STK16 Antibody
-
中文名稱:STK16兔多克隆抗體
-
貨號:CSB-PA022835ESR2HU
-
規格:¥440
-
圖片:
-
Western blot
All lanes: STK16 antibody at 12μg/ml
Lane 1: A549 whole cell lysate
Lane 2: Mouse brain tissue
Lane 3: A431 whole cell lysate
Secondary
Goat polyclonal to rabbit IgG at 1/10000 dilution
Predicted band size: 35 kDa
Observed band size: 35 kDa -
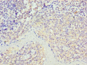
Immunohistochemistry of paraffin-embedded human tonsil tissue using CSB-PA022835ESR2HU at dilution of 1:100
-
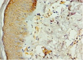
Immunohistochemistry of paraffin-embedded human skin tissue using CSB-PA022835ESR2HU at dilution of 1:100
-
-
其他:
產品詳情
-
產品名稱:Rabbit anti-Homo sapiens (Human) STK16 Polyclonal antibody
-
Uniprot No.:
-
基因名:STK16
-
別名:EDPK antibody; F52 antibody; FLJ39635 antibody; hPSK antibody; KRCT antibody; MGC16211 antibody; MPSK antibody; MPSK1 antibody; Myristoylated and palmitoylated serine/threonine protein kinase antibody; Myristoylated and palmitoylated serine/threonine-protein kinase antibody; PKL12 antibody; Protein kinase expressed in day 12 fetal liver antibody; Protein kinase Krct antibody; Protein kinase PKL12 antibody; Serine/threonine kinase 16 antibody; Serine/threonine protein kinase 16 antibody; Serine/threonine-protein kinase 16 antibody; Stk16 antibody; STK16_HUMAN antibody; TGF beta stimulated factor 1 antibody; TGF-beta-stimulated factor 1 antibody; TGFB stimulated factor 1 antibody; Transforming growth factor beta stimulated factor 1 antibody; TSF-1 antibody; TSF1 antibody; Tyrosine protein kinase STK16 antibody
-
宿主:Rabbit
-
反應種屬:Human, Mouse
-
免疫原:Recombinant Human Serine/threonine-protein kinase 16 protein (1-305AA)
-
免疫原種屬:Homo sapiens (Human)
-
標記方式:Non-conjugated
-
克隆類型:Polyclonal
-
抗體亞型:IgG
-
純化方式:Antigen Affinity Purified
-
濃度:It differs from different batches. Please contact us to confirm it.
-
保存緩沖液:PBS with 0.02% sodium azide, 50% glycerol, pH7.3.
-
產品提供形式:Liquid
-
應用范圍:ELISA, WB, IHC
-
推薦稀釋比:
Application Recommended Dilution WB 1:200-1:1000 IHC 1:20-1:200 -
Protocols:
-
儲存條件:Upon receipt, store at -20°C or -80°C. Avoid repeated freeze.
-
貨期:Basically, we can dispatch the products out in 1-3 working days after receiving your orders. Delivery time maybe differs from different purchasing way or location, please kindly consult your local distributors for specific delivery time.
-
用途:For Research Use Only. Not for use in diagnostic or therapeutic procedures.
相關產品
靶點詳情
-
功能:Membrane-associated protein kinase that phosphorylates on serine and threonine residues. In vitro substrates include DRG1, ENO1 and EIF4EBP1. Also autophosphorylates. May be involved in secretory vesicle trafficking or intracellular signaling. May have a role in regulating stromal-epithelial interactions that occur during ductal morphogenesis in the mammary gland. May be involved in TGF-beta signaling. Able to autophosphorylate on Tyr residue; it is however unclear whether it has tyrosine-protein kinase toward other proteins.
-
基因功能參考文獻:
- we revealed STK16 as a novel actin binding protein that resides in the Golgi, which regulates actin dynamics to control Golgi structure and participate in cell cycle progression. PMID: 28294156
- MAL2 and STK16 function to sort secretory soluble cargo into the constitutive secretory pathway in hepatocytes. PMID: 25084525
- The Endogenous STK16 subcellular localization was evaluated by indirect immunofluorescence in NRK cells, demonstrating a Golgi-associated pattern that appears to be independent of signals provided by integrin pathways. PMID: 16310770
-
亞細胞定位:Cytoplasm, perinuclear region. Membrane; Lipid-anchor.
-
蛋白家族:Protein kinase superfamily, Ser/Thr protein kinase family
-
組織特異性:Ubiquitously expressed at very low levels.
-
數據庫鏈接:
Most popular with customers
-
YWHAB Recombinant Monoclonal Antibody
Applications: ELISA, WB, IHC, IF, FC
Species Reactivity: Human, Mouse, Rat
-
Phospho-YAP1 (S127) Recombinant Monoclonal Antibody
Applications: ELISA, WB, IHC
Species Reactivity: Human
-
-
-
-
-
-















