STX8 Antibody
-
中文名稱:STX8兔多克隆抗體
-
貨號:CSB-PA299879
-
規格:¥1100
-
圖片:
-
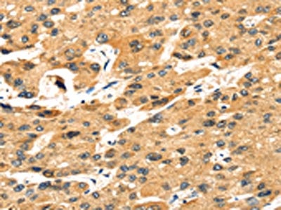
The image on the left is immunohistochemistry of paraffin-embedded Human liver cancer tissue using CSB-PA299879(STX8 Antibody) at dilution 1/35, on the right is treated with fusion protein. (Original magnification: ×200)
-
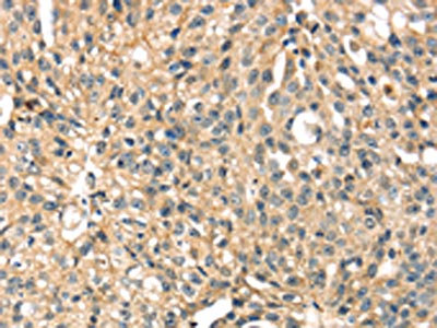
The image on the left is immunohistochemistry of paraffin-embedded Human breast cancer tissue using CSB-PA299879(STX8 Antibody) at dilution 1/35, on the right is treated with fusion protein. (Original magnification: ×200)
-
Gel: 12%SDS-PAGE,Lysate: 40 μg,,Primary antibody: CSB-PA299879(STX8 Antibody) at dilution 1/500 dilution,Secondary antibody: Goat anti rabbit IgG at 1/8000 dilution,Exposure time: 5seconds
-
-
其他:
產品詳情
-
Uniprot No.:
-
基因名:STX8
-
別名:CARB antibody; STX 8 antibody; Stx8 antibody; STX8_HUMAN antibody; Syntaxin-8 antibody; Syntaxin8 antibody
-
宿主:Rabbit
-
反應種屬:Human,Mouse,Rat
-
免疫原:Fusion protein of Human STX8
-
免疫原種屬:Homo sapiens (Human)
-
標記方式:Non-conjugated
-
抗體亞型:IgG
-
純化方式:Antigen affinity purification
-
濃度:It differs from different batches. Please contact us to confirm it.
-
保存緩沖液:-20°C, pH7.4 PBS, 0.05% NaN3, 40% Glycerol
-
產品提供形式:Liquid
-
應用范圍:ELISA,WB,IHC
-
推薦稀釋比:
Application Recommended Dilution ELISA 1:2000-1:5000 WB 1:500-1:2000 IHC 1:25-1:100 -
Protocols:
-
儲存條件:Upon receipt, store at -20°C or -80°C. Avoid repeated freeze.
-
貨期:Basically, we can dispatch the products out in 1-3 working days after receiving your orders. Delivery time maybe differs from different purchasing way or location, please kindly consult your local distributors for specific delivery time.
-
用途:For Research Use Only. Not for use in diagnostic or therapeutic procedures.
相關產品
靶點詳情
-
功能:Vesicle trafficking protein that functions in the early secretory pathway, possibly by mediating retrograde transport from cis-Golgi membranes to the ER.
-
基因功能參考文獻:
- Stx8 is required for proper and timely sorting and trafficking of cytotoxic molecules to functional lytic granules through the endosomal pathway in human cytotoxic t-lymphocytes. PMID: 27094127
- Increased STX8 expression in visceral adipose tissue appears to be associated with the presence of type 2 diabetes in obese patients through a mechanism that may involve GLUT4. PMID: 25523146
- Syntaxin 8 has a role in regulating platelet dense granule secretion, aggregation, and thrombus stability PMID: 25404741
- Syntaxin-8 regulates the endocytosis of TASK-1. PMID: 24743596
- These results suggest that STX8 mediates the recycling of CLDN16 and constitutes an important component of the CLDN16 trafficking machinery in the kidney. PMID: 24659781
- There are increases in CARB localized to intraneuronal neurofibrillary tangles and granulovacuolar degeneration in susceptible hippocampal and cortical neurons in Alzheimer's disease. PMID: 14991845
- syntaxin 8 contributes to the regulation of CFTR trafficking and chloride channel activity by the SNARE machinery PMID: 15039462
- Has two functionally distinct di-leucine-based motifs that act independently in its endocytic and exocytic processes. PMID: 17965969
- Palmitoylation does not affect the rate of protein turnover of syntaxins 7 and 8 nor does it influence the steady-state localization of syntaxin 8 in late endosomes. PMID: 18980942
顯示更多
收起更多
-
亞細胞定位:Membrane; Single-pass type IV membrane protein.
-
蛋白家族:Syntaxin family
-
組織特異性:Highly expressed in heart. Also found in brain, kidney, liver, lung, placenta, skeletal muscle, spleen and pancreas.
-
數據庫鏈接:
Most popular with customers
-
-
YWHAB Recombinant Monoclonal Antibody
Applications: ELISA, WB, IHC, IF, FC
Species Reactivity: Human, Mouse, Rat
-
-
-
-
-
-















