STRA8 Antibody
-
中文名稱:STRA8兔多克隆抗體
-
貨號:CSB-PA549056
-
規格:¥1100
-
圖片:
-
The image on the left is immunohistochemistry of paraffin-embedded Human brain tissue using CSB-PA549056(STRA8 Antibody) at dilution 1/25, on the right is treated with synthetic peptide. (Original magnification: ×200)
-
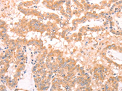
The image on the left is immunohistochemistry of paraffin-embedded Human thyroid cancer tissue using CSB-PA549056(STRA8 Antibody) at dilution 1/25, on the right is treated with synthetic peptide. (Original magnification: ×200)
-
-
其他:
產品詳情
-
Uniprot No.:
-
基因名:STRA8
-
別名:Stimulated by retinoic acid 8 antibody; stimulated by retinoic acid 8 homolog antibody; Stimulated by retinoic acid Gene 8 antibody; stimulated by retinoic acid gene 8 homolog antibody; Stimulated by retinoic acid gene 8 protein homolog antibody; STRA 8 antibody; STRA8 antibody; STRA8_HUMAN antibody
-
宿主:Rabbit
-
反應種屬:Human
-
免疫原:Synthetic peptide of Human STRA8
-
免疫原種屬:Homo sapiens (Human)
-
標記方式:Non-conjugated
-
抗體亞型:IgG
-
純化方式:Antigen affinity purification
-
濃度:It differs from different batches. Please contact us to confirm it.
-
保存緩沖液:-20°C, pH7.4 PBS, 0.05% NaN3, 40% Glycerol
-
產品提供形式:Liquid
-
應用范圍:ELISA,IHC
-
推薦稀釋比:
Application Recommended Dilution ELISA 1:2000-1:5000 IHC 1:25-1:100 -
Protocols:
-
儲存條件:Upon receipt, store at -20°C or -80°C. Avoid repeated freeze.
-
貨期:Basically, we can dispatch the products out in 1-3 working days after receiving your orders. Delivery time maybe differs from different purchasing way or location, please kindly consult your local distributors for specific delivery time.
-
用途:For Research Use Only. Not for use in diagnostic or therapeutic procedures.
相關產品
靶點詳情
-
功能:Meiosis-inducer required for the transition into meiosis for both female and male germ cells. In female germ cells, acts downstream of ZGLP1 as a key effector of the meiotic program: required for premeiotic DNA replication and subsequent events in meiotic prophase. During spermatogenesis, next to its role in meiotic initiation, promotes (but is not required for) spermatogonial differentiation. In complex with MEIOSIN, directly activates the transcription of a subset of critical meiotic genes playing a central role in cell-cycle switching from mitosis to meiosis.
-
基因功能參考文獻:
- The genetic variant rs10269148 of STRA8 gene shows higher risk of spermatogenic impairment in the groups of abnormospermia than the controls PMID: 23320086
- Functional characterization of an homologous mouse gene. PMID: 18799751
- Observational study of gene-disease association. (HuGE Navigator) PMID: 20378615
- Expression restricted to testis (STRA8) PMID: 12489526
-
亞細胞定位:Cytoplasm. Nucleus.
-
組織特異性:Expressed specifically in testis and fetal ovaries.
-
數據庫鏈接:
Most popular with customers
-
-
YWHAB Recombinant Monoclonal Antibody
Applications: ELISA, WB, IHC, IF, FC
Species Reactivity: Human, Mouse, Rat
-
Phospho-YAP1 (S127) Recombinant Monoclonal Antibody
Applications: ELISA, WB, IHC
Species Reactivity: Human
-
-
-
-
-















