SQOR Antibody
-
中文名稱:SQOR兔多克隆抗體
-
貨號:CSB-PA022646ESR2HU
-
規格:¥440
-
圖片:
-
Western blot
All lanes: SQRDL antibody at 4.67μg/ml
Lane 1: A549 whole cell lysate
Lane 2: A431 whole cell lysate
Lane 3: Hela whole cell lysate
Lane 4: HepG2 whole cell lysate
Secondary
Goat polyclonal to rabbit IgG at 1/10000 dilution
Predicted band size: 50 kDa
Observed band size: 50 kDa -
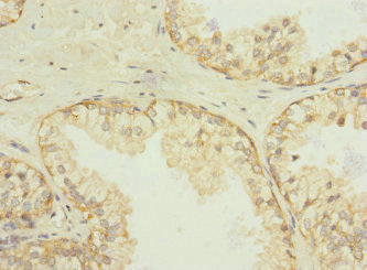
Immunohistochemistry of paraffin-embedded human prostate cancer using CSB-PA022646ESR2HU at dilution of 1:100
-
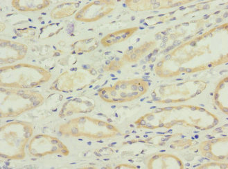
Immunohistochemistry of paraffin-embedded human kidney tissue using CSB-PA022646ESR2HU at dilution of 1:100
-
-
其他:
產品詳情
-
產品名稱:Rabbit anti-Homo sapiens (Human) SQOR Polyclonal antibody
-
Uniprot No.:
-
基因名:SQOR
-
別名:0610039J17Rik antibody; 4930557M22Rik antibody; CGI 44 antibody; CGI44 antibody; mitochondrial antibody; PRO1975 antibody; SQRD_HUMAN antibody; Sqrdl antibody; Sulfide dehydrogenase like antibody; Sulfide quinone reductase like antibody; Sulfide quinone reductase-like (yeast) antibody; Sulfide:quinone oxidoreductase antibody; Sulfide:quinone oxidoreductase, mitochondrial antibody
-
宿主:Rabbit
-
反應種屬:Human
-
免疫原:Recombinant Human Sulfide:quinone oxidoreductase, mitochondrial protein (211-450AA)
-
免疫原種屬:Homo sapiens (Human)
-
標記方式:Non-conjugated
-
克隆類型:Polyclonal
-
抗體亞型:IgG
-
純化方式:Antigen Affinity Purified
-
濃度:It differs from different batches. Please contact us to confirm it.
-
保存緩沖液:PBS with 0.02% sodium azide, 50% glycerol, pH7.3.
-
產品提供形式:Liquid
-
應用范圍:ELISA, WB, IHC
-
推薦稀釋比:
Application Recommended Dilution WB 1:1000-1:5000 IHC 1:20-1:200 -
Protocols:
-
儲存條件:Upon receipt, store at -20°C or -80°C. Avoid repeated freeze.
-
貨期:Basically, we can dispatch the products out in 1-3 working days after receiving your orders. Delivery time maybe differs from different purchasing way or location, please kindly consult your local distributors for specific delivery time.
-
用途:For Research Use Only. Not for use in diagnostic or therapeutic procedures.
相關產品
靶點詳情
-
功能:Catalyzes the oxidation of hydrogen sulfide with the help of a quinone, such as ubiquinone-10, giving rise to thiosulfate and ultimately to sulfane (molecular sulfur) atoms. Requires an additional electron acceptor; can use sulfite, sulfide or cyanide (in vitro). It is believed the in vivo electron acceptor is glutathione.
-
基因功能參考文獻:
- The evidence supported the significant role of SQRDL in the etiology of postmenopausal osteoporosis and suggest that it may be a genetic risk factor for BMD and osteoporosis in Han Chinese postmenopausal women. PMID: 29855663
- Hydrogen Sulfide Oxidation Catalyzed by Human Sulfide Quinone Oxidoreductase PMID: 26318450
- Therefore, this study reveals the reduction in SQR activity as one of the pathomechanisms associated with Coenzyme Q deficiency syndrome. PMID: 27856619
- Data, including data from studies using recombinant SQR immobilized by embedding in nanodiscs, suggest that immobilized SQR exhibits enhanced catalytic performance; pre-steady-state kinetic characterization of immobilized SQR catalytic cycle indicates that glutathione serves as physiologically relevant sulfur acceptor during hydrogen sulfide oxidation. PMID: 28512131
- The I264T SQRDL polymorphism is associaated with osteoporosis in Korean postmenopausal women. PMID: 26258864
- SQR is part of the human mitochondrial hydrogen sulfide oxidation pathway PMID: 25225291
- Sulfide:quinone oxidoreductase catalyzes the first step in hydrogen sulfide metabolism and produces a sulfane sulfur metabolite. PMID: 22852582
顯示更多
收起更多
-
亞細胞定位:Mitochondrion.
-
蛋白家族:SQRD family
-
數據庫鏈接:
Most popular with customers
-
-
YWHAB Recombinant Monoclonal Antibody
Applications: ELISA, WB, IHC, IF, FC
Species Reactivity: Human, Mouse, Rat
-
Phospho-YAP1 (S127) Recombinant Monoclonal Antibody
Applications: ELISA, WB, IHC
Species Reactivity: Human
-
-
-
-
-















