SRRT Antibody
-
中文名稱:SRRT兔多克隆抗體
-
貨號:CSB-PA880129ESR1HU
-
規格:¥440
-
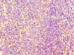
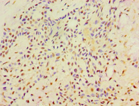
圖片:
-
其他:
產品詳情
-
產品名稱:Rabbit anti-Homo sapiens (Human) SRRT Polyclonal antibody
-
Uniprot No.:
-
基因名:SRRT
-
別名:ARS2 protein antibody; Arsenate resistance protein ARS2 antibody; Arsenite resistance protein 2 antibody; Arsenite resistance protein antibody; Arsenite-resistance protein 2 antibody; ASR2 antibody; MGC126427 antibody; Serrate antibody; Serrate RNA effector molecule antibody; Serrate RNA effector molecule homolog (Arabidopsis) antibody; Serrate RNA effector molecule homolog antibody; SRRT antibody; SRRT_HUMAN antibody
-
宿主:Rabbit
-
反應種屬:Human
-
免疫原:Recombinant Human Serrate RNA effector molecule homolog protein (627-876AA)
-
免疫原種屬:Homo sapiens (Human)
-
標記方式:Non-conjugated
-
克隆類型:Polyclonal
-
抗體亞型:IgG
-
純化方式:Antigen Affinity Purified
-
濃度:It differs from different batches. Please contact us to confirm it.
-
保存緩沖液:PBS with 0.02% sodium azide, 50% glycerol, pH7.3.
-
產品提供形式:Liquid
-
應用范圍:ELISA, IHC
-
推薦稀釋比:
Application Recommended Dilution IHC 1:20-1:200 -
Protocols:
-
儲存條件:Upon receipt, store at -20°C or -80°C. Avoid repeated freeze.
-
貨期:Basically, we can dispatch the products out in 1-3 working days after receiving your orders. Delivery time maybe differs from different purchasing way or location, please kindly consult your local distributors for specific delivery time.
-
用途:For Research Use Only. Not for use in diagnostic or therapeutic procedures.
相關產品
靶點詳情
-
功能:Acts as a mediator between the cap-binding complex (CBC) and the primary microRNAs (miRNAs) processing machinery during cell proliferation. Contributes to the stability and delivery of capped primary miRNA transcripts to the primary miRNA processing complex containing DGCR8 and DROSHA, thereby playing a role in RNA-mediated gene silencing (RNAi) by miRNAs. Binds capped RNAs (m7GpppG-capped RNA); however interaction is probably mediated via its interaction with NCBP1/CBP80 component of the CBC complex. Involved in cell cycle progression at S phase. Does not directly confer arsenite resistance but rather modulates arsenic sensitivity. Independently of its activity on miRNAs, necessary and sufficient to promote neural stem cell self-renewal. Does so by directly binding SOX2 promoter and positively regulating its transcription.
-
基因功能參考文獻:
- Study present the human ARS2 crystal structure, which exhibits similarities and metazoan-specific differences to the plant homologue SERRATE, most notably an additional RRM domain. RRM domain is required to bind RNA, whereas a basic patch in the C-terminal leg of ARS2 mediates the interaction with FLASH. PMID: 29703953
- define two mutually exclusive complexes CBC-NELF-E and CBC-ARS2-PHAX, which likely act in respectively earlier and later phases of transcription PMID: 29101316
- ARS2 depletion negatively impacts levels of promoter-proximal RNA polymerase II at protein-coding genes. It is involved in transcription termination events within first introns of pc genes. ARS2 plays a role in transcription termination-coupled RNA turnover at short transcription units like snRNA-, replication-dependent histone-, promoter upstream transcript- and enhancer RNA-loci. PMID: 28973446
- 2,3,5,6-Tetramethylpyrazine (TMP) down-regulated arsenic-induced heme oxygenase-1 and ARS2 expression by inhibiting Nrf2, NF-kappaB, AP-1 and MAPK pathways in human proximal tubular cells. PMID: 26404762
- Ars2 is overexpressed in HCC and may have prognostic value; it might play an important role in HCC proliferation and miR-21 expression. PMID: 24272391
- Ars2 contributes to histone mRNA 3' end formation and expression and these functional properties of Ars2 are negatively regulated by interaction with 7SK RNA. PMID: 22244333
- These data indicate ARS2 is essential for early mammalian development and is likely involved in an essential cellular process. PMID: 18086880
- These findings provide evidence for a role for Ars2 in RNA interference regulation during cell proliferation. PMID: 19632182
- Validated occurrence of an unusual TG 3' splice site in intron 17 (NM_015908). PMID: 17672918
- Nomenclature. Original paper and GenBank submission by Rossman and Wang (1999) called the gene Asr2 (arsenite resistance protein 2) as opposed to Ars2 (arsenate resistance protein 2). PMID: 10069470
顯示更多
收起更多
-
亞細胞定位:Nucleus, nucleoplasm. Cytoplasm.
-
蛋白家族:ARS2 family
-
組織特異性:Ubiquitously expressed.
-
數據庫鏈接:
Most popular with customers
-
-
YWHAB Recombinant Monoclonal Antibody
Applications: ELISA, WB, IHC, IF, FC
Species Reactivity: Human, Mouse, Rat
-
Phospho-YAP1 (S127) Recombinant Monoclonal Antibody
Applications: ELISA, WB, IHC
Species Reactivity: Human
-
-
-
-
-















