SRSF4 Antibody
-
中文名稱:SRSF4兔多克隆抗體
-
貨號:CSB-PA021156ESR1HU
-
規格:¥440
-
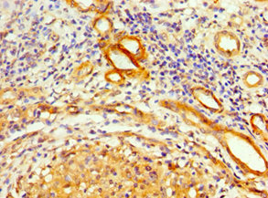
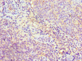
圖片:
-
其他:
產品詳情
-
產品名稱:Rabbit anti-Homo sapiens (Human) SRSF4 Polyclonal antibody
-
Uniprot No.:
-
基因名:SRSF4
-
別名:arginine/serine-rich 4 antibody; Pre mRNA splicing factor SRP75 antibody; Pre-mRNA-splicing factor SRP75 antibody; Serine/arginine-rich splicing factor 4 antibody; Splicing factor antibody; Splicing factor, arginine/serine rich 4 antibody; Splicing factor, arginine/serine rich, 75-KD antibody; SRP001LB antibody; SRP75 antibody; Srsf4 antibody; SRSF4_HUMAN antibody
-
宿主:Rabbit
-
反應種屬:Human
-
免疫原:Recombinant Human Serine/arginine-rich splicing factor 4 protein (1-180AA)
-
免疫原種屬:Homo sapiens (Human)
-
標記方式:Non-conjugated
-
克隆類型:Polyclonal
-
抗體亞型:IgG
-
純化方式:Antigen Affinity Purified
-
濃度:It differs from different batches. Please contact us to confirm it.
-
保存緩沖液:PBS with 0.02% sodium azide, 50% glycerol, pH7.3.
-
產品提供形式:Liquid
-
應用范圍:ELISA, IHC
-
推薦稀釋比:
Application Recommended Dilution IHC 1:20-1:200 -
Protocols:
-
儲存條件:Upon receipt, store at -20°C or -80°C. Avoid repeated freeze.
-
貨期:Basically, we can dispatch the products out in 1-3 working days after receiving your orders. Delivery time maybe differs from different purchasing way or location, please kindly consult your local distributors for specific delivery time.
-
用途:For Research Use Only. Not for use in diagnostic or therapeutic procedures.
相關產品
靶點詳情
-
功能:Plays a role in alternative splice site selection during pre-mRNA splicing. Represses the splicing of MAPT/Tau exon 10.
-
基因功能參考文獻:
- Review of the role of serine and arginine rich splicing factor 4 (SRSF4) in physiology, gene expression regulation and disease. PMID: 29789787
- Many of the splicing alterations induced by cisplatin are caused by SRSF4 and they contribute to apoptosis in a process requires class I PI3K. PMID: 25884497
- SRp75 inhibits splicing of tau exon 10 by binding to the CA repeat in the intronic splicing silencer downstream of the exon, and requires hnRNPG to exert its full regulatory effect on tau exon 10. PMID: 21723381
- Serine- and arginine-rich proteins 55 and 75 (SRp55 and SRp75) induce production of HIV-1 vpr mRNA by inhibiting the 5'-splice site of exon 3. PMID: 20685659
- the c.1002-1110_1113delTAAG mutation creates a new intronic splicing regulatory element in intron 6b of the CFTR gene exclusively recognized by SRp75 PMID: 19759008
顯示更多
收起更多
-
亞細胞定位:Nucleus speckle.
-
蛋白家族:Splicing factor SR family
-
數據庫鏈接:
Most popular with customers
-
-
YWHAB Recombinant Monoclonal Antibody
Applications: ELISA, WB, IHC, IF, FC
Species Reactivity: Human, Mouse, Rat
-
Phospho-YAP1 (S127) Recombinant Monoclonal Antibody
Applications: ELISA, WB, IHC
Species Reactivity: Human
-
-
-
-
-















