STX3 Antibody
-
中文名稱:STX3兔多克隆抗體
-
貨號:CSB-PA613388DSR1HU
-
規格:¥440
-
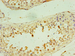
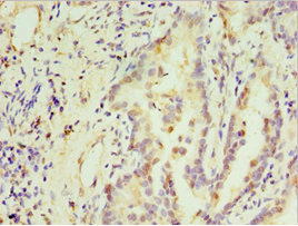
圖片:
-
其他:
產品詳情
-
產品名稱:Rabbit anti-Homo sapiens (Human) STX3 Polyclonal antibody
-
Uniprot No.:
-
基因名:
-
別名:FLJ30906 antibody; Stx3 antibody; STX3_HUMAN antibody; STX3A antibody; Syntaxin 3A antibody; Syntaxin-3 antibody
-
宿主:Rabbit
-
反應種屬:Human
-
免疫原:Recombinant Human Syntaxin-3 protein (1-263AA)
-
免疫原種屬:Homo sapiens (Human)
-
標記方式:Non-conjugated
-
克隆類型:Polyclonal
-
抗體亞型:IgG
-
純化方式:Antigen Affinity Purified
-
濃度:It differs from different batches. Please contact us to confirm it.
-
保存緩沖液:PBS with 0.02% sodium azide, 50% glycerol, pH7.3.
-
產品提供形式:Liquid
-
應用范圍:ELISA, IHC
-
推薦稀釋比:
Application Recommended Dilution IHC 1:20-1:200 -
Protocols:
-
儲存條件:Upon receipt, store at -20°C or -80°C. Avoid repeated freeze.
-
貨期:Basically, we can dispatch the products out in 1-3 working days after receiving your orders. Delivery time maybe differs from different purchasing way or location, please kindly consult your local distributors for specific delivery time.
-
用途:For Research Use Only. Not for use in diagnostic or therapeutic procedures.
相關產品
靶點詳情
-
功能:Potentially involved in docking of synaptic vesicles at presynaptic active zones.
-
基因功能參考文獻:
- Stx3S is differentially expressed in normal human tissues, during epithelial cell polarization, and in breast cancer versus normal breast tissue. Inhibition of endogenous Stx3S expression alters the expression of cancer-associated genes and promotes cell proliferation. PMID: 29475951
- mechanism study shows that STX3 binds to PTEN and increases PTEN ubiquitination and degradation, thus leading to activation of the PI3K-Akt-mTOR signaling. Therefore, STX3 promotes the growth of breast cancer cells by regulating the PTEN-PI3K-Akt-mTOR signaling. PMID: 29408595
- we report for the first time a missense mutation of a novel lens specific gene STX3 in a phenotype associating autosomal recessive congenital cataract and intellectual disability. PMID: 25358429
- GLUT5 required an interaction cascade of Rab11, Myo5B, Slp4a, Munc18-2, and Vamp7 with Stx3. PMID: 26553929
- Rab11a-knockdown cells displayed mislocalization of STX3 and the presentation of microvilli in the basolateral compartment PMID: 25673875
- the secretion of IL-1alpha, IL-1beta, IL-12b, and CCL4 occurs during gelatinase degranulation, a process controlled by STX3. PMID: 25548252
- The results showed that there was reduction in aggregation propensity of syntaxin-3 with point mutation at Val286. PMID: 25630102
- hcmv-miR-US33-5p-mediated inhibition of HCMV DNA synthesis and of viral replication are specifically mediated by down-regulation of STX3 expression. PMID: 25583387
- loss of STX3 function causes variant microvillus inclusion disease PMID: 24726755
- syntaxin3 has a latent prosurvival function and is involved in maintenance of homeostasis in epidermal keratinocytes PMID: 24171760
- In insulin secretion, SYN-3 plays a role in the mediation of newcomer SG exocytosis and SG-SG fusion that contributes to biphasic GSIS. PMID: 23132338
- siRNA knockdown (KD) of syntaxins 3 and 4 in HeLa cells reduced cell surface expression of alpha5beta1 and alpha3beta1 integrins PMID: 21720706
- STX-3 and SNAP-23 are crucial for the release of all chemokines in mature human mast cells PMID: 21981832
- These results demonstrate a function for STX3 in human cytomegalovirus morphogenesis, and unravel a new role for this SNARE protein in late endosomes/lysosomes compartments. PMID: 21371234
- syntaxin 3 interacts with CFTR in vivo. PMID: 20844248
- Munc18b is functionally coupled to the assembly of exocytic SNARE complexes and increases exocytosis by interacting with the N-peptide and closed-conformation C-terminus of Stx3, thereby neutralizing the secretion-inhibitory effect of this SNARE. PMID: 20695848
- Data show that the BCG phagosome is relatively depleted in LAMP-2, NPC1, flotillin-1, vATPase, and syntaxin 3. PMID: 19815536
顯示更多
收起更多
-
亞細胞定位:Membrane; Single-pass type IV membrane protein.
-
蛋白家族:Syntaxin family
-
數據庫鏈接:
Most popular with customers
-
-
YWHAB Recombinant Monoclonal Antibody
Applications: ELISA, WB, IHC, IF, FC
Species Reactivity: Human, Mouse, Rat
-
Phospho-YAP1 (S127) Recombinant Monoclonal Antibody
Applications: ELISA, WB, IHC
Species Reactivity: Human
-
-
-
-
-















