STH Antibody
-
中文名稱:STH兔多克隆抗體
-
貨號:CSB-PA022827LA01HU
-
規格:¥440
-
圖片:
-
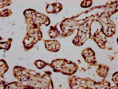
IHC image of CSB-PA022827LA01HU diluted at 1:600 and staining in paraffin-embedded human placenta tissue performed on a Leica BondTM system. After dewaxing and hydration, antigen retrieval was mediated by high pressure in a citrate buffer (pH 6.0). Section was blocked with 10% normal goat serum 30min at RT. Then primary antibody (1% BSA) was incubated at 4°C overnight. The primary is detected by a biotinylated secondary antibody and visualized using an HRP conjugated SP system.
-
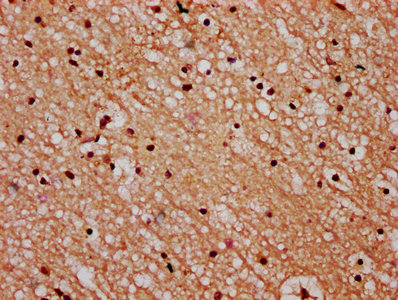
IHC image of CSB-PA022827LA01HU diluted at 1:600 and staining in paraffin-embedded human brain tissue performed on a Leica BondTM system. After dewaxing and hydration, antigen retrieval was mediated by high pressure in a citrate buffer (pH 6.0). Section was blocked with 10% normal goat serum 30min at RT. Then primary antibody (1% BSA) was incubated at 4°C overnight. The primary is detected by a biotinylated secondary antibody and visualized using an HRP conjugated SP system.
-
-
其他:
產品詳情
-
產品名稱:Rabbit anti-Homo sapiens (Human) STH Polyclonal antibody
-
Uniprot No.:
-
基因名:STH
-
別名:STH antibody; Saitohin antibody
-
宿主:Rabbit
-
反應種屬:Human
-
免疫原:Recombinant Human Saitohin protein (1-128AA)
-
免疫原種屬:Homo sapiens (Human)
-
標記方式:Non-conjugated
本頁面中的產品,STH Antibody (CSB-PA022827LA01HU),的標記方式是Non-conjugated。對于STH Antibody,我們還提供其他標記。見下表:
-
克隆類型:Polyclonal
-
抗體亞型:IgG
-
純化方式:>95%, Protein G purified
-
濃度:It differs from different batches. Please contact us to confirm it.
-
保存緩沖液:Preservative: 0.03% Proclin 300
Constituents: 50% Glycerol, 0.01M PBS, pH 7.4 -
產品提供形式:Liquid
-
應用范圍:ELISA, IHC
-
推薦稀釋比:
Application Recommended Dilution IHC 1:500-1:1000 -
Protocols:
-
儲存條件:Upon receipt, store at -20°C or -80°C. Avoid repeated freeze.
-
貨期:Basically, we can dispatch the products out in 1-3 working days after receiving your orders. Delivery time maybe differs from different purchasing way or location, please kindly consult your local distributors for specific delivery time.
-
用途:For Research Use Only. Not for use in diagnostic or therapeutic procedures.
相關產品
靶點詳情
-
基因功能參考文獻:
- Saitohin Q7R polymorphism is associated with late-onset Alzheimer's disease susceptibility among caucasian populations. (Meta-analysis) PMID: 28211174
- Results showed a significant interaction effect of COMT and STH polymorphisms on cognitive performances, strengthening the involvement of STH in cognitive impairments, especially in the domains commonly impaired in schizophrenia PMID: 25283873
- The rs6203857 polymorphism of the saitohin gene is a genetic risk factor for Parkinson's disease. PMID: 25168738
- results of this meta-analysis suggested that MAPT_238bp/STH Q7R polymorphisms might modulate the risk of Parkinson's disease susceptibility PMID: 25305495
- These results suggest a possible contribution of STH gene products on the heterogeneity of core frontal executive functions deterioration in schizophrenia PMID: 22187337
- Single polymorphisms within the saitohin gene were associated with increased cognitive impairment and functional dependence persons with moderate-to-advanced Alzheimer disease. PMID: 21934306
- effect of Saitohin on Abl-mediated phosphorylation appears to be allele-specific, providing evidence for a new cellular function for STH PMID: 21769920
- STH polymorphisms play a possibly shared role with those of serotinin transporter 5-HTTLPR gene as a susceptibility factor for Alzheimer's disease and frontotemperal lobar dementia. PMID: 20852909
- Observational study of gene-disease association and gene-gene interaction. (HuGE Navigator) PMID: 20852909
- a gene within an intron of the tau gene; Q7R polymorphism appears to be over-represented in the homozygous state in late onset Alzheimer's disease subjects PMID: 12032355
- The saitohin Q allele, a novel determinant of tau H1 haplotypes, may represent a causative factor involved in the determinism of several tauopathies, e.g., frontotemporal dementia. PMID: 12447938
- At the STH gene only a common polymorphic change was found. PMID: 12826737
- Increased risk of Alzheimer's disease associated with the STH RR genotype is limited to late-onset Alzheimer's disease. PMID: 12826738
- The R allele of STH is associated with the H2 haplotype of tau; no correlation is found between R allele frequency and Alzheimer's or Parkinson's disease. PMID: 12932819
- Saitohin interacts with peroxiredoxin 6, a unique member of that family that is bifunctional and the levels of which increase in Pick disease. PMID: 16186110
- We found no evidence that could support a major pathogenic role of STH and TAU haplotype in AD, FTD or PD. PMID: 16909000
- Q allele of STH gene is over-represented in a tested group of patients with Huntington disease and might be considered a risk factor for HD like diseases. PMID: 18300012
- Homozygous Q/Q of STH Q7R polymorphism was the only one genotype found in either LOAD group or controls. No R allele was detected in LOAD and control groups. PMID: 18396294
- The Saitohin Q7R polymorphism is unlikely to contribute significantly to Alzheimer's disease susceptibility of the Han population in south China. PMID: 18850062
- Observational study of gene-disease association. (HuGE Navigator) PMID: 18850062
- Observational study of gene-disease association. (HuGE Navigator) PMID: 18509094
- Observational study of gene-disease association and gene-gene interaction. (HuGE Navigator) PMID: 18396294
- Observational study of genotype prevalence. (HuGE Navigator) PMID: 18300012
- Observational study of gene-disease association and gene-gene interaction. (HuGE Navigator) PMID: 18307033
- Observational study of gene-disease association and gene-gene interaction. (HuGE Navigator) PMID: 15136700
- Observational study of gene-disease association. (HuGE Navigator) PMID: 16603077
- Observational study of gene-disease association. (HuGE Navigator) PMID: 16909000
顯示更多
收起更多
-
亞細胞定位:Cytoplasm. Nucleus.
-
組織特異性:Highest expression in placenta, muscle, fetal brain, and adult brain, with lower expression in heart, kidney, stomach, testis, and adrenal gland. In the central nervous system, highest expression is in temporal lobe, hypothalamus, medulla and spinal cord,
-
數據庫鏈接:
Most popular with customers
-
-
YWHAB Recombinant Monoclonal Antibody
Applications: ELISA, WB, IHC, IF, FC
Species Reactivity: Human, Mouse, Rat
-
Phospho-YAP1 (S127) Recombinant Monoclonal Antibody
Applications: ELISA, WB, IHC
Species Reactivity: Human
-
-
-
-
-















