STK17B Antibody
-
中文名稱:STK17B兔多克隆抗體
-
貨號:CSB-PA033399
-
規格:¥1100
-
圖片:
-
The image on the left is immunohistochemistry of paraffin-embedded Human thyroid cancer tissue using CSB-PA033399(STK17B Antibody) at dilution 1/40, on the right is treated with fusion protein. (Original magnification: ×200)
-
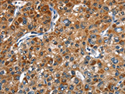
The image on the left is immunohistochemistry of paraffin-embedded Human liver cancer tissue using CSB-PA033399(STK17B Antibody) at dilution 1/40, on the right is treated with fusion protein. (Original magnification: ×200)
-
-
其他:
產品詳情
-
Uniprot No.:
-
基因名:
-
別名:DAP kinase related apoptosis inducing protein antibody; DAP kinase related apoptosis inducing protein kinase 2 antibody; DAP kinase-related apoptosis-inducing protein kinase 2 antibody; Death associated protein kinase related 2 antibody; DRAK 2 antibody; DRAK2 antibody; Serine/threonine kinase 17b antibody; Serine/threonine kinase 17b apoptosis inducing antibody; Serine/threonine protein kinase 17B antibody; Serine/threonine-protein kinase 17B antibody; ST17B_HUMAN antibody; STK 17B antibody; Stk17b antibody
-
宿主:Rabbit
-
反應種屬:Human,Mouse,Rat
-
免疫原:Fusion protein of Human STK17B
-
免疫原種屬:Homo sapiens (Human)
-
標記方式:Non-conjugated
-
抗體亞型:IgG
-
純化方式:Antigen affinity purification
-
濃度:It differs from different batches. Please contact us to confirm it.
-
保存緩沖液:-20°C, pH7.4 PBS, 0.05% NaN3, 40% Glycerol
-
產品提供形式:Liquid
-
應用范圍:ELISA,IHC
-
推薦稀釋比:
Application Recommended Dilution ELISA 1:1000-1:5000 IHC 1:50-1:200 -
Protocols:
-
儲存條件:Upon receipt, store at -20°C or -80°C. Avoid repeated freeze.
-
貨期:Basically, we can dispatch the products out in 1-3 working days after receiving your orders. Delivery time maybe differs from different purchasing way or location, please kindly consult your local distributors for specific delivery time.
-
用途:For Research Use Only. Not for use in diagnostic or therapeutic procedures.
相關產品
靶點詳情
-
功能:Phosphorylates myosin light chains. Acts as a positive regulator of apoptosis.
-
基因功能參考文獻:
- ChIP assays showed that in U937 cells MYB binds to a conserved element upstream of the DRAK2 transcription start site. PMID: 23398943
- DRAK2 protein directly binds to the type I TGF-beta receptor and Knockdown of DRAK2 suppresses the tumorigenic ability of breast cancer cells. PMID: 23122956
- DRAK2 and protein kinase D form a novel signaling module that controls calcium homeostasis following T cell activation. PMID: 21148796
- DRAK2 kinase activity is regulated in a calcium-dependent manner and that Ser(12) phosphorylation is necessary for optimal suppression of T cell activation by this kinase PMID: 17182616
- Strong suppression of T cell receptor signals during thymic selection caused by ectopic DRAK2 expression in a DRAK2 transgenic mouse model of autoimmune encephalomyelitis alters the responsiveness of peripheral T cells. PMID: 19542440
- Regulation of the apoptosis-inducing kinase DRAK2 by cyclooxygenase-2 in colorectal cancer. PMID: 19638987
顯示更多
收起更多
-
亞細胞定位:Nucleus. Cell membrane. Endoplasmic reticulum-Golgi intermediate compartment.
-
蛋白家族:Protein kinase superfamily, CAMK Ser/Thr protein kinase family, DAP kinase subfamily
-
組織特異性:Highly expressed in placenta, lung, pancreas. Lower levels in heart, brain, liver, skeletal muscle and kidney.
-
數據庫鏈接:
Most popular with customers
-
-
YWHAB Recombinant Monoclonal Antibody
Applications: ELISA, WB, IHC, IF, FC
Species Reactivity: Human, Mouse, Rat
-
Phospho-YAP1 (S127) Recombinant Monoclonal Antibody
Applications: ELISA, WB, IHC
Species Reactivity: Human
-
-
-
-
-
VDAC1 Recombinant Monoclonal Antibody
Applications: ELISA, WB, IHC
Species Reactivity: Human, Mouse, Rat















