STXBP1 Antibody
-
中文名稱:STXBP1兔多克隆抗體
-
貨號:CSB-PA088228
-
規格:¥1100
-
圖片:
-
The image on the left is immunohistochemistry of paraffin-embedded Human brain tissue using CSB-PA088228(STXBP1 Antibody) at dilution 1/20, on the right is treated with fusion protein. (Original magnification: ×200)
-
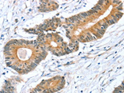
The image on the left is immunohistochemistry of paraffin-embedded Human colon cancer tissue using CSB-PA088228(STXBP1 Antibody) at dilution 1/20, on the right is treated with fusion protein. (Original magnification: ×200)
-
Gel: 8%SDS-PAGE, Lysate: 40 μg, Lane 1-2: A375 cells, hela cells, Primary antibody: CSB-PA088228(STXBP1 Antibody) at dilution 1/300, Secondary antibody: Goat anti rabbit IgG at 1/8000 dilution, Exposure time: 20 seconds
-
-
其他:
產品詳情
-
Uniprot No.:
-
基因名:
-
別名:FLJ37475 antibody; Munc 18 1 antibody; Munc 18a antibody; MUNC18 1 antibody; N-Sec1 antibody; Neuronal SEC1 antibody; NSec1 antibody; p67 antibody; Protein unc-18 homolog 1 antibody; Protein unc-18 homolog A antibody; Rb sec1 antibody; RBSEC1 antibody; STXB1_HUMAN antibody; STXBP1 antibody; Syntaxin binding protein 1 antibody; Syntaxin-binding protein 1 antibody; Unc 18 homolog antibody; Unc 18A antibody; Unc-18A antibody; Unc18 1 antibody; UNC18 antibody; Unc18-1 antibody
-
宿主:Rabbit
-
反應種屬:Human,Mouse,Rat
-
免疫原:Fusion protein of Human STXBP1
-
免疫原種屬:Homo sapiens (Human)
-
標記方式:Non-conjugated
-
抗體亞型:IgG
-
純化方式:Antigen affinity purification
-
濃度:It differs from different batches. Please contact us to confirm it.
-
保存緩沖液:-20°C, pH7.4 PBS, 0.05% NaN3, 40% Glycerol
-
產品提供形式:Liquid
-
應用范圍:ELISA,WB,IHC
-
推薦稀釋比:
Application Recommended Dilution ELISA 1:1000-1:2000 WB 1:200-1:1000 IHC 1:25-1:100 -
Protocols:
-
儲存條件:Upon receipt, store at -20°C or -80°C. Avoid repeated freeze.
-
貨期:Basically, we can dispatch the products out in 1-3 working days after receiving your orders. Delivery time maybe differs from different purchasing way or location, please kindly consult your local distributors for specific delivery time.
-
用途:For Research Use Only. Not for use in diagnostic or therapeutic procedures.
相關產品
靶點詳情
-
功能:Participates in the regulation of synaptic vesicle docking and fusion through interaction with GTP-binding proteins. Essential for neurotransmission and binds syntaxin, a component of the synaptic vesicle fusion machinery probably in a 1:1 ratio. Can interact with syntaxins 1, 2, and 3 but not syntaxin 4. May play a role in determining the specificity of intracellular fusion reactions.
-
基因功能參考文獻:
- This analysis provides strong evidence of DNA motif modulated mutagenesis for STXBP1 de novo splicing mutations. PMID: 29438995
- Glucose-dependent de-SUMOylation of tomosyn1 at K298 releases syntaxin1A and controls the amplification of exocytosis in concert with a recently-identified tomosyn1-interacting partner; the Ca(2+)-binding protein secretagogin, which dissociates from tomosyn1 in response to Ca(2+)-raising stimuli and is required for insulin granule trafficking and exocytosis downstream of Ca(2+) influx. PMID: 28325894
- Significant alterations in protein expression were identified in each neuronal ceroid lipofuscinoses (NCLs), including reduced STXBP1 in CLN1 disease brain. Given the confounding variable of post-mortem changes, additional validation is required, but this study provides a useful starting set of candidate NCL biomarkers for further evaluation. PMID: 28792770
- Mutated STXBP1 gene associated with early-onset Epileptic Encephalopathy and severe psychomotor development retardation that occurs within 3 months of age. PMID: 29718889
- Mutations in STXBP1 encoding the syntaxin binding protein 1 can produce a phenotype similar to that of KCNQ2 mutations PMID: 29067685
- 9q33.3q34.11 microdeletion including STXBP1 gene identified in four patients with intellectual disability, epilepsy, nail dysplasia and bone malformations. PMID: 26395556
- We report the case of a 19-month-old child with Ohtahara syndrome who displays a previously unreported mutation in STXBP1 This mutation is located in a donor splice site and eliminates exon 14, resulting in a truncated protein PMID: 25631041
- We conducted a cohort study to analyze STXBP1 in 42 patients with epileptic encephalopathy. We identified four novel mutations: two splicing mutations, a frameshift mutation, and a nonsense mutation. PMID: 26384463
- M18L was localized to presynaptic inhibitory terminals, and was associated with cognitive function and protection from dementia in an elderly PMID: 26628003
- Reduced expression of STXBP1 leads to changes in the expression and localization of syntaxin-1 in pluripotent stem cells from epileptic encephalopathy patient. PMID: 26918652
- Seizure severity and intellectual disability were connected to STXBP1 encephalopathy patients. PMID: 26865513
- de novo mutations in early-onset epilepsy PMID: 26514728
- partial STXBP1 loss of function robustly impairs neurotransmitter release in human neurons, and suggest that heterozygous STXBP1 mutations cause early epileptic encephalopathy specifically through a presynaptic impairment. PMID: 26280581
- The case described suggests a relationship between the Rett syndrome and the STXBP1 gene not described so far, making the search for STXBP1 gene mutations advisable in patients with Rett syndrome and early onset of epilepsy. PMID: 25714420
- A de novo mutation in STXBP1 was detected with exome sequencing together with profound impairment of complex I of the mitochondrial respiratory chain on muscle biopsy. Findings implicate a secondary impairment of mitochondrial function. PMID: 25418441
- Epileptic encephalopathy related to mutations in the STXBP1 genes. PMID: 25818041
- In vitro interaction assays indicated that Doc2b is required to bridge the interaction between Munc18c and Munc18-1 in the macromolecular complex; Munc18c and Munc18-1 failed to associate in the absence of Doc2b PMID: 25190515
- STXBP1 gene mutation was found in 1 out of 11 patients PMID: 25008876
- STXBP1 mutations associated with early epileptic encephalopathies. PMID: 24189369
- Recruitment of STXBP1 by the Rab27A effector SYTL4 promotes Weibel-Palade body exocytosis. PMID: 24700782
- GABRA1 and STXBP1 make a significant contribution to Dravet syndrome PMID: 24623842
- this study described the clinical features of six new patients with an STXBP1 encephalopathy presenting as Ohtahara syndrome (2/6, 33%), West syndrome (1/65, 2%), and nonsyndromic early onset EE (3/64, 5%). PMID: 23409955
- Association of genomic deletions in the STXBP1 gene with Ohtahara syndrome. PMID: 22211739
- Double knockdown of Munc18-1 and Munc18-2 in mast cells eliminates both IgE-dependent and ionomycin-induced degranulation and causes a significant reduction in syntaxin-11 without altering expressions of the other syntaxin isoforms examined. PMID: 23487749
- Munc18-1 plays a key role in the dynamics of trans-SNARE complex assembly and/or stabilization, a process that is necessary for the docking of the outer acrosomal membrane to the plasma membrane and subsequent fusion pore opening. PMID: 23091057
- mutation resulting in encephalopathy presenting as infantile spasms and generalized tremor PMID: 21762454
- mutations found in early onset epileptic encephalopathy and Ohtahara syndrome PMID: 21770924
- By combining this and previous study, 3 de novo truncating STXBP1 mutations in 145 sporadic non-syndromic intellectual disability (NSID) cases (~2%)have been identified. PMID: 21364700
- two de novo nucleotide alterations of STXBP1 were identified in two patients with Ohtahara and West syndrome, respectively; first case report showing that STXBP1 mutations caused West syndrome from the onset of epilepsy PMID: 21204804
- Collectively, STXBP1 aberrations can account for about one-third individuals with EIEE (14 of 43). These genetic and biologic data clearly showed that haploinsufficiency of STXBP1 is the important cause for cryptogenic EIEE. PMID: 20887364
- we summarize these recent advances and attempt to propose an updated model of the pleiotropic functions of Munc18-1 in neuroexocytosis--{REVIEW} PMID: 20681955
- STXBP1 mutational analysis should be considered in the diagnostic evaluation of this challenging group of patients. PMID: 20876469
- Results identified syntaxin binding protein I that showed elevated levels of protein carbonyls in inferior parietal lobule (IPL) from subjects with mild cognitive impairment. PMID: 19686046
- Describes cloning of mouse and human homologs of C. elegans UNC-18. PMID: 8824310
- Munc18a acts through direct and indirect interactions with X11 proteins and powerfully regulates APP metabolism and Abeta secretion. PMID: 12016213
- Ser-313, a Munc18-1 protein kinase C phosphorylation site, and Thr-574, a cyclin-dependent kinase 5 phosphorylation site, regulate Munc18-1/syntaxin1A interaction in HEK293-S3 and chromaffin cells PMID: 15489225
- MUNC18-1 regulates early and late stages of exocytosis via syntaxin-independent protein interactions. PMID: 15563604
- Mediates exocytosis and decreases beta-amyloid peptide formation in Alzheimer disease. PMID: 16413130
- syntaxin1A possesses distinct inhibitory and stimulatory domains that interact with ENaC subunits, which critically determines the overall ENaC functionality/regulation under distinct physiological conditions PMID: 17200691
- proteomic assessments of membrane microdomains in prefrontal cortex and validation in two brain series, strongly implicates LAMP, STXBP1 and BASP1 in schizophreina and supports the view of a neuritic and synaptic dysfunction in the neuropathology PMID: 18268500
- De novo mutations in the gene encoding STXBP1 cause early infantile epileptic encephalopathy. PMID: 18469812
- Syntaxin 1 interaction with the dopamine transporter promotes amphetamine-induced dopamine efflux. PMID: 18617632
顯示更多
收起更多
-
相關疾病:Epileptic encephalopathy, early infantile, 4 (EIEE4)
-
亞細胞定位:Cytoplasm, cytosol. Membrane; Peripheral membrane protein.
-
蛋白家族:STXBP/unc-18/SEC1 family
-
組織特異性:Brain and spinal cord. Highly enriched in axons.
-
數據庫鏈接:
Most popular with customers
-
-
Phospho-YAP1 (S127) Recombinant Monoclonal Antibody
Applications: ELISA, WB, IHC
Species Reactivity: Human
-
-
-
-
-
-















