STK38L Antibody
-
中文名稱:STK38L兔多克隆抗體
-
貨號:CSB-PA896491LA01HU
-
規格:¥440
-
圖片:
-
Western Blot
Positive WB detected in: 293 whole cell lysate(30μg), HepG2 whole cell lysate(30μg), Hela whole cell lysate(30μg), A375 whole cell lysate(30μg), A549 whole cell lysate(30μg), PC-3 whole cell lysate(30μg),HT-29 whole cell lysate(30μg),A2780 whole cell lysate(30μg),Raji whole cell lysate(30μg)
All lanes: STK38L antibody at 1:1000
Secondary
Goat polyclonal to rabbit IgG at 1/40000 dilution
Predicted band size: 55,44 kDa
Observed band size: 55 kDa
Exposure time: 120s -
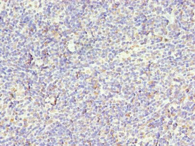
IHC image of CSB-PA896491LA01HU diluted at 1:100 and staining in paraffin-embedded human tonsil tissue performed on a Leica BondTM system. After dewaxing and hydration, antigen retrieval was mediated by high pressure in a citrate buffer (pH 6.0). Section was blocked with 10% normal goat serum 30min at RT. Then primary antibody (1% BSA) was incubated at 4°C overnight. The primary is detected by a Goat anti-rabbit polymer IgG labeled by HRP and visualized using 0.05% DAB. Secondary antibody only control: uses 1% BSA instead of primary antibody
-
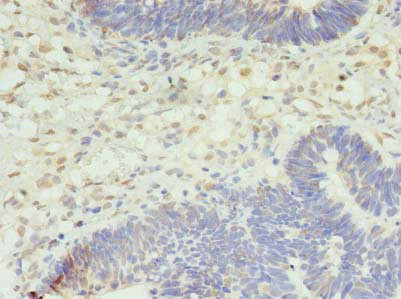
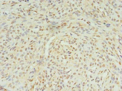
IHC image of CSB-PA896491LA01HU diluted at 1:100 and staining in paraffin-embedded human breast cancer performed on a Leica BondTM system. After dewaxing and hydration, antigen retrieval was mediated by high pressure in a citrate buffer (pH 6.0). Section was blocked with 10% normal goat serum 30min at RT. Then primary antibody (1% BSA) was incubated at 4°C overnight. The primary is detected by a Goat anti-rabbit polymer IgG labeled by HRP and visualized using 0.05% DAB. Secondary antibody only control: uses 1% BSA instead of primary antibody
-
-
其他:
產品詳情
-
產品名稱:Rabbit anti-Homo sapiens (Human) STK38L Polyclonal antibody
-
Uniprot No.:
-
基因名:STK38L
-
別名:KIAA0965 antibody; NDR2 antibody; NDR2 protein kinase antibody; nuclear Dbf2 related 2 antibody; Nuclear Dbf2 related kinase 2 antibody; Nuclear Dbf2-related kinase 2 antibody; Serine/threonine protein kinase 38 like antibody; Serine/threonine-protein kinase 38-like antibody; ST38L_HUMAN antibody; Stk38l antibody
-
宿主:Rabbit
-
反應種屬:Human
-
免疫原:Synthesized peptide derived from STK38L
-
免疫原種屬:Homo sapiens (Human)
-
克隆類型:Polyclonal
-
抗體亞型:IgG
-
純化方式:Antigen affinity purification
-
濃度:It differs from different batches. Please contact us to confirm it.
-
保存緩沖液:Liquid in PBS containing 50% glycerol, 0.5% BSA and 0.02% sodium azide.
-
產品提供形式:Liquid
-
應用范圍:ELISA, WB, IHC
-
推薦稀釋比:
Application Recommended Dilution WB 1:500-1:2000 IHC 1:20-1:200 -
Protocols:
-
儲存條件:Upon receipt, store at -20°C or -80°C. Avoid repeated freeze.
-
貨期:Basically, we can dispatch the products out in 1-3 working days after receiving your orders. Delivery time maybe differs from different purchasing way or location, please kindly consult your local distributors for specific delivery time.
-
用途:For Research Use Only. Not for use in diagnostic or therapeutic procedures.
相關產品
靶點詳情
-
功能:Involved in the regulation of structural processes in differentiating and mature neuronal cells.
-
基因功能參考文獻:
- It was found that STK38L*I/D genotype had positive association with longevity in the ethnically homogeneous group of Tatars from the Republic of Bashkortostan, Russia. PMID: 28556638
- NDR2-mediated Rabin8 phosphorylation is crucial for ciliogenesis by triggering the switch in binding specificity of Rabin8 from PS to Sec15. PMID: 23435566
- Activation of NDR2 is a multistep process involving phosphorylation of the hydrophobic motif site Thr444/2 by MST3, autophosphorylation of Ser281/2, and binding of MOB1A. PMID: 16314523
- NDR2 is an upstream kinase of ARK5 that plays an essential role in tumor progression through ARK5 PMID: 16488889
-
亞細胞定位:Cytoplasm. Cytoplasm, cytoskeleton. Membrane. Note=Associated with the actin cytoskeleton. Co-localizes with STK24/MST3 in the membrane.
-
蛋白家族:Protein kinase superfamily, AGC Ser/Thr protein kinase family
-
組織特異性:Ubiquitously expressed with highest levels observed in the thymus.
-
數據庫鏈接:
Most popular with customers
-
-
YWHAB Recombinant Monoclonal Antibody
Applications: ELISA, WB, IHC, IF, FC
Species Reactivity: Human, Mouse, Rat
-
Phospho-YAP1 (S127) Recombinant Monoclonal Antibody
Applications: ELISA, WB, IHC
Species Reactivity: Human
-
-
-
-
-















