SUCLA2 Antibody
-
中文名稱:SUCLA2兔多克隆抗體
-
貨號:CSB-PA868398ESR2HU
-
規格:¥440
-
圖片:
-
Western blot
All lanes: SUCLA2 antibody at 0.85µg/ml
Lane 1: Rat heart tissue
Lane 2: Hela whole cell lysate
Lane 3: A549 whole cell lysate
Secondary
Goat polyclonal to rabbit IgG at 1/10000 dilution
Predicted band size: 51, 49 kDa
Observed band size: 51 kDa -
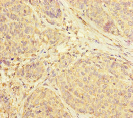
Immunohistochemistry of paraffin-embedded human ovarian cancer using CSB-PA868398ESR2HU at dilution of 1:100
-
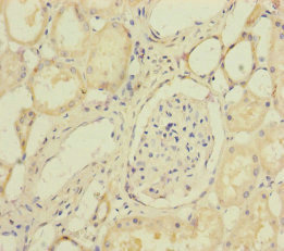
Immunohistochemistry of paraffin-embedded human kidney tissue using CSB-PA868398ESR2HU at dilution of 1:100
-
-
其他:
產品詳情
-
產品名稱:Rabbit anti-Homo sapiens (Human) SUCLA2 Polyclonal antibody
-
Uniprot No.:
-
基因名:SUCLA2
-
別名:A BETA antibody; A SCS antibody; ATP specific succinyl CoA synthetase subunit beta antibody; ATP specific succinyl CoA synthetase, beta subunit antibody; ATP-specific succinyl-CoA synthetase subunit beta antibody; Mitochondrial succinyl CoA ligase [ADP forming] subunit beta antibody; MTDPS5 antibody; Renal carcinoma antigen NY-REN-39 antibody; Renal carcinoma antigen NYREN39 antibody; SCS betaA antibody; SCS-betaA antibody; SUCB1_HUMAN antibody; Succinate CoA ligase (ADP forming) antibody; Succinate CoA ligase [ADP forming] subunit beta, mitochondrial, succinyl CoA ligase [ADP forming] subunit beta, mitochondrial antibody; Succinate CoA ligase ADP forming beta subunit antibody; Succinate CoA ligase beta subunit antibody; Succinyl CoA ligase [ADP-forming] subunit beta, mitochondrial antibody; Succinyl CoA synthetase beta A chain antibody; Succinyl-CoA ligase [ADP-forming] subunit beta, mitochondrial antibody; Succinyl-CoA synthetase beta-A chain antibody; SUCLA2 antibody
-
宿主:Rabbit
-
反應種屬:Human, Rat
-
免疫原:Recombinant Human Succinate--CoA ligase [ADP-forming] subunit beta, mitochondrial protein (1-180AA)
-
免疫原種屬:Homo sapiens (Human)
-
標記方式:Non-conjugated
-
克隆類型:Polyclonal
-
抗體亞型:IgG
-
純化方式:Antigen Affinity Purified
-
濃度:It differs from different batches. Please contact us to confirm it.
-
保存緩沖液:PBS with 0.02% sodium azide, 50% glycerol, pH7.3.
-
產品提供形式:Liquid
-
應用范圍:ELISA, WB, IHC
-
推薦稀釋比:
Application Recommended Dilution WB 1:1000-1:5000 IHC 1:20-1:200 -
Protocols:
-
儲存條件:Upon receipt, store at -20°C or -80°C. Avoid repeated freeze.
-
貨期:Basically, we can dispatch the products out in 1-3 working days after receiving your orders. Delivery time maybe differs from different purchasing way or location, please kindly consult your local distributors for specific delivery time.
-
用途:For Research Use Only. Not for use in diagnostic or therapeutic procedures.
相關產品
靶點詳情
-
功能:ATP-specific succinyl-CoA synthetase functions in the citric acid cycle (TCA), coupling the hydrolysis of succinyl-CoA to the synthesis of ATP and thus represents the only step of substrate-level phosphorylation in the TCA. The beta subunit provides nucleotide specificity of the enzyme and binds the substrate succinate, while the binding sites for coenzyme A and phosphate are found in the alpha subunit.
-
基因功能參考文獻:
- SUCLA2 mutation is associated with Down syndrome and mitochondrial depletion syndrome. PMID: 28749033
- The patient's cells lack the SUCLG1 protein, with significantly reduced levels of SUCLA2 and SUCLG2 protein PMID: 27484306
- Sucla2 is related to the developmental stages of mouse spermatogenesis. Knockdown of Sucla2 decreases the viability of mouse spermatocytes by inducing apoptosis via decreased mitochondrial function of the cells. PMID: 27766610
- SUCLA2 mutations should be analyzed in patients with slowly progressive encephalomyopathy, even in the absence of methylmalonic aciduria or mitochondrial DNA depletion. PMID: 24986829
- This study demonstrated that SUCLA2 is expressed exclusively in neurons in the human cerebral cortex. PMID: 24085565
- Identification of a novel mutation in SUCLA2 in two cousins affected with encephalomyopathy, is reported. PMID: 23759946
- A novel homozygous mutation in SUCLA2 gene has been associated with severe mitochondrial encephalomyopathies in two Italian siblings. PMID: 23010432
- X-linked sideroblastic anemia due to carboxyl-terminal ALAS2 mutations that cause loss of binding to the beta-subunit of succinyl-CoA synthetase (SUCLA2). PMID: 22740690
- Mitochondrial DNA depletion, encephalomyopathic form, with methylmalonic aciduria is associated with mutations in SUCLA2, the gene encoding a beta subunit of succinate-CoA ligase. PMID: 19526370
- Deficiency of SUCLA2 is associated with encephalomyopathy and mitochondrial DNA depletion. PMID: 15877282
顯示更多
收起更多
-
相關疾病:Mitochondrial DNA depletion syndrome 5 (MTDPS5)
-
亞細胞定位:Mitochondrion.
-
蛋白家族:Succinate/malate CoA ligase beta subunit family, ATP-specific subunit beta subfamily
-
組織特異性:Widely expressed. Not expressed in liver and lung.
-
數據庫鏈接:
Most popular with customers
-
-
YWHAB Recombinant Monoclonal Antibody
Applications: ELISA, WB, IHC, IF, FC
Species Reactivity: Human, Mouse, Rat
-
Phospho-YAP1 (S127) Recombinant Monoclonal Antibody
Applications: ELISA, WB, IHC
Species Reactivity: Human
-
-
-
-
-















