERK)1/2 via its receptor G-protein coupled receptor 91 (GPR91). PMID: 28061458
- Succinate is abundant in synovial fluids from rheumatoid arthritis (RA) patients, and these fluids elicit IL-1beta release from macrophages in a GPR91-dependent manner. PMID: 27481132
- We give an exhaustive overview of the known and hypothetical signaling partners of SUCNR1 in different in vitro and in vivo systems and also discuss the link between SUCNR1 intracellular pathways and its pathophysiological roles. PMID: 26808164
- Through GPR91, succinate is involved in functions such as regulation of blood pressure, inhibition of lipolysis in white adipose tissue, development of retinal vascularization and cardiac hypertrophy. [review] PMID: 26759054
- The findings indicate that succinate-GPR91 signaling may be involved in right ventricular hypertrophy via PI3K/Akt signaling in vivo and in vitro. PMID: 26824665
- results show that succinate plays an important role in HSC activation through GPR91 induction, and suggest that succinate and GPR91 may represent new therapeutic targets for modulating hepatic fibrosis PMID: 26051274
- These results show for the first time that succinate plays an important role in cardiomyocyte hypertrophy through GPR91 activation and extend our understanding of how ischemia can induce hypertrophic cardiomyopathy PMID: 25539979
- These findings suggest that deficiency in SUCNR1 is a possible contributing factor to the pathogenesis of dry age-related macular degeneration. PMID: 23833031
- results show that GPR91 when expressed in HEK293s cells couples exclusively through the Galphai pathway and acts through Galphai not only to inhibit cAMP production but also to increase intracellular Ca(2+) PMID: 23770096
- A review of how neuron-derived factors, GPR91 and Semaphorin 3A, guide retinal vascularization and are major contributors to the pathogenesis of retinopathy of prematurity . PMID: 22497252
- Succinate stimulates cell proliferation through GPR91 and requires activation of the Erk MAPK pathway. PMID: 19204147
- This paper describes function in another species. PMID: 15141213
- GPR91 is a receptor for succinate and mediates succinate-induced hypertension. PMID: 15141213
顯示更多
收起更多
-
亞細胞定位:Cell membrane; Multi-pass membrane protein.
-
蛋白家族:G-protein coupled receptor 1 family
-
組織特異性:Expressed specifically in kidney.
-
數據庫鏈接:
Most popular with customers
-
-
YWHAB Recombinant Monoclonal Antibody
Applications: ELISA, WB, IHC, IF, FC
Species Reactivity: Human, Mouse, Rat
-
Phospho-YAP1 (S127) Recombinant Monoclonal Antibody
Applications: ELISA, WB, IHC
Species Reactivity: Human
-
-
-
-
-















