SPRR1A Antibody
-
中文名稱:SPRR1A兔多克隆抗體
-
貨號:CSB-PA022610LA01HU
-
規格:¥440
-
圖片:
-
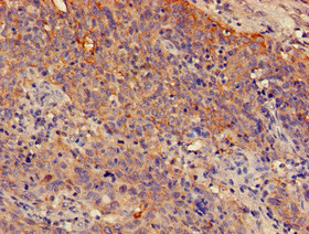
Immunohistochemistry of paraffin-embedded human cervical cancer using CSB-PA022610LA01HU at dilution of 1:100
-
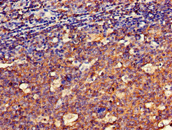
Immunohistochemistry of paraffin-embedded human tonsil tissue using CSB-PA022610LA01HU at dilution of 1:100
-
Immunofluorescent analysis of HepG2 cells using CSB-PA022610LA01HU at dilution of 1:100 and Alexa Fluor 488-congugated AffiniPure Goat Anti-Rabbit IgG(H+L)
-
-
其他:
產品詳情
-
產品名稱:Rabbit anti-Homo sapiens (Human) SPRR1A Polyclonal antibody
-
Uniprot No.:
-
基因名:SPRR1A
-
別名:SPRR1A antibody; Cornifin-A antibody; 19 kDa pancornulin antibody; SPRK antibody; Small proline-rich protein IA antibody; SPR-IA antibody
-
宿主:Rabbit
-
反應種屬:Human
-
免疫原:Recombinant Human Cornifin-A protein (8-72AA)
-
免疫原種屬:Homo sapiens (Human)
-
標記方式:Non-conjugated
本頁面中的產品,SPRR1A Antibody (CSB-PA022610LA01HU),的標記方式是Non-conjugated。對于SPRR1A Antibody,我們還提供其他標記。見下表:
-
克隆類型:Polyclonal
-
抗體亞型:IgG
-
純化方式:>95%, Protein G purified
-
濃度:It differs from different batches. Please contact us to confirm it.
-
保存緩沖液:Preservative: 0.03% Proclin 300
Constituents: 50% Glycerol, 0.01M PBS, pH 7.4 -
產品提供形式:Liquid
-
應用范圍:ELISA, IHC, IF
-
推薦稀釋比:
Application Recommended Dilution IHC 1:20-1:200 IF 1:50-1:200 -
Protocols:
-
儲存條件:Upon receipt, store at -20°C or -80°C. Avoid repeated freeze.
-
貨期:Basically, we can dispatch the products out in 1-3 working days after receiving your orders. Delivery time maybe differs from different purchasing way or location, please kindly consult your local distributors for specific delivery time.
-
用途:For Research Use Only. Not for use in diagnostic or therapeutic procedures.
相關產品
靶點詳情
-
功能:Cross-linked envelope protein of keratinocytes. It is a keratinocyte protein that first appears in the cell cytosol, but ultimately becomes cross-linked to membrane proteins by transglutaminase. All that results in the formation of an insoluble envelope beneath the plasma membrane.
-
基因功能參考文獻:
- mRNA levels of LELP1, SPRR1Av1, and SPRR1Av2 were significantly higher in the skin of patients with AD compared with the control group. PMID: 27304082
- the SPRR1A status might play an important role in the prognosis of postmenopausal breast carcinoma patients, especially that of progesterone receptor-positive subgroups. PMID: 25424702
- A expression may be useful as a prognostic factor for diffuse large B-cell lymphoma. PMID: 24886019
- Association of psoriasis to PGLYRP and SPRR genes at PSORS4 locus on 1q shows heterogeneity between Finnish, Swedish and Irish families. PMID: 18643845
- the deregulated increase in SPRR1A expression in chronic atopic skin lesions reflects an insufficient rise in SPRR transcripts, unable to compensate for the lack of LOR and thus contributing to the persistence of chronic atopic dermatitis skin lesions. PMID: 19672094
顯示更多
收起更多
-
亞細胞定位:Cytoplasm.
-
蛋白家族:Cornifin (SPRR) family
-
數據庫鏈接:
Most popular with customers
-
-
YWHAB Recombinant Monoclonal Antibody
Applications: ELISA, WB, IHC, IF, FC
Species Reactivity: Human, Mouse, Rat
-
Phospho-YAP1 (S127) Recombinant Monoclonal Antibody
Applications: ELISA, WB, IHC
Species Reactivity: Human
-
-
-
-
-















