STK33 Antibody
-
中文名稱:STK33兔多克隆抗體
-
貨號:CSB-PA291750
-
規格:¥1100
-
圖片:
-
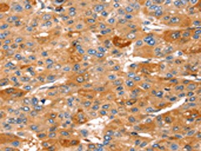
The image on the left is immunohistochemistry of paraffin-embedded Human liver cancer tissue using CSB-PA291750(STK33 Antibody) at dilution 1/30, on the right is treated with fusion protein. (Original magnification: ×200)
-
The image on the left is immunohistochemistry of paraffin-embedded Human esophagus cancer tissue using CSB-PA291750(STK33 Antibody) at dilution 1/30, on the right is treated with fusion protein. (Original magnification: ×200)
-
-
其他:
產品詳情
-
Uniprot No.:
-
基因名:
-
別名:Hypothetical protein FLJ35932 antibody; Serine threonine kinase 33 antibody; Serine/threonine kinase 33 antibody; Serine/threonine protein kinase 33 antibody; Serine/threonine-protein kinase 33 antibody; STK 33 antibody; Stk33 antibody; STK33_HUMAN antibody
-
宿主:Rabbit
-
反應種屬:Human
-
免疫原:Fusion protein of Human STK33
-
免疫原種屬:Homo sapiens (Human)
-
標記方式:Non-conjugated
-
抗體亞型:IgG
-
純化方式:Antigen affinity purification
-
濃度:It differs from different batches. Please contact us to confirm it.
-
保存緩沖液:-20°C, pH7.4 PBS, 0.05% NaN3, 40% Glycerol
-
產品提供形式:Liquid
-
應用范圍:ELISA,IHC
-
推薦稀釋比:
Application Recommended Dilution ELISA 1:2000-1:5000 IHC 1:25-1:100 -
Protocols:
-
儲存條件:Upon receipt, store at -20°C or -80°C. Avoid repeated freeze.
-
貨期:Basically, we can dispatch the products out in 1-3 working days after receiving your orders. Delivery time maybe differs from different purchasing way or location, please kindly consult your local distributors for specific delivery time.
-
用途:For Research Use Only. Not for use in diagnostic or therapeutic procedures.
相關產品
靶點詳情
-
功能:Serine/threonine protein kinase which phosphorylates VIME. May play a specific role in the dynamic behavior of the intermediate filament cytoskeleton by phosphorylation of VIME. Not essential for the survival of KRAS-dependent AML cell lines.
-
基因功能參考文獻:
- Dysregulated HIF1alpha/STK33 signaling promotes pancreatic ductal adenocarcinoma (PDAC) growth and progression, this suggests that STK33 is a candidate therapeutic target to improve PDAC treatment. PMID: 29038348
- STK33 is a potential oncogene and plays an important role in tumorigenesis of HSCC via regulation of numerous genes. PMID: 27414193
- STK33 plays an essential role in hepatocellular proliferation and liver tumorigenesis. STK33 may bind directly to c-Myc and increase its transcriptional activity. PMID: 25398772
- Results show that STK33 is a potential oncogene and a promising diagnostic marker for hypopharyngeal squamous cell carcinoma (HSCC). STK33 may promote tumorigenesis and progression of HSCC, and serve as a valuable molecular target for treatment of HSCC. PMID: 25603720
- STK33 can promote cell migration and invasion and suppress p53 gene expression in the NL9980 and L9981 large cell lung cancer cell lines. In addition, this protein also promotes epithelial-mesenchymal transition. PMID: 25662617
- The STK33-linked SNP rs4929949 is associated with obesity and BMI in two independent cohorts of Swedish and Greek children. PMID: 23967198
- STK33 downregulation or dominant mutant overexpression had no effect on KRAS signaling or survival of cancer cells. PMID: 21742770
- STK33/Stk33 expression pattern resembles those of some related members of the calcium/calmodulin dependent kinase group PMID: 16176263
顯示更多
收起更多
-
亞細胞定位:Cytoplasm, perinuclear region.
-
蛋白家族:Protein kinase superfamily, CAMK Ser/Thr protein kinase family, CaMK subfamily
-
組織特異性:Highly expressed in testis, fetal lung and heart, followed by pituitary gland, kidney, interventricular septum, pancreas, heart, trachea, thyroid gland and uterus. Weak hybridization signals were observed in the following tissues: amygdala, aorta, esophag
-
數據庫鏈接:
Most popular with customers
-
-
Phospho-YAP1 (S127) Recombinant Monoclonal Antibody
Applications: ELISA, WB, IHC
Species Reactivity: Human
-
-
-
-
-
-















